brunch

구강 건강을 위해 고쳐줘야할
우리 아이의 나쁜 습관

by Dentyi Knony

“제가 앞니가 조금 돌출된 편인데 우리 아이도 그렇게 될 가능성이 높은가요?”
“제가 전반적으로 치아가 튼튼하지 못한데 이것도 유전인가요?”


최근, 구강 건강의 중요성이 부각되면서 자녀가 특이적인 병소나 임상증상을 가지지 않더라도 정기적인 검진을 받으러 치과에 내원하는 부모들이 늘어났다. 게다가 치열, 턱의 전후 위치와 같은 구강 구조 특성이 외모에 의한 첫인상 형성에 큰 영향을 준다는 것도 대중들에게 널리 인식되면서 소아의 치아교정을 문의하는 보호자들도 많다. 유전적인 요인이 구강 구조와 안면이 갖는 양상을 결정하는 큰 요인이지만 전적인 것은 아니다. 부모가 정상 범위 내의 치열과 악안면 골격구조를 갖는다 하더라도 자녀는 그렇지 않은 경우도 종종 있다. 습관적인 요인이 한 몫을 했기 때문이다.



1. 음식을 먹으면서 혹은 먹은 후 바로 자는 습관

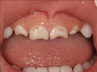
4~5세의 어린 나이임에도 불구하고 다수의 충치를 가진 소아 환자를 종종 목격할 수 있다. 특히 웬만하면 치아 우식에 이환되지 않는 상악 유전치(앞니)에도 병소가 있는 경우, 치의학계에서는 중증 유아기 우식증(SECC: Severe Early Childhood Caries)이라고 규정하는데 대부분 수유와 연관된다. 아이가 수면 도중 깨어나서 계속 울 때, 수유를 통해 울음을 그치게 하고 잠을 다시 재우는 경우가 많다. 수면 중에는 타액분비량이 적기 때문에 모유 속의 영양분이 구강 내에 저류하게 되고, 이때 SECC가 발생할 가능성이 높다. 우유도 마찬가지여서 젖병을 물거나 입 안에 액체를 머금은 상태로 잠들게 되면 SECC에 쉽게 노출된다. 며칠 전에 만 3세의 SECC 소아환자를 검진하면서 수면 중의 불가피한 수유 이후 거즈로 구강 내를 한번 닦아내는 최소한의 세척 과정이 필요하다고 보호자에게 권고했다.

약물 섭취에 있어서도 주의를 기울어야 한다. 보통 소아용 항생제는 가루 형태의 건조된 시럽으로 되어 있고 달콤한 향을 내기 위해 부형제도 첨가되어 있다. 약물의 높은 흡수율과 적은 위장관 부작용을 기대하기 위해서는 식전이나 식후 바로 복용하는 것이 가장 좋다. 그런데 부모들은 잘 동안에 약효가 떨어지는 것을 우려하여 수면 직전에 약을 먹이는 경우가 흔하다. 이와 같은 복약 형태가 옳지 못한 것은 아니다. 다만 충치 발생 가능성을 줄이기 위해서라면 복용 후에도 양치질 혹은 가글이 필요하다.

KakaoTalk_20180520_091706275.png


2. 손가락 혹은 입술을 빠는 습관

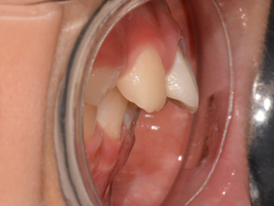
선천성 반사반응 중의 하나인 손가락 빨기는 아이의 정서 안정확보 수단으로 알려져 있다. 아이는 손가락을 빨면서 환각과 유사한 euphoria(일종의 행복감)를 경험한다. 심리 만족을 위해 활용되는 손가락 빨기를 부모가 억압적으로 제한하면 애정결핍 혹은 정서 불안이 유발될 수 있다. 그런데 손가락 빠는 습관이 고착화되어 4세가 넘어서도 계속된다면 치의학적으로 문제가 생긴다. 위의 앞니가 입술 쪽으로 기울어지면서 돌출이 되고 아래 앞니가 혀 쪽으로 기울어지면서 전방부 개방교합이 생길 수 있다. 즉 위 아래 치아의 맞물림이 제대로 되지 않게 된다. 골격 성장의 양태에도 악영향을 준다. 구강 안쪽으로 음압이 생기면서 볼 근처에 있는 근육들이 수축하게 되면 위턱의 치열궁 형태가 좁아지고 치열의 총생(crowding)(*)이 생긴다. 위턱 성장의 직접적인 영향을 받는 아래턱도 후퇴되어 돌출된 안모가 도드라진다. 혀의 위치도 정상보다 후방으로 이동하기 때문에 삼킴 작용에도 영향을 미칠 수 있다.

일반적으로 대부분의 아이들은 4세 정도가 되면 손가락 빠는 습관을 멈춘다. 그런데 6세가 넘어서도 습관이 없어지지 않으면 위험하다. 치의학계도 4세 이후의 손가락 빨기 습관은 구강 구조의 비가역적 변화를 유발한다고 말한다. 즉 교정 치료에 의해서 정상 범위로의 조정이 가능하다고 보는 것이다.

안타깝게도 습관을 버린 다는 것이 간단한 문제가 아니다. 손가락 빨기의 습관이 정서 불안정의 복합적 증상임을 고려했을 때 무작정 강압적인 태도로 자녀를 대하는 것도 문제가 된다. 습관 교정을 위한 조심스러운 격려와 동기유발이 병행되어야 하는데 쉽지 않다. 게다가 아이가 성장하면서 손가락 빨기 습관을 고쳤다 할지라도 입술, 손톱, 빨대등을 빨거나 뜯는 변형된 형태가 잔존할 수 있으므로 계속적인 주의 기울임이 필요하다.

* 총생: 치열 내 공간이 부족하여 치아 각각의 위치의 변이가 발생한 것. 고르지 않은 삐뚤삐뚤한 치열을 갖게 된다.

KakaoTalk_20180520_092357131.png


3. 입으로만 숨쉬는 구호흡 습관

우리 아이가 비염이나 코감기에 이환되지 않은 상태에서도 무의식적으로 치아를 노출하며 입술을 벌리고 있다면 구호흡(입으로 호흡하는 것)을 의심해 볼 수 있다. 사람은 누구나 구호흡과 비호흡을 병행하지만 구호흡의 비중이 지나치게 크면 구강 구조에 문제를 일으킨다. 아이가 습관적으로 구호흡을 하고 있다면 성장기의 아데노이드 비대증을 의심할 수 있다. 후방 기도에 위치한 아데노이드는 원래 사춘기까지는 성인의 두 배 가까이 성장한다. 그런데 일부 유아의 경우, 비대함의 정도가 커져 비호흡의 곤란함을 유발하기도 한다. 구호흡이 지속되면 구강이 건조하게 될 뿐만 아니라 혀의 위치가 낮아지고 윗 입술이 짧아진다. 전방 개방교합도 야기하기 때문에 그냥 지나쳐서는 안될 큰 문제가 될 수 있다.


베이비/키즈 패션라이프 스타일 매거진 AMANG 6월호 기고글입니다.


keyword
매거진의 이전글교정용 칫솔을 활용한 우리 아이 양치 효율 높이기