brunch

덧니 교정,덧니 부분교정만으로도가능할까?

덧니 부분교정 장점

by 허영준
덧니 교정, 덧니 부분교정만으로도 가능할까?


드라큘라처럼 송곳니가 두드러진 덧니는 치아가 나올 공간이 부족해서 생기는 현상으로, 귀여운 덧니라는 말은 이제 옛말이 되었죠. 어렸을 때는 애교로 봐 줄만 해도 나이가 들어가면서 덧니로 인한 불편이 한두 가지가 아닙니다. 미관상으로 보기 좋지 않은 것도 문제지만 음식물이 치아 사이에 잘 끼고 칫솔질도 어려워 충치가 생기기 쉽고, 오래 방치될 경우에는 치주질환의 원인이 되기도 합니다. 때문에 치아건강을 위해서라도 덧니 교정이 필요합니다.

그래서인지 요즘에는 나이 드신 분들의 덧니 교정 문의가 늘었는데요. 교정 기술의 발달로 발치 없이 덧니 부분교정만으로도 교정이 가능한 경우가 많아지면서 덧니 교정이 각광받고 있습니다. 오늘은 덧니 부분교정을 비롯한 덧니교정방법에 대해 살펴보겠습니다.




덧니 교정은 크게 발치 교정과 비발치 교정으로 나눌 수 있습니다.



발치 교정은 공간 부족이 심해 치아를 모두 살릴 수 없을 경우, 송곳니 옆의 작은 어금니를 우선 발치 해 공간을 확보해 교정하는 방법입니다. 경우에 따라 손상이 심한 치아를 발치할 수 도 있습니다.

비발치 교정은 공간 부족이 심하지 않은 경우, 발치를 하지 않고 교정하는 방법인데요. 치열궁을 확장시키거나 전체 악궁을 미니 스크루를 이용해 뒤로 미는 등 발치를 하지 않고 교정치료를 진행합니다.

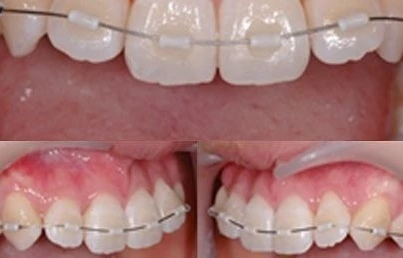
덧니 부분교정은 비발치 교정의 하나라고 볼 수 있는데요. 다른 치열은 문제가 없으나 주로 송곳니의 각도나 위치가 문제인 경우, 치열 전체가 아니라 앞니만 부분 교정하는 교정치료입니다.

부분교정은 전체 교정에 비해 3~6개월 정도의 짧은 시간에 교정치료가 가능하고, 비용도 상대적으로 부담이 적어, 인기를 얻고 있는데요. 교정기술과 장치의 발달로 부분교정 치료가 가능한 경우가 많아지면서, 더욱 각광받고 있습니다.

덧니 부분교정은 주로 심미적인 장치를 활용하게 되기 때문에 눈에 띄지 않는 것도 장점 중 하나입니다.




대표적인 부분교정 방법으로는


@ MTA교정


미니 튜브를 이용한 교정장치로 이물감도 적고 찔릴 염려가 없습니다. 장치 탈락률도 거의 없어 좋은데요. 교정치료기간도 3~6개월 정도로 짧습니다.



@ 2D교정


2D교정은 치아 안쪽에 교정 장치를 부착하는 설측자가결찰장치 중 하나로, 기존 설측 장치에 비해 두께가 얇고 작은 독일산 브라켓입니다. 치아 안쪽에 부착하기 때문에 교정을 하고 있는 줄 모르게 교정치료가 가능해 사람을 많이 상대하는 직업을 가진 분들이 선호합니다. 기존 장치에 비해 치과 방문 횟수도 적고 치료기간도 약 2~6개월 정도로 짧아 많이 활용되고 있습니다.



앞에서 살펴보았듯이 모든 덧니가 비발치 부분교정으로 교정이 가능한 것은 아닙니다. 덧니도 개개인에 따라 상태가 다르기 때문에, 발치교정이 좋을지 부분교정만으로도 가능할지 잘 따져보는 것이 중요한데요. 그러기 위해서는 정확한 진단이 우선되어야 하고, 경험 많은 교정전문의의 판단이 중요합니다.


진료상담6-1 (5).JPG


부분교정이라고 해도 전체 치아와 얼굴 형태를 고려해야 하기 때문에, 무조건 부분교정을 고집해서는 안됩니다. 자칫 합죽이나 옥니 등 부작용 발생으로 재교정이 필요할 수도 있기 때문인데요. 이를 미연에 방지하기 위해서라도, 정밀진단 장비를 갖추고 임상경험이 풍부한 의료진이 있는 치과인지 따져보고 덧니 부분교정치료를 받으시는 것이 좋습니다.


덧니 때문에 고민이시라면 덧니 부분교정이 가능한지 잘 따져보고 결정하세요!




keyword