brunch

치석제거 스케일링 건강보험 혜택 꼭 받으세요~

스케일링이 필요한 이유

by 허영준
치석제거 스케일링 건강보험 혜택 꼭 받으세요~


스케일링받은 지 얼마나 되셨나요? 치석제거술인 스케일링은 치아건강을 위해 꼭 필요함에도 스케일링 시 느껴지는 불편감과 스케일링 이후의 이 시림 현상 등으로 꺼리는 분들이 생각보다 많습니다. 하지만 자그마한 불편감과 번거로움으로 치석제거를 미루고 치아를 방치하면 구강 건강을 해치기 쉬운데요. 오늘은 치석 제거가 필요한 이유에 대해 살펴보도록 하겠습니다.




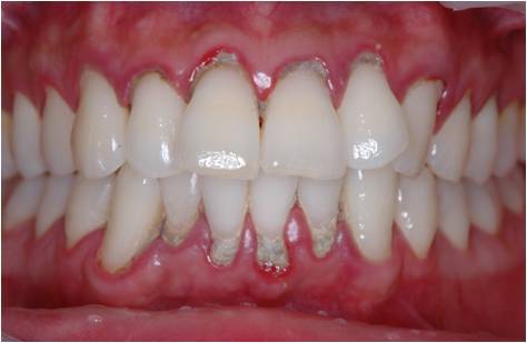
치석은 어떻게 생기게 되는 것일까요?


음식물을 섭취하고 나면 치아와 잇몸 주위에 음식 찌꺼기가 남게 되죠. 이 음식 찌꺼기에 세균이 붙으면서 세균막인 플라그(치태)가 형성되게 됩니다. 양치질을 통해 눈에 보이는 음식물 찌꺼기나 치태 등은 제거가 되지만 치아가 틈새의 미세한 치태는 아무래도 완전한 제거가 힘들죠. 이와 같이 치태가 제거되지 않으면 치아 표면에 있는 무기질과 치태가 만나 단단한 치석으로 변하게 됩니다.



이렇게 치석이 제거되지 않고 시간이 지날수록 치아와 잇몸 사이에 쌓이면서 염증을 일으키게 됩니다. 잇몸질환의 원인이 바로 치석인 것이죠. 때문에 치석 제거가 중요합니다.


초기 치은염의 경우에는 스케일링만으로도 치료가 가능합니다. 하지만 잇몸질환이 악화되어 잇몸뼈까지 소실되는 치주염으로 발전되면 치료도 어려워지고 심한 경우 발치해야 하는 상황에 이르게 됩니다.


잇몸질환은 큰 증상 없이 진행되는 경우가 많아 심각해진 이후에 치과를 방문하는 경우가 많은데요. 평소 스케일링을 주기적으로 받는 습관을 들이는 것만으로도 잇몸질환을 충분히 예방하고, 악화되는 것을 방지할 수 있습니다.


스케일링은 치석이나 치면세균막, 음식 찌꺼기 및 외인성 색소 등을 제거하고 거칠어진 치아 표면을 매끄럽게 해 주어 치태와 치석이 발생하는 것을 방지해 주기도 하는데요. 년 1회에 한하여 건강보험도 적용되기 때문에 부담 없이 스케일링을 받을 수 있습니다.


만 19세 이상의 경우 매년 1월 1일부터 12월 31일까지를 기준으로 1회 적용받기 때문에 올해 스케일링을 받지 않으셨다면 보험적용을 받을 수 있습니다.


쇼.jpg


양치질을 꼬박 잘하는데 굳이 스케일링까지 받아야 하나요? 하고 질문하는 하시는 분들 있으십니다. 많은 분들이 비슷한 생각을 하고 계실 텐데요. 아무리 양치질을 잘한다고 해고 치아와 잇몸 틈새 등의 치석까지 완전한 제거가 힘들기 때문에 스케일링을 꼭 받는 것이 좋습니다.


칫솔질이 잘되고 있고 구강위생 상태가 양호한 경우 년 1회 주기로 스케일링을 받는 것만으로도 구강건강을 관리할 수 있습니다. 하지만 대부분 잇몸질환을 가지고 있는 경우가 많기 때문에 6개월 주기로 스케일링을 받는 것을 권고합니다. 치석이 많이 부착되는 경우에는 3개월 주기로 받아야 할 수도 있습니다.


상담2 (10).JPG


스케일링 후 치아 시림 증상을 호소하는 분들이 종종 있는데요. 시간이 지나면 자연스럽게 사라지기 때문에 걱정할 필요는 없습니다. 다만 일주일 정도는 차갑고 뜨거운 음식을 피하는 것이 좋습니다.


또한 스케일링 후 치아 사이가 구멍이 났다고 느껴지는 것은 치석이 오래 방치되어 잇몸질환으로 치조골과 잇몸이 녹아내려 생기는 현상입니다.


평소 올바른 칫솔질 습관 또한 중요한데요. 치실이나 치간 칫솔 등을 사용해 치태와 치석이 남지 않도록 관리해 주는 것이 좋습니다.


잇몸질환 예방을 위해서는 치석 제거가 필수임을 명심하시고, 스케일링을 미루지 마시기 바랍니다.




keyword