brunch

보기 싫은 토끼 이빨 교정 방법은?

토끼이빨 교정방법

by 허영준
보기 싫은 토끼 이빨 교정 방법은?


앞니가 크고 튀어나와 보이는 경우, 토끼 이빨이라고 부르죠. 토끼 이빨이라고 놀림을 받기도 하고 자신감이 결여되어 콤플렉스가 되는 경우가 많습니다. 더욱이 눈에 띄는 앞니다 보니 더욱 신경이 쓰이는데요. 오늘은 토끼 이빨 교정 방법에 대해 살펴보도록 하겠습니다.




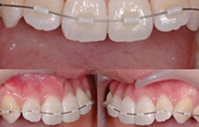
앞니 두 개가 유독 크게 보이는 토끼 이빨의 경우 그 원인과 돌출 정도에 따라 치료법이 달라질 수 있습니다.


가장 흔한 경우는 공간 부족으로 인해 앞니 두 개가 앞으로 튀어나온 경우입니다. 이와 같은 경우에는 교정치료를 통해 앞니를 교정할 수 있습니다.


전체적인 치열은 괜찮으나 앞니만 나온 경우라면 부분교정을 통해서도 치료가 가능합니다. 부분교정은 전체 교정에 비해 3~6개월 정도로 시간도 적게 걸리고, 그만큼 비용 부담도 적어 앞니 교정에 많이 사용되는 교정방법입니다.



하지만, 돌출입 등 전체적인 치열에 문제가 있는 경우라면 부분교정보다는 전체 교정을 통해 치료하는 것을 추천합니다.


전체 교정이든, 부분교정이든 치아의 상태와 전체적인 조화를 고려하여 담당의와 상담을 통해 가장 적합한 선택을 하는 것이 중요합니다.


요즘에는 치료기간 등의 이유로 라미네이트 등의 심미치료로 토끼이빨을 교정하는 경우도 많습니다.


라미네이트는 치아의 겉면을 삭제한 후 도자기로 된 얇은 보철물을 치아 겉면에 붙여서 형태를 만드는 시술 방법으로, 돌출 정도가 심하지 않을 때 적합한 방법입니다. 2주 정도면 치료가 끝나기 때문에 빠르게 토끼이빨 교정을 원하는 분들이 선호하는 편입니다. 하지만 강도가 자연치아보다 약하고 깨질 수 있습니다. 또한 자연치아를 삭제해야 하는 점이 부담이 될 수 있습니다.


8950458_xl.jpg


치아의 크기나 형태의 이상으로 토끼 이빨이 되는 경우도 있습니다.


두 개의 앞니가 다른 치아에 비해 비정상적으로 큰 경우나, 두 개의 앞니보다 그 옆의 치아가 상대적으로 작아 토끼 이빨처럼 보이는 경우인데요.

이와 같은 경우에도 라미네이트나 올세라믹 등의 심미치료로 치아의 모양을 잡아줄 수 있습니다.


올세라믹은 치아 전체를 삭제해 치아 모양의 고강도 특수 세라믹을 씌워 주는 방식으로, 단기간에 전체적인 치아배열을 바꿀 수 있어 연예인들이 선호하는 편입니다. 하지만 자연치아 삭제량이 라미네이트 보다도 많기 때문에 신경치료의 가능성이 있을 수 있습니다.


이처럼 토끼 이빨의 형태와 원인 등에 따라 치료방법이 달라질 수 있습니다.


요즘에는 라미네이트 등 심미치료를 원하시는 분들이 점점 늘어나는 추세인데요. 라미네이트나 올세라믹 등은 자연치아를 삭제해야 한다는 부담을 안고 가야 합니다. 당장은 예뻐 보이고 만족할 수 있지만 장기적으로는 치아에 부담을 줄 수 있습니다.


반면 교정치료는 시간은 조금 더 오래 걸리지만 가장 건강한 치료방법이라고 할 수 있겠습니다.


진료상담6-1 (5).JPG


토끼 이빨도 그 정도와 상태에 따라 치료방법이 달라질 수 있는 만큼 토끼 이빨 교정을 계획하고 계시다면 교정치료와 심미치료 경험이 많은 치과병원에서 전문의와의 상담을 통해 적절한 치료방법을 찾으시는 것이 좋습니다.




keyword