brunch

난이도 높은 개방교합 교정, 치과 선택 중요!

개방교합의 원인과 치료방법

by 허영준
난이도 높은 개방교합 교정, 치과 선택 중요!


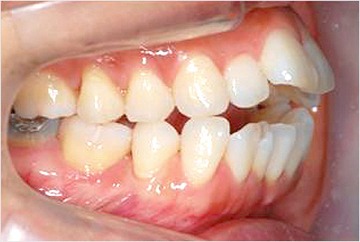
우리 치아는 입을 다물었을 때, 윗니가 아랫니를 적절하게 덮는 모양이 정상적인 상태입니다. 하지만, 윗니가 아랫니를 덮지 못하고 들려 있어 이들 사이에 공간이 생기는 경우가 있는 데, 이를 '개방교합'이라고 합니다.


개방교합은 저작기능이 떨어진 상태로, 음식을 먹는 것이 불편합니다. 앞니로 음식을 자르거나 베어 먹는 것도 당연히 힘들게 되지요. 음식을 먹는 것에 장애가 생기니 소화불량이나 영양 불균형 같은 신체의 질환으로 이어지기도 합니다.


또한, 개방교합이 있으면 치아 사이로 공기가 새어나가기 때문에 발음에도 문제가 생깁니다. 아울러, 항상 입이 벌어져 있어 자신도 모르게 구강호흡을 하게 되면서 입속이 건조해지고 세균의 번식이 증가해 잇몸질환이나 구취, 감기 등의 질병을 일으키기도 합니다.


이런 이유로, 개방교합은 반드시 치료해 주어야만 합니다. 특히, 치료시기가 빠를수록 치료 효과도 좋기 때문에 증상을 인식했다면 바로 치과를 방문해 적절한 처치를 받는 것이 현명합니다.



# 개방교합을 일으키는 원인은?


그렇다면, 이런 개방교합은 왜 생기는 걸까요?
첫째는 유전적인 요인입니다. 유전적으로 전 안면이 후 안면보다 많이 성장하게 되면 얼굴 길이가 길어지며 개방교합이 발생할 수 있습니다. 또한 어금니가 들떠서 나오면 앞니가 개방교합이 될 수 있습니다.


둘째는 나쁜 습관 때문입니다. 어린 시절부터 손가락 빨기나 혀 내밀기, 턱을 괴는 습관 등이 지속되게 되면 개방교합이 생길 수 있는 것이지요.


셋째는 이비인후과 질환이 원인이 되기도 합니다. 만성 알레르기나 편도 비대, 급성 인후염과 코의 질환 등으로 인해 코로 숨쉬기가 어려워져 구강호흡을 하게 되면 개방교합이 나타나기도 합니다.


개방교합을 적절한 시기에 치료하지 않으면 다양한 문제가 발생할 수 있습니다. 얼굴의 형태가 길어지는 주걱턱이 생겨나고 입이 항상 벌어지게 될 수 있으며, 다물어지지 않는 치아 때문에 제대로 식사하기도 힘들어지게 됩니다. 아울러, 혀가 정상적인 크기인데도 혀가 긴 사람처럼 보일 수도 있습니다.



twi001t2084347.jpg

# 개방교합의 치료방법과 치과 선택 시 주의사항


개방교합 치료를 위해서는 손가락 빨기나 혀 내밀기 같은 나쁜 습관을 제거하는 것부터 시작해야 합니다. 그러면서, '개방교합교정'을 통해 치료를 진행해 나가는 것이 좋습니다. 개방교합교정은 까다롭고 난이도가 높은 수술로 이를 담당할 의료진의 실력이 매우 중요한 분야입니다.


따라서, 개방교합교정에 대한 임상경험이 풍부하고 실력이 좋은 의료진이 있는 치과를 선택해야 원하는 교정 결과를 얻을 수 있습니다. 또한, 개방교합교정은 환자 개개인의 상태에 따라 교정장치나 방법을 달리할 수도 있기 때문에 이에 대한 전문지식이 많은 지도 체크해 봐야 합니다.


개방교합교정은 정밀한 진단부터 시작됩니다. 3D CT는 물론 구강 내 사진촬영과 인상채득, 엑스레이촬영 등을 통해 구강 내부와 안면 부위를 다각도로 확인하며 상태를 파악하게 되지요. 이 과정은 환자에게 맞는 가장 최적화된 치료방법을 찾기 위한 것으로, 이를 위한 첨단 장비가 갖춰져 있는지, 또 이를 잘 해독하고 치료계획을 세울 수 있는 치과인지 체크하는 것도 매우 중요합니다.


개방교합교정은 클리피씨나 세라믹, 메탈 등의 교정장치를 활용할 수 있으며, 티 내기 싫은 경우에는 설측교정이나 투명교정 장치도 사용할 수 있습니다. 단, 나의 치아 상태에 따라 교정장치의 선택이 제한될 수는 있습니다.


한편, 위아래 턱의 수직적 길이 차이가 너무 크거나 전후방적인 차이가 너무 심한 골격성 개방교합에는 교정치료와 외과적 수술을 병행하기도 합니다. 따라서 이런 경우에는 외과적 수술이 가능한 병원인지도 체크해 보는 것이 좋습니다.


twi001t3122326.jpg

개방교합은 외모에 대한 자신감을 떨어뜨려 심리적 위축을 만들기도 하지만, 그것보다는 신체 건강에 안 좋은 영향을 미칠 수 있는 질환이기 때문에 반드시 치료에 나서는 것이 좋습니다.


개방교합교정과 나쁜 습관 개선, 적절한 외과적 수술까지 활용한다면 심한 개방교합도 치료할 수 있습니다. 다만, 개방교합 치료에 전문성을 갖춘 치과병원을 찾아야만 성공적인 치료가 가능한 만큼 어느 질환보다 신중하게 병원 선택에 나서는 지혜가 필요해 보입니다.







keyword