brunch

사랑니 발치부터 임플란트까지 동탄센트럴치과 진료 후기

치과 치료는 누구에게나 쉽지 않은 결심이다. 사랑니를 뽑아야 한다는 진단을 받았을 때도, 크라운 치료가 필요하다는 말을 들었을 때도, 그리고 결국 임플란트를 권유받았을 때도 마음 한편이 무거웠다. “과연 잘할 수 있을까, 비용은 얼마나 들까, 아프지는 않을까.”

그러나 실제로 진료 과정을 경험하고 나니, 불안은 상당 부분 해소되었다. 동탄역 인근에 위치한 동탄센트럴치과에서 받은 진료는 정밀한 기기와 세심한 의료 서비스, 그리고 합리적인 가격까지 더해져, 치과 치료를 고민하는 분들에게 좋은 참고가 될 만한 경험이었다.



� 동탄역 센트럴치과병원 더 자세히 보기


사랑니 발치, 첫 관문을 넘다


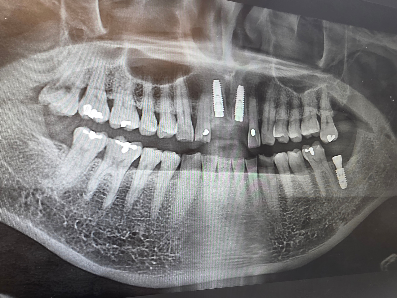
첫 방문의 목적은 사랑니 발치였다. 염증이 반복되면서 음식물이 끼고 잇몸이 붓는 증상이 잦아졌다. 엑스레이 촬영을 해보니 매복된 사랑니가 문제였다.

센트럴치과의 진료 과정은 정밀했다. 디지털 X-ray와 3D CT 촬영으로 사랑니 위치와 신경과의 거리, 발치 난이도를 꼼꼼히 확인했다. 설명도 알기 쉽게, 환자가 불안해하지 않도록 차분하게 해 주었다.

시술 당일, 국소마취 후 발치 과정은 생각보다 빠르게 끝났다. 최신 기구를 사용해 잇몸 절개와 치아 분할 과정을 진행해, 통증과 출혈을 최소화했다. 수술 후 회복도 비교적 순조로웠다. “사랑니 발치 = 고통”이라는 고정관념이 크게 줄어든 순간이었다.



KakaoTalk_20250905_115259464.jpg


크라운 치료, 치아를 지키는 선택


사랑니 발치 후 이어진 건 크라운 치료였다. 오래된 충치 치료 부위가 약해져 있어, 치아를 보호하기 위해 크라운을 씌우는 과정이 필요했다.

센트럴치과는 최신 CAD/CAM 장비로 환자의 치아를 3D 스캔해 크라운을 정밀하게 제작했다. 과거에는 본을 뜨고 며칠을 기다려야 했지만, 이곳에서는 훨씬 빠르고 정확했다. 크라운이 완성된 후 장착했을 때의 이물감도 거의 없었다.

무엇보다 만족스러웠던 건, 치료 과정에서 치아를 최대한 살리는 보존적 접근을 우선시했다는 점이다. 치과가 단순히 치료만이 아니라 환자의 치아 수명을 연장하려는 철학을 갖고 있다는 느낌을 받았다.


KakaoTalk_20250905_115259464_02.jpg


임플란트 수술, 정밀 기기의 힘


결국 남은 한 치아는 임플란트 수술이 필요했다. 임플란트라고 하면 많은 이들이 “비용이 크다, 통증이 심하다, 회복이 오래 걸린다”는 두려움을 갖는다. 나 역시 마찬가지였다. 하지만 동탄센트럴치과에서의 경험은 달랐다.

정밀 진단 : 3D CT 촬영으로 잇몸뼈의 두께와 신경 위치를 파악하고, 컴퓨터 가이드 수술 계획을 세웠다.

정밀 수술 기기 : 디지털 내비게이션 시스템을 통해 정확한 위치에 식립이 가능했다. 이는 수술 시간을 단축하고, 회복 속도를 빠르게 해 주었다.

통증 관리 : 수술 중 체계적인 마취와 사후 관리로 불편함을 최소화했다.


시술 후 붓기와 통증은 예상보다 훨씬 적었고, 일상 복귀도 빠른 편이었다. “임플란트 수술이 이렇게 달라질 수 있구나”라는 생각이 들 정도였다.



KakaoTalk_20250905_115259464_12.jpg


합리적인 가격, 부담을 덜다


치과 치료에서 비용은 빼놓을 수 없는 요소다. 특히 임플란트는 고가의 시술이라 망설이는 사람이 많다.

센트럴치과는 치료 전 예상 비용을 투명하게 안내했다. 임플란트의 경우 사용하는 재료와 시술 방법에 따른 가격 차이를 명확히 설명해 주었고, 환자가 선택할 수 있도록 했다. 보험 적용 여부와 분납 방법까지 안내해 주어 경제적 부담을 줄일 수 있었다.

합리적인 가격과 투명한 비용 안내는 치료를 결정하는 데 큰 도움이 됐다. “숨겨진 추가 비용은 없을까” 하는 불안이 없다는 점에서 신뢰가 갔다.



KakaoTalk_20250905_115259464_05.jpg


고민하는 분들에게 전하고 싶은 말


임플란트를 고민하는 많은 사람들이 정보 부족과 두려움 때문에 치료를 미룬다. 나 역시 그랬다. 하지만 실제로 경험해 본 입장에서, 다음과 같은 점을 강조하고 싶다.

정밀 기기와 의료 서비스 : 최신 장비를 갖춘 치과에서는 통증과 불편이 최소화된다.

단계별 접근 : 사랑니 발치 → 크라운 치료 → 임플란트까지 단계적으로 치료를 진행하면 부담이 줄어든다.

가격 투명성 : 합리적인 비용과 명확한 안내가 있는 곳을 선택해야 한다.


무엇보다 중요한 건, 미루지 말고 시작하는 것이다. 치료를 늦출수록 잇몸뼈가 약해지고, 시술은 더 복잡해질 수 있다.


KakaoTalk_20250905_115259464_07.jpg


고민하며 미루던 임플란트 치료 고민 센트럴치과병원에서 해결


동탄센트럴치과에서의 치료는 사랑니 발치부터 크라운, 그리고 임플란트 수술까지 이어졌다. 과정마다 최신 기기와 세심한 진료가 뒷받침됐고, 회복은 빠르고 만족스러웠다.

치료를 고민하는 누군가에게 이 경험이 작은 도움이 되길 바란다. 임플란트는 두려움의 이름이 아니라, 정밀함과 신뢰 속에서 새로운 치아를 만나는 과정이었다.

“치료를 미루던 마음이 결국 가장 큰 부담이었다.
정밀한 기기와 합리적인 비용, 그리고 신뢰할 수 있는 의료진이 있다면,
임플란트는 결코 두려운 선택이 아니다.”


KakaoTalk_20250905_115259464_01.jpg


keyword