수술집도의가 직접 쓰는 양악수술 이야기 1탄

첫 번째 이야기, 수술 전후의 치아 맞물림(교합) 변화

by 황종민
수술집도의1.png


코 옆이 꺼져 있고, 아래턱이 너무 커서 양악수술을 하기 위해 찾아온 환자입니다. 이미 교정치과에서 양악수술이 필요하다는 진단을 받고 1년 조금 넘게 수술 전 교정치료를 받고 있었습니다.

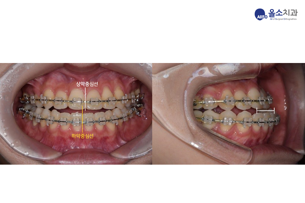
치아맞물림.png

치아는 술전 교정을 받을 상태라, 주걱턱과 비대칭의 양을 치아에서도 그대로 보여주고 있습니다. 아래턱의 앞니가 위턱에 비해 앞으로 나와있고, 좌측으로 삐뚤어져 있습니다.

3d.png



3D 분석을 통해서 주걱턱과 비대칭의 양이 정확하게 측정되고, 이를 바탕으로 수술 계획이 세워집니다.



수술집도의3.png




3D 기술을 이용하여 수술 전후 변화를 3차원적으로 확인할 수 있습니다. 비대칭과 주걱턱이 한번의 수술로 정확하게 고쳐졌음을 알 수 있습니다.


교합의 변화를 수술 전 교합 상태와 비교하여 보겠습니다.

수술집도의2.png

수술 전에는 아래턱이 위턱에 비해 앞으로 나와있는 반대교합으로 위아래 앞니가 맞물리지 않으며, 좌우 비대칭이 심해 가운데 선이 맞지 않았습니다.


수술집도의4.png



정상적인 교합은 1) 윗니-아랫니의 중심선이 맞고 2) 윗니가 아랫니를 살짝 덮어야 합니다. 수술 후 사진에서 술전의 반대교합과 비대칭이 교정된 것을 알 수 있습니다.



수술집도의5.png
수술집도의6.png
수술집도의72.png




수술 전 후 사진을 통해서, 기능적으로 교합이 좋아지고, 동시에 외모적으로도 건강한 아름다움이 회복되었음을 알 수 있습니다.




올바른 양악수술은 건강한 턱을 회복하여 아름다운 얼굴을 되찾게 해줍니다.






- 본 전후사진은 환자분의 동의 하에 게재되었으며, 올소치과는 본 게시물 내 사용된 모든 사진이 동일인의 사진임을 보증합니다.

- 위 사진은 동일한 조건에서 촬영되었으나 실제와 다를 수 있습니다.

- 수술 결과는 개인에 따라 상이할 수 있으며, 부종, 출혈, 신경손상 등의 부작용이 있을 수 있습니다.





keyword
작가의 이전글양악수술의 환상, 미용적 효과에 대한 전문가의 생각