brunch

거북목 자가진단과 치료법

by 한의학박사 김성훈



요즘 저도 좀 느끼는건데 문명의 혜택으로

인해서 스마트폰, pc 사용이 잦아지면서

자연스럽게 목이 숙여지고 습관적으로 그 자세를

유지하고, 거북목이 되어가는 지름길의 길을

밟아가고 있는 슬픈 현실 입니다.


거북목 증후군이란?

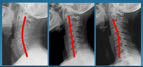
정상목 일자목 거북목




쉽게 말하자면 목의 모양은 알파벳 c의 형상을

띄어야 올바른 자세입니다. 그런데 일자형이거나

역 커브형으로 변형된 목이라면 거북목이라고 부르는데요

거북목 증후군이 생기면 목에만 문제가 생기는것이 아니라

목과 어깨 척추질환으로 이어지고, 몸전체의 균형 그리고

자세 문제로 이어질 수 있는 문제이기 때문에 초반에 치료를

받는 것이 아주 중요하고, 예방 방법을 알아 미리 예방

하는 것도 중요하겠습니다.

혹시 이 글을 읽고 있는 동안에도 본인의

자세를 한번 살펴보시길 바랍니다.

척추는 곧게 펴져있는지, 목모양은 어떻게

되었는지? 목을 너무 앞으로 쭉 빼진 않았나요?

나중에 시간이 지나면 습관이 되어 버릴 수가 있습니다.

그전에 항상 좋은 자세를 유지하는 것을 습관화 해야 합니다.




거북목 자가진단

22286F37551BB1E408132E

위의 증상중에 해당되는것들이몇개나 있으신가요?

혹시 머리의 무게가 얼마나 되는지 알고 계신가요?

머리 무게가 6~8 kg 정도 된답니다.

그런 상태에서 목을 쭉 빼고 있으면

어깨와 목 척추에 얼마나 부담이 될지 상상이 되시지요?

목이 앞으로 기울어 지게 되면 목과 어깨 근육의

과부하가 걸립니다. 목이 뻣뻣하고 나중에는

움직일 때 마다 통증도 동반하게 됩니다.

시간이 지나면 염증이 생기기도 합니다

이럴 때 자가로할 수 있는 운동이 경추5번운동입니다.

003 (2).JPG 턱을 잡아당긴 상태에서 뒤통수를 벽에 대고 상체를 버티는 동작이 필요합니다.

자세를 바르게 함은 몸을 건강하게 하는 가장 쉽고도 빠른 길 입니다.

자세가 바르지 않으면 온 몸의 균형이 무너집니다.

작가의 이전글입이 돌아갔어요..구안와사  치료방법