brunch

50대후반 여성_목디스크와 팔저림의 프롤로주사 치료후기

청담마디신경외과 심재현원장

by 심재현

안녕하십니까

청담마디신경외과 심재현 원장입니다.


오늘은 목디스크로 인한 통증과 팔저림에 효과적인 프롤로치료(Prolotherapy)에 대해 알아보겠습니다.



58세의 소아심장 전문의 이신 분이 진료를 오셨습니다. 이분은 약28년간 소아들의 심장초음파 검사와 심장중재술을 하신 분입니다. 작년 2월부터 증상이 발현되고, 4-5개월전부터 심한 목과 어깨의 통증, 날개뼈 내측의 통증 그리고 좌측 팔의 저림이 심하고, 초음파심장 검사를 진행할 때 팔저림이 악화되어 진료를 수행하기 어려울 정도였습니다.


더 이상 직업을 유지하기 어렵겠다는 생각이 들어 수술이나 시술을 해보자는 마음으로, 직장 동료인 신경외과, 재활의학과 선생님들과 상의하던 중에, 친정 어머님이 받으신 프롤로치료가 안전하고 믿을 만하다는 생각으로 본원을 내원하셨습니다.


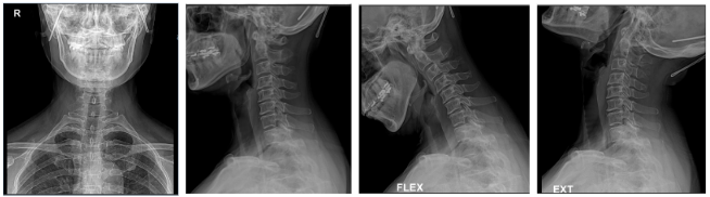
20250307_1.png
20250307_2.png


경추부 방사선촬영 상에서는 측만과 전만소견 그리고 추간판의 간격이 좁아진 소견을 보였으며, 경추 MRI 검사상 목디스크 소견을 보였습니다. 손저림 때문에 뉴론틴이라는 약을 2달정도 복용을 하고 있었으나 별 효과는 없었습니다.

저는 프롤로치료와 초음파유착박리술을 권하여 시술을 시행하였습니다.


프롤로치료란 무엇인가요?

프롤로치료는 손상된 인대나 힘줄, 관절 부위에 고농도의 포도당 용액 등을 주사하여 조직의 치유를 촉진하고 통증을 감소시키는 치료법입니다. 이 방법은 염증 반응을 유도하여 우리 몸의 자연 치유 과정을 촉진함으로써 손상된 조직의 재생을 도모합니다.


경추 통증에 대한 프롤로치료의 효과는 어떤가요?

경추 부위의 통증, 특히 목 디스크로 인한 통증은 프롤로치료를 통해 효과적으로 관리될 수 있습니다. 초음파를 활용하여 경추의 인대나 힘줄, 신경, 혈관 등의 중요한 구조물을 정확하게 확인하면서 주사하기 때문에, 안전하고 효과적인 치료가 가능합니다. 또한 경추부의 신경을 초음파로 확인을 하여 신경이 유착된 곳에 포도당을 주사하여 유착박리술을 시행하면 저림과 같은 신경 증상이 빠르게 호전될 수 있습니다.


프롤로치료의 장점은 무엇인가요?

1)비수술적 치료: 절개나 마취 없이 주사로 진행되므로 환자의 위험 부담이 적습니다.

2)빠른 일상 복귀: 입원이 필요 없으며, 시술 시간이 짧아 바쁜 현대인들에게 적합합니다.

3)반복 치료 가능: 필요에 따라 여러 번 치료를 받을 수 있어 만성 통증 관리에 효과적입니다.


주의사항은 무엇인가요?

프롤로치료 후에는 염증 반응으로 인해 오한이나 몸살 기운이 나타날 수 있으나, 이는 정상적인 반응입니다. 또한, 치료 기간 동안에는 소염진통제 등의 항염증성 약물을 피하는 것이 치료효과에 도움이 됩니다.

프롤로치료는 경추 통증을 겪는 환자들에게 효과적인 비수술적 치료 옵션으로 고려될 수 있습니다. 그러나 개인의 상태에 따라 치료 효과가 다를 수 있으므로, 전문의와 상담하여 적절한 치료 계획을 수립하는 것이 중요합니다.


앞서 말씀드린 소아심장 전문의 분은 프롤로치료에 반응이 아주 좋았습니다. 처음 치료를 하고 4주에서 오셨는데 목의 통증이 많이 줄고 날개뼈 내측의 통증은 거의 없어졌으며, 저림은 좌측 5,4번 수지부에 아직 남아있었습니다. 그리고 2회치료를 시행하고 4주후에 내원하였을때는 통증이 없어지고 (vas: 0-1) 좌측 손저림이 약간 남아있지만 강도는 많이 줄었습니다. 심장초음파 검사를 할 때 손이 너무 저려서 의사직을 그만두려고 했는데, 지금은 손이 편해져서 너무 고맙다고 하시면서, 치료후기를 적어주셨습니다.


프롤로치료를 4주간격으로 3회시행을 하고
현재는 통증이 거의 사라지고 팔저림도 줄어서
삶의 질이 완전히 달라졌다고하며
직업 생활을 자신있게 유지하고 있습니다.


여러분들도 목디스크로 인한 통증과 팔저림이 있으시다면, 안전하고 효과가 좋은 프롤로치료를 받아보심이 어떠실까요?

감사합니다.


*목디스크와 팔저림의 프롤로주사 : https://youtu.be/1XLiPwL9lRw

*환자치료후기 - https://url.kr/g5gdr9


*프롤로의사 심재현원장 : https://youtu.be/4egDUHKQQ-s

*청담마디 카톡상담 : http://pf.kakao.com/_KVyxad

*청담마디 홈페이지 : https://chungdammadi.co.kr

*문의전화 : 02-547-7533


keyword