brunch

긴 시간 여행을 떠날 준비를 해야하는 병

뇌졸중 상식

by 작사녀ㅣ이혜진OT

우리가 흔히, 말하는 뇌졸중에도 종류가 있다.


요즘은 워낙 의학상식이나 지식들을 찾기 쉽기 때문에, 이 정도 지식은 알고 있는 사람들이 대부분이다. 대부분 알 것이라고 생각했다. 하지만 그것은 온전히 나만에 착각이었다.


최근 재활상담소를 운영 중 보호자 재활상담을 진행하면서 가족들이 뇌졸중이란 진단을 받았어도, 이런 기본지식을 모르고 있는 분들을 봐왔기에, 많은 정보가 있는 주제지만 작사녀 언어로 다시 정의해보려고 한다.


1. 가족을 병들게 하는 병

2. 긴 시간 여행을 떠날 준비를 해야하는 병


주변 어른들이 하는 말을 들었을 때, 중풍이라는 용어를 종종 사용하는 것을 본 적이 있을 것이다. 이 중풍이란 것은, 한의학에서 뇌와 관련되어 나타나는 그런 모든 증상들을 중풍이라고 통칭하는 것으로 우리가 말하는 뇌졸중 CVA: Cerebral Vascular Acciednt 과는 다른 개념이다.


그럼 뇌졸중이라고 하는 CVA는 보통 Stroke라고도 불린다.


뇌졸중

뇌가 졸도하는 중병?

줄임말이 유행이라 하니, 이렇게 또 이야기해도 맞아떨어진다.


우선, 뇌졸중은 크게

출혈과

경색으로 나뉜다.


출혈은 말 그대로 우리가 알고 있는 혈관이 터진 것을 출혈이라 한다.

보통 뇌졸중에 20% 발생되고,

우리가 가지고 있는 보험약관 등 살펴볼 때, 뇌졸중 중 뇌출혈이 내는 보험비가 더 비싸며, 뇌경색과 금액 등이 다를 수 있다.


그럼 경색이라고 하는 것은, 쉽게 말해 막힌다는 말이다. 뇌혈관 내에 혈액이 돌아다녀야 하는 그 길이 막히는 것이다.

이 경색은 다른 말로 허혈이라고 한다.


자, 그럼 여기서 의학용어를 조금 알아보도록 하자. 우리가 이런 간단한 의학용어를 알아야 하는 이유는, 병원에서 받게 되는 진료의뢰서나 진단서, 검사기록지를 보게 될 때, 일부 많은 의학용어로 기재되어 있는 것을 볼 수 있다. 이때, 이런 알고 있는 어디선가 본 거 같은 영단어가 나올 때 굉장히 반갑고 병에 대한 자신감이 생길 때가 있다.


실로 작사녀는 아빠에 검사기록지를 받고, 내가 알고 있는 의학용어를 토대로 해석했을 때, 내가 보건 쪽으로 진로 선택을 잘했구나라는 생각을 처음 했었다.



1. 출혈 hemorahage


2. 경색 infarction / 허혈 ischemia


위에서 이야기한 것처럼 이렇게 크게 출혈과 경색으로 나뉜다.


출혈에는


뇌실질내출혈 intracerebral

거미막밑출혈(지주막하출혈) subarachnoid


뇌실질내 출혈은 뇌 속(실질)에서 혈관이 파열된 것으로, 뇌 속에 있는 혈관이 터진 것을 말한다. 보통 고혈압이 가장 중요한 원인을 제공한다.

거미막밑출혈(지주막하출혈)은 뇌 속 혈관이 아닌, 뇌를 싸고 있는 거기막과 뇌 사이의 공간에 출혈이 발생된 건으로 동맥류 파열이 가장 흔한 원인을 제공한다.

그럼, 여기서 잠깐 헷갈릴 수 있을 것이다. 거미막? 뇌 사이? 공간?

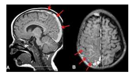
아래 그림이 거미막밑출혈(지주막하출혈) 시 볼 수 있는 영상 촬영 사진이다.

빨간색 화살표 부분에 하얗게 고인 것이, 출혈로 생기는 진한 선에 피라고 생각하면 이해하기 쉬울 것이다.

화면 캡처 2023-01-21 124311.png

우리 뇌는

ddd.png

뇌 위에 3개의 막이 존재합니다.

그 막은 연막(연질막), 그 위에 거미막, 그 위 경막이다.

경막은 우리가 알고 있는 딱딱한 머리를 두드렸을 때, 딱딱한 뼈 아래 위치한다.


얼마나 중요한 부위인지, 이렇게 3개의 막으로 구성된 것 보면 이해할 수 있다.


그러니깐, 바로 거기 막밑 출혈이란 것은, 이 거미막과 연막 사이 공간을 말한다.

이 공간에 출혈이 생긴 것을 지주막밑 출혈, 또는 거미막밑 출혈이다.


다음,

경색/허혈에는


색전 embolus

혈전 thrombus


색전과 혈전으로 나누어진다. 색전은 대부분 심장이상으로 인한 이물질이 혈관 내를 돌아다니다가 심장성색전뇌졸중을 일으킨 경우가 여기에 해당된다. 작사년 아버지 또한, 이 뇌경색에서 색전에 해당된 케이스다. 심장우회로수술 이후, 약물복용을 소홀히 한 결과 심장찌꺼기가 뇌혈관에 점점 쌓이면서 허혈로 이어져, 뇌가 손상된 것이다.


그럼 혈전은, 혈관 내벽에 이물질이 덩어리로 인한 막힘, 즉 동맹경화성 혈전증을 말한다. 이 경우는 보통 당뇨나, 중성지방, 콜레스테롤 등 동맥경화증이나, 이런 성인병으로 인해 발생되는 경우가 많다.


허혈은 뇌졸중에 80% 해당할 만큼 발병률이 높다. 그리고 젊은 세대 10대, 20대에서도 많이 발생되는 뇌졸중에 종류이다.

특히, 우리가 많이 들어본, 뇌졸중 전조증상 골든타임이라고 하는 것이 이 허혈성 환자들에게 해당되는 내용이다.

자 그럼, 마지막으로 허혈성과 출혈성을 제외하고 기타 종류로는


뇌동맥류가 있다.


뇌동맥류

뇌동맥류는 인구의ㅡ 약 1%에서 발견되며, 40~60세의 연령에 가장 흔하게 나타난다. 뇌동맥류성 지주막하출혈은 매년 인구 10만 명당 약 10~20명 발생한다. 90% 뇌지주막하 출혈, 7% w주위 뇌신경, 조직 압박 증상등이 나타난다. 또한 3% 는 우연히 건강검진 등 다른 이유로 발견되기도 한다. 또, 45%는 5-10분 정도 정신을 잠깐 잃기도 하여, 걱정되어하게 된 검사에서 발견되는 경우가 대부분이다.


마지막 종류는


일과성 허혈 발작(TIA: Transient Ischemic Attacks)이다.

일과성 허혈 발작은 뇌의 혈관질환은 완전한 뇌졸중 또는 일과성 허혈발작을 야기하게 되는데, 몇 분에서 수시간까지 24시간 이내 지속되며 완전하게 회복되기도 한다. 그러니깐, 진짜 미세한 혈관이 잠깐 막혔다가 자연스럽게 뚫리게 되는 것이 여기에 해당한다. 대부분 동맥경화증, 죽상경화증 환자에게 발생하게 된다.


누구에게나 올 수 있는 질병이며, 이 뇌졸중은 가족을 병들게 하는 대표적인 질환 중에 하나이다. 가족 중 뇌졸중으로 병원생활과 재활경험이 있는 분들은 바로 이해하실 수 있을 것이다. 이 무섭고 무서운 뇌졸중은, 발병 이후 생존한다면, 그때부터 긴 시간여행을 떠나야 할 준비를 해야 한다.

작사녀는 그래도 8년간 침상환자인 아빠를 간병한 경험과 작업치료사 지식을 통해 그 시간여행동안, 얻은 것이 더 많다. 그 시간여행동안 얻은 것을 지금 필요한 사람들에게 돌려주는 영향력을 가진 사람으로 성장하기 위해 노력한다.






보호자 재활 전문 상담소 카페에서 상담받으세요. 비용을 요구하는 상업적 상담소가 아닙니다. 선한 영향력으로 전문가들이 운영하는 지식 공유카페입니다.

보호자 재활 전문 상담소

https://cafe.naver.com/familycaregiver

보호자 재활 전문 상담소 운영자 작사녀입니다. 작사녀 유튜브 개설 이후 개인 상담문의가 점차 늘어남에 따라, 전문적으로 상담소를 운영해야겠다고 생각되어, 신규 카페 개설을 했습니다.

상담은

물리치료 상담소

작업치료 상담소

언어치료 상담소

재활간호 상담소

기타 재활 상담소

아동(소아) 재활 상담소

로 운영되고 있습니다. 고퀄리티에 임상 10년 차 이상 선생님들의 조언과 상담을 구할 수 있으니, 유익한 정보 얻으시길 바랍니다.

감사합니다.



keyword