brunch

일자목 거북목에 좋은 운동

C 커브 목 만들기

by 한의학박사 최문석 Jul 25. 2016

거북목 일자목은 앉아서 일 하는 시간이 많은 직장인, 스마트폰을 사용하는 젊은 층에서 주로 나타난다. 스마트 기기와 IT 보급화가 이루어지기 전에는 노년층에서 발생했던 증상이지만 지금은 컴퓨터 게임이나 장시간 TV 시청을 하는 어린이들에게도 나타난다.

목뼈가 '1'자로 되어 '일자목', 가만히 있어도 머리가 앞으로 구부정하게 굽어지는 자세를 보고 마치 거북이의 목과 유사하다고 하여 '거북목' 이라고 불리며 고개를 들 수 없을 정도의 통증, 어깨를 손으로 부여잡고 있지 않으면 아무것도 할 수 없을 정도의 고통이 잇따르기도 한다.

증상이 심해지면 마치 전조 현상을 보는 것 처럼 목 디스크와 같은 근 골격계 질환이나 근막통증후군으로도 이어질 수 있다.

증상 단계는 총 세 단계로 나눠볼 수 있다. 첫째로 가장 정상인 C자형 목, 둘째로 일자목, 셋째로 거북목이다. 증상이 심한 거북목은 역 C자형 목이 된다.

미국 뉴욕척추외과재활병원 케네스 한스라즈(Kenneth K. Hansraj) 박사는 스마트폰이나 태블릿PC 등 휴대단말기 사용시 목에 걸리는 부하를 측정한 결과, 목을 많이 구부릴수록 목에 걸리는 부하가 늘어나고 가장 나쁜 자세에서는 27kg의 물건에 상당하는 부하가 걸리는 것으로 나타났다고 Surgical Technology International에 발표했다. 또한 연구에서 '목은 평소 약 5kg의 하중을 견뎌내고 있는데 고개를 기울일수록 견뎌내야 하는 하중이 증가하고 목에 부담을 준다. 결국 견뎌내는 평균치를 넘어서게 되고 목에 치명적인 문제들이 발생한다'고 했다.

결론적으로 허용되는 수치를 벗어난(기울기) 무게로 목에 부담을 줄수록 일자목 거북목증후군의 위험에 쉽게 노출된다.


올바른 자세

how_to_sit.png 앉은 자세는 70°, 90°도 아닌 125° 이상 ↘
20160721_065123.jpg
111.jpg
m2-position_copy.jpg 눈과 모니터 거리 - 팔을 뻗었을 때 닿을 정도
image_6658929601469051343437.jpg 시선 아래로 15도 유지

올바른 베개 사용

201107111649338_EWXXYKEN.png 높이 6cm 베개 사용

도움이 되는 목 운동

neck2.jpg
dorsal hand.png
neck.png 가운데 손가락 끝을 목 뼈 뒤 돌기 옆에 마주 대고 고개를 뒤로 젖힌다
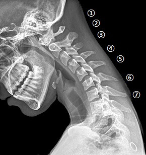
la-he-text-neck-20150404.jpg ⓛ번부터 ⑦번 경추까지 차례로 가운데 손가락을 대고 뒤로 젖힌다
chin-tuck.png 턱 당기기와 목 운동도 자주 한다
neck-2.jpg
shoulder_blades.gif 어깨 펴기도 자주 한다
4-300x300.jpg
turtleneck_guideline.jpg 하늘 쳐다보기도 자주 한다


목을 위한 메켄지 운동법을 함께 한다. ▶ https://brunch.co.kr/@doctor/5


keyword