눈밑지방과 다크서클 #1

눈 밑의 변화

by 엘레멘트

오늘은 얼굴의 변화 중 정면에서 가장 두드러지게 보이기 때문에 많은 분들이 고민하고 계시는

눈 밑의 변화에 대해 말씀을 드리겠습니다.

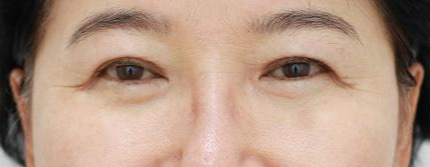
얼굴의 노화.png 대표적인 눈 주위의 변화

위 사진은 노화에 의한 다크서클의 가장 대표적인 모습입니다. 눈밑지방이 불룩하게 튀어나오고 볼 정면의 볼륨이 줄어들면서 눈물고랑과 인디언밴드가 깊어져 있습니다.


이런 변화가 나타나면 주위분들로부터

'원래 나이보다 더 나이들어 보인다'

'인상이 어두워 보인다'

'피곤해 보인다'

는 이야기를 자주 듣게 되고, 이로 인해 스트레스를 받는 분들이 생각보다 많이 계세요.


이러한 변화는 왜 나타나게 되는 걸까요?

눈 주위 지방주머니

안구 주위에는 안구를 보호하기 위해 위에는 2개(또는 개인에 따라 3개), 밑에는 3개의 지방주머니가 존재합니다.



눈밑지방_수정.jpg 눈 밑의 구조


이 중 눈밑지방은 안구를 보호하기 위해 안구와 안와(눈주위 뼈) 사이에서 쿠션 역할을 하는 정상적인 구조물입니다.


하지만 나이가 들면서 눈밑 지방을 감싸고 있는 주머니인 격막, 눈둘레 근육(그림의 ③)과, 눈주위 피부(그림의 ①)의 탄력이 감소하면서 점점 밖으로 돌출되게 됩니다.

눈밑지방.png

그러나 눈밑의 변화는 단순히 눈밑지방이 밀고 나오는 것에서 그치는 것이 아닙니다!


격막과 눈둘레근육, 눈주위 피부의 탄력저하(그림의 ①)에 의해 눈밑지방이 돌출되면서 유지인대가 붙어 있는 부위(눈물고랑)는 상대적으로 더 깊게 꺼져보이게 되고(그림의 ②), 볼 정면 근육의 긴장도가 떨어지면서 얕은 피하지방층이 늘어져 볼 정면의 입체감이 소실(그림의 ③)되는 유기적이고 복합적인 변화의 결과로

눈 밑의 노화가 나타나게 됩니다.


따라서 눈밑지방이 심하게 밀고 나온 분들은 눈물고랑, 눈밑주름, 피부처짐이 더 심하게 동반되는 것입니다.




그러나 모든 분들의 눈밑지방이 나이가 들면서 밀고 나오는 것은 아닙니다.


2020-07-23 14.59.24.jpg 눈밑 지방 돌출이 거의 없는 60대

60대가 되어도 눈밑지방의 돌출이 거의 없는 분들도 계시고,


2020-05-22 이마,볼정면,턱 표층4.jpg 눈밑지방 돌출이 시작된 20대

어떤 분들은 20대에 이미 눈밑지방의 돌출이 시작되는 분들도 계세요.

눈밑 지방은 다음과 같은 경우 더 잘 발생합니다.


1) 눈 주위 피부가 매우 얇거나 탄력이 없는 경우

2) 눈 둘레 근육의 힘이 약하고 탄력이 없는 경우

3) 볼 정면 근육의 힘이 약하고 볼살이 처진 경우

4) 눈밑 지방의 양이 선천적으로 많은 경우

5) 안구가 해부학적으로 돌출되어 있는 경우

6) 안와(눈주위뼈)의 발달이 부족한 경우


이 가운데

1)의 변화는 누구나 나이가 들면서 심해지고,

2), 3)은 평상시 표정습관과 연관이 있습니다.

4), 5), 6)은 선천적인 해부학적 특성으로 인해 발생하기 때문에 나이와 상관없이 20대에도 눈밑지방이 돌출될 수 있습니다.


눈밑 지방이 밀고 나오는 원인과, 치료, 예후와 자연스러움, 삶의 질까지 전반적으로 고려해 볼 때 저는 눈둘레 근육과 볼 정면 근육의 긴장도를 높이는 것이 변화된 눈 밑의 구조복원에 가장 중요하다고 생각합니다.




오늘은 눈밑 지방이 밀고 나오면서 다크서클이 발생하는 원인에 대해 말씀드렸습니다.


다음에는 다크서클의 다양한 유형과 치료방법에 대해 자세히 말씀을 드리겠습니다.


감사합니다.

keyword
작가의 이전글한 끼 건강식