겨울방학중 아이들 성장판 검사는 꼭 받아보기를...

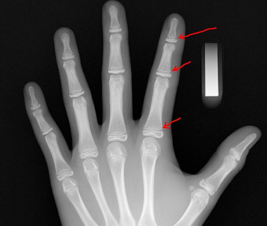
성장판 검사의 목적은 골연령, 뼈나이를 보고자 하는 것입니다

by 고시환
7e1Ud015dmsq4rtjrfnr_m49vk9.jpg

키에 대한 관심과 성조숙증에 대한 염려가 높아지면서 성장판 검사에 대한 정보들도 많아지고 있는 듯합니다.


하지만, 성장판 검사의 주목적을 성장판이 열려있는지? 단지 예측키를 논하려는 목적으로 하는 경우가 많은건 아닌지...


성장판 검사를 통해 성장판이 어느 정도 열려있고, 또 앞으로 얼마의 성장을 보일 것인가에 대한 예측도 중요하겠지만, 성장판 검사의 주 목적은 그 보다는 실제 아이의 나이와 뼈나이, 골연령과의 차이를 보기 위함이 더 큰 것입니다.


또한, 당장의 검사결과수치가 아니라 그 변화과정을 볼 수 있어야하기에 1년에 한 번, 또는 반년에 한 번, 경우에 따라서는 3달마다 검사를 반복하면서 골연령 진행속도를 보면서 성조숙증 여부를 체크할 수 있는 중요한 검사의 하나입니다.


방학을 했어도 여전히 바쁜 아이들의 일과에서 조금의 시간을 내어 성장판 검사를 꼭 권해드립니다.


성장판 검사는 간단하지만, 아이들 성장과 건강에 중요한 정보를 줄 수 있는 중요한 검사의 하나입니다.


성장판 검사에서 또 하나 중요한 것은 검사가 목적이 아닌, 판독과 판독결과를 가지고 아이의 건강을 상담하기 위한 것입니다.


고시환 성장클리닉

02 566 9110


강남구 대치동 대치역 8번출구 앞


진료시간

평일 9시반~6시

수요일 밤 8시까지 야간진료

토요일 9시반~2시



BoneAge1.jpg
BoneAge2.jpg
BoneFuseMale.jpg


매거진의 이전글키... 무시할 수 없는 큰 스펙중 하나