성장판이란?

by 고시환
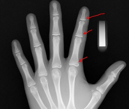
성장판.JPG

성장판은?


성장판이 도대체 무엇이고 우리 성장에 어떤 영향이 있는지 알고 계신가요?


어떻게 영향이 있는지 또는 당신의 몸이 지금의 몸보다 더욱더 자랄수 있는지 알고 싶다면 성장판이 무엇인지 이해하는게 중요하다



growth-plates-height.jpg



성장판을

통해 키의 성장, 신체의 성장을 이루게 된다


성장판은 몸안의 모든 뼈에 존재하지만, 키에 영향을 주는 성장판은 주로 긴 뼈들, 대퇴골, 상완골이랑 종아리뼈 같은 폭보다 길이가 더 긴 뼈들 사이의 성장판이 관여를 하게 되는것으로, 연체동물이 아닌 모든 골격을 가진 동물들은 성장판을 가지고 있고, 성장판을 통해 성장을 이루게 되는 것이다.





growth-plates-taller.jpg



성장판들은 뼈의 끝부분에 위치해 있고, 연골을 만들어 뼈를 길게 성장을 이루게 된다.

이 연골은 서서히 굳어가며 단단한 뼈로 변한다.

사춘기 급성장을 이루는 시기가 연골이 굳어지며 단단한 뼈로 변화는 과정으로서,

이를 이해하려면 액체상태의 물이 얼어 부피팽창과정을 생각하면 이해가 쉽지 않을까 싶다.


성장기동안, 새로운 연골조직이 성장판 위쪽으로 자라면서 뼈로 변하는 과정을 통해 뼈의 길이가 자라고 키가 커지는 것이다. 이 과정에서 연골이 성장판 밑으로 밀어져내려가게되고 뼈가 계속 자랄수 있게 해준다.



성장판은 몇살때 융합되나?


성장판이 평생 열려있어주면 좋으련만 ^^

성장판은 남자는 16~18세 사이이지만, 여자는 13~14세 사이에 평균적으로 닫히게 되며, 이 연령은 실제 태어난 생년월일의 기준이 아닌 골연령, 즉 뼈나이를 기준으로 말하는 것이다.


내 성장판이 닫혀있지 않은지 어떻게 아나?

간혹, 친구들이나 또는 인터넷상에서 자가체크로 성장판의 상태를 논하기도 하지만...

이는 아쉽게도 잘 못된 정보이고, 성장판의 내용은 방사선 검사만을 통해서 확인이 가능하다.


성장을 논하는 성장판은 주로 손목과 어깨를 기준으로 하며,

아래 사진에 있는 왼쪽 손목의 열려있는 골단(open epiphysis)이 시간이 지나면서 오른쪽 손목의 골단처럼 척골과 합쳐진것(closed epiphysis) 을 볼 수 있다.


fused-growth-plates.jpg



겨울방학중 성장판 검사를 권해드립니다.


고시환 성장크리닉

02 566 9110

강남구 대치동 대치역 8번출구앞


진료시간

평일 오전 9시반~오후6시

수요일 오후 8시까지 야간진료

토요일 오전 9시반~오후 2시

매거진의 이전글병의원의 홍보 조금은 달라야하지 않을까?