왜 감기 걸려서 병원 갔는데 엑스레이를 찍자고 할까?

상기도 감염 vs 하기도 감염

by 펭귄들의우상

#Case1

감기 기운이 생겼다. 며칠 전부터 목도 좀 쎄하고 기침도 나고 가래도 끓는다. 어제부터는 좀 춥고 열도 나는 것 같다. 이대로 있기에는 오래 아플 거 같아서 집 앞 내과에 찾아간다. 10분 정도 앉아있으니 의사 같이 생긴 의사 아저씨가 무심하게 맞이한다. 증상을 듣고 청진도 좀 하더니, 갑자기 엑스레이 한 장 찍고 오자고 한다.


#Case2

국가 검진을 받아야 될 해가 왔다. 귀찮기는 하지만 공짜라니 좀 좋은 거 같기도 하다. 아침부터 공복으로 일어나서 내시경도 받고 피도 뽑고 하려니 벌써 힘부터 든다. 병원에 도착해서 옷을 갈아입고 팔찌도 차고 방을 돌기 시작한다. 다음 방을 안내받고 보니 흉부 검진실이다.


흉부 엑스레이를 찍게 되는 가장 흔한 사례 두 가지다. 대부분의 환자들이 이 두 경우를 제외하고 흉부 엑스레이를 찍는 경우는 사실 많지 않다. 이번 글에서는 1번 사례에 대해서 자세히 알아보자.


1번 케이스는 환자 입장에서 의문이 들 수 있다. 나는 분명히 감기라고 생각해서 병원에 왔는데, 증상이 비슷해도 어떤 때는 엑스레이를 찍자고 하고, 또 언제는 엑스레이를 찍자는 말도 없이 약만 주고 보낸다. 이런 경험이 몇 번 쌓이다 보면, 고작 몇천 원 더 벌자고 굳이 안 찍어도 되는 엑스레이를 찍자고 하는 건가 싶기도 하고, 또 다른 병원에서 안 찍어주면 진료를 대충 보는 건 아닌가 싶기도 하고 여러 생각이 피어오른다.


의사 입장에서는 이렇다. 환자는 병명을 머리에 붙이고 들어오는 게 아니다. 환자들은 본인이 감기라고 확신하고 약만 빠르게 받고 나가고 싶어 하지만, 의사 입장에서는 이 사람이 감기인지 확신해서는 안된다. 왜? 그게 우리 직업이니까.


바이러스든 세균이든 호흡기에 감염을 일으켜서 생기는 질환은 크게 URI(Upper Respiratory Infection, 상기도 감염)과 LRI(Lower Respiratory Infection, 하기도 감염)으로 나뉜다. 보통 후두를 기준으로 기관 이하를 침범하면 하기도 감염, 그 이상이면 상기도 감염으로 분류한다. 의학적으로 감기라는 진단명은 없기 때문에(학교 다니면서 배운 적도, 들은 적도 없다!) 보통 상기도 감염이 감기의 의학적 진단으로의 지위를 갖는다.


감기에 대한 설명은 또 할 얘기가 많아서 다음에 다뤄보기로 하고, 중요한 건 지금부터다. 의사 입장에서는 이게 상기도 감염인지, 하기도 감염인지를 구분하는 것이 매우 중요하다. 하기도 감염이 상기도에 비해 예후가 훨씬 좋지 않고, 감기로 죽는 사람은 없지만 폐렴으로 죽는 사람은 많기 때문이다.


안타까운 점은, 이를 구별할 수 있는 방법이 많지 않다는 것이다. 똑같이 열도 나고, 기침도 하고 가래도 끓는다. 하지만 흔히 말하는 감기는 대부분 바이러스 기원의 감염으로 여러 계통을 침범하여 콧물도 나고, 눈도 좀 가렵고, 눈물도 나고 그렇다. 또 증상은 같아도 정도의 차원이 다르다. 38도 이상의 발열이 하기도감염에서는 굉장히 흔하고, 몸이 힘든 느낌(general weakness)도 단순 감기와는 비교할 수 없는 정도가 된다. 하지만 질병의 증상군에 100%는 없기 때문에 보통 이렇구나 하는 임상적인 추정만 하고, 신체 진찰, 여기서는 호흡음 청진으로 넘어간다.


청진도 할 얘기가 정말 많은데, 일단 짚고 넘어가고 싶은 건 청진이 아주 고난도의 술기라는 거다. 의사 하면 바로 떠오르는 도구 중 하나고, 아주 상징적이고 대중적이지만 확신하건대 내과, 가정의학과, 응급의학과 등의 몇몇 과를 제외하면, 청진 경험 및 데이터를 제대로 쌓을 수 있는 과는 거의 없다. 학생 시절 교수님의 청진 스팟을 따라서 쉐도잉을 하는 실습 과정이 있는데, 교수님이 이런식으로 뭐가 들리지? 하면서 설명하셔도 물음표를 가득 띄운 채 기계적으로 고개를 끄덕이는 게 보통이다.


일단 청진을 해서 거품이 터지는 소리든, 호흡음 자체가 크기가 작아졌든 무언가 이상소견이 발견되면, 이전까지 환자 현병력 상 별 문제가 없었어도 감별진단 목록에 폐렴, 기관지염 등을 넣게 된다.


그렇게 엑스레이를 촬영하고, 환자가 돌아오면 큰 화면에 엑스레이를 띄워놓고 보통 이렇게 얘기한다.


"OOO님 폐에 폐렴 소견이 보입니다." or "OOO님 폐에 폐렴이 있나 찍어봤는데, 큰 문제는 없는 거 같아요"


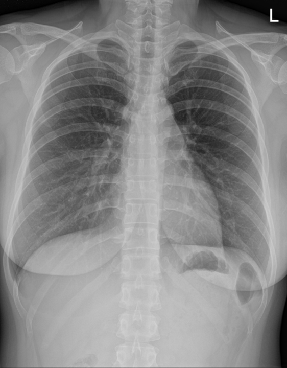
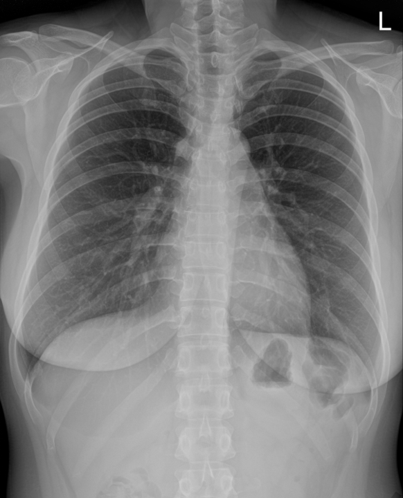
후자의 경우는 사족이 붙어야 한다. 실제로 폐렴이 있어도 엑스레이 상에서 잘 확인이 어려운 경우가 아주 많고, 진행되는 폐렴에서는 아직 영상의학적인 변화가 나타나기 전인 상황이 많아서, 폐렴이 아니라고 확신하는 건 정말 쉽지 않다. 아래 사진을 보자.


이 두 사진은 모두 같은 환자의 다른 날짜에 촬영된 흉부 엑스레이다. 좌우 사진 중 어떤 사진이 더 회복된 상황일까? 우측 사진이다. 잘 보면 우측보다 좌측 음영이 조금 더 blunt 해 보이는 것을 알 수 있다. 사실 이 정도면 의사들 사이에서도 과에 따라서 둘 다 정상, 둘 다 이상, 한쪽만 이상 등으로 갈릴 수 있을 정도의 사진이다.


그렇다고 폐렴의 형태가 하나냐? 아니다. 폐렴의 종류는 수십 가지가 넘는다. 원인이 되는 균의 종류에 따라 전형 vs 비전형 폐렴으로 나뉘고, 전형 폐렴 안에서도 원인균 혹은 원인 바이러스에 따라 엑스레이 소견이 달라진다. 그 엑스레이 소견이 그렇게 중요하냐고? 중요하다. 약이 달라지니까. 균을 잡아야겠으면 항생제를 써야 하고, 항생제는 그 종류가 수백 가지에 달하며, 각각의 항생제가 커버하는 균주가 다르기 때문에 항생제 종류가 달라진다.


하지만 이 엑스레이 한 장만 보고 그 모든 걸 그 자리에서 확답을 줄 수 있는 의사는 세상에 없다. 일단 지금 당장 큰 병원을 보내야 하는 환자인지 구별하고, 아니라면 가장 가능성이 높은 진단을 추리고, 그에 대한 약을 주고, 호전되는지 여부를 지켜봐야 진단이 맞았는지를 알 수 있다. 그래서 보통 3일 뒤에 다시 보자고 하면서 안 좋아지면 바로 내원하라고 얘기한다.


다시 처음으로 돌아와서, 가볍게 병원 가서 약 받아야지 했던 자칭 감기환자를 마주한 의사는 전혀 가볍지 않은 고민을 하게 되는 것이다. 대부분의 경우엔 의사의 기우일 확률이 높다만, 하루에 감기 환자만 100명을 본다면, 꼭 1~2명은 심각한 수준으로 발전할 수 있는 하기도 감염이 동반되어 온다. 의사 입장에서는 내 눈앞의 사람이 그 1~2명에 해당하는 폭탄을 안고 들어오는지 아닌지 모르기 때문에 최대한 방어적인 입장을 취할 수밖에 없는 것이다.


물론 경력이 아주 많고, 폐렴으로 진행이 되어도 내가 다 커버할 수 있어!라는 자신만만한 의사라면(나이가 많을 확률이 매우 높다) 엑스레이도 잘 안 찍을 수 있다. 하지만 요즘처럼 의사가 초진에서 질환을 잡아내지 못했을 때 법적으로 분쟁을 만들어내는 게 유행처럼 된 시기에는, 대부분의 의사가 방어적인 진료를 한다.


그러니까 본인이 병원에 갔는데, 의사가 눈길도 제대로 안 주고 집에 보낸다면, 또 약에 항생제도 안 들어있고 기침, 가래, 콧물 약이 고루 들어있다면, 왜 이렇게 진료를 짧게 보는 거야! 하고 화내지 말고, 그냥 본인이 별로 문제 되지 않을 상황임에 기뻐하자. 반대로 엑스레이를 찍자고 하고, 뭔가 시원한 답을 주지 않고, 약에 큼지막한 항생제가 들어있고, 3일 뒤에 다시 보자고 한다면, 제발 병원에 좀 다시 와라. 혼자 안 오고 버티다가 큰 병 키우고 나중에 와서 역정 내지 말고.

화, 목, 토 연재
이전 01화진료실 오프더레코드