오전 진료

안타의 영원한 반복?

by 호원장


오전 10시 정각. 진료가 시작되면 위생사 선생님들이 분주하게 움직이고, 원장실 책상 위에 저속 충전 중인 무전기에서는 지지직거리며 선생님들의 목소리가 울려 퍼집니다.


“원장님, 2번 체어 레진 있습니다.”
“3번 체어 5개월 검진이에요.”
“5번 체어 수술 마취해 주세요.”


1인 원장이 진두지휘하는 작은 치과에서는 이런 다발성 요청이 한꺼번에 들어올 때 머릿속이 빠르게 계산을 시작합니다.
음… 5번은 마취니까 금방 끝나겠지. 그다음 검진 가고, 시간이 좀 걸리는 레진은 마지막에 해야겠다.
이렇게 우선순위를 정하고 5번 체어로 향합니다.

50대 남성 환자가 긴장된 표정으로 조용히 앉아 계십니다.
“환자분, 오늘 오른쪽 아래 수술하기로 했죠. 컨디션은 괜찮으세요? 오늘은 이 세 개 빼고, 네 개 심을 거예요. 여기랑 저기 빼고, 저쪽에 심을 겁니다. 마취되면 하나도 안 아프니까 너무 걱정 마시고 편하게 계세요.”
가능한 한 밝고 다정한 목소리로 눈을 마주치며 위안을 전합니다.

“자, 살짝 따끔하고 뻐근합니다.”
턱을 받친 채 주삿바늘을 볼 깊숙이, 정확한 위치에 자입합니다. 천천히, 그리고 점점 속도를 높이며 주사액을 주입합니다.
“찌릿하시면 왼손 드세요.”
신경관과의 거리를 확인하기 위한 말에, 환자는 왼손 엄지를 치켜들어 보입니다.
안 아프시다. 오케이. 이젠 위생사 선생님의 소독차례.


주사기를 정리하고 3번 체어로 향합니다. 다섯 달 전에 뵈었던 아주머니가 불편한 데 없다고 하십니다. 검사해 보니 구강 상태도 양호해 스케일링만 하기로 하고, 위생사 선생님께 부탁을 드립니다.


자 다음은 2번 체어.
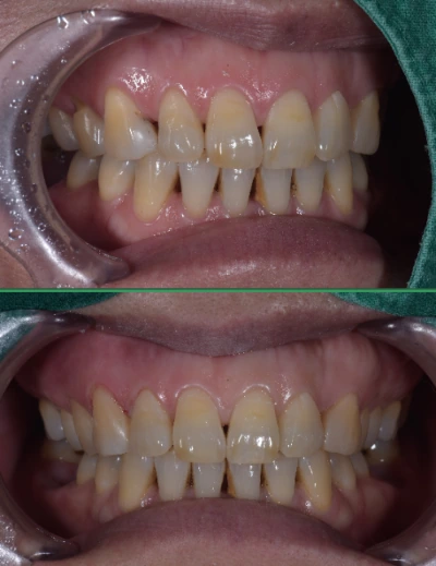
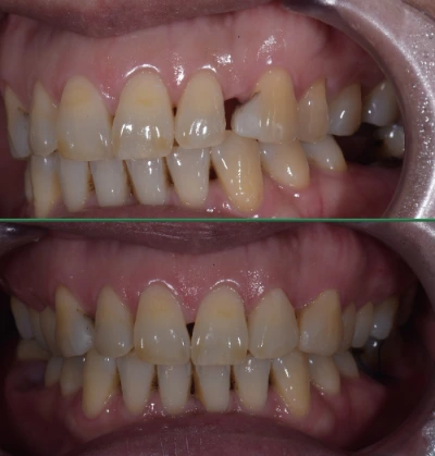
“오늘 앞니 레진이죠?”
인사를 건네며 환자를 맞이합니다.

그리고 오늘의 ‘안타거리’를 발견합니다.
심미 레진—앞니 부위의 레진은 심미성이 중요해 이렇게 부르죠—은 언제나 약간의 긴장과 즐거움을 줍니다. 의사가 즉각적인 결과를 볼 수 있고, 그 결과로 환자에게도 즉각적인 즐거움을 드릴 수 있으니까요.

왼쪽 앞니의 레진치료 왼쪽 송곳니 부위의 부적절한 레진을 제거하고 좀 더 자연스럽게 수복..


오른쪽 송곳니의 레진치료 마찬가지로 부적절한 친구들 떼버리고 예쁘게 수복.

오늘도 꽤 괜찮은 레진을 해버리며 안타를 하나 쳤다는 기쁨이 밀려옵니다.
하지만 동시에 5번 체어의 환자가 마음에 걸립니다.
수술이 기다리고 있으니까요.
‘빨리 CT 사진을 봐야겠다… 수술은 어떻게 풀어가야 하지.’
머릿속으로 시뮬레이션을 돌리며 레진을 마무리합니다.

“현 선생님, 환자분께 레진 결과 보여드리고 2주 후 체크 예약 부탁드릴게요.”
짧게 말을 남기고 수술실로 향합니다.

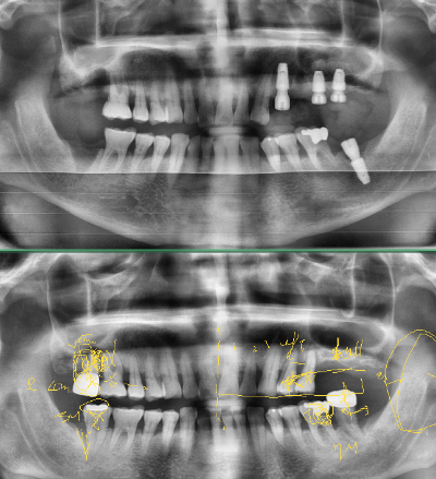
위에서 부터 환자의 수술 후, 전 파노라마 방사선 사진, 아래는 설명한 흔적이 남아있습니다.

이번 수술은 세 개를 발치하고 네 개를 식립 하는 케이스였습니다.
환자의 수술 부위의 단면이 캡처된 CT가 컴퓨터 화면에 띄워져 있고.. 수술용 고성능 하이피스에 엔진이 돕니다. '히잉~'

수술 중간에 위생사 선생님 손과 제 손이 부딪힙니다.
“선생님 손 조심…”
말을 꺼내는 순간, 선생님의 표정이 살짝 굳습니다.
실수했다는 생각에 기분이 가라앉은 듯했지만,
시간이 지나 수술이 마무리될 무렵엔 서로의 호흡도 다시 맞아갑니다.

마지막 나사를 조여 넣고,
“환자분, 수술 잘 끝났습니다. 이제 CT 찍을게요.”
말하자 위생사 선생님이 무전으로 전합니다.
“도 선생님, CT 준비해 주세요.”

소독장갑을 벗고 원장실로 터벅터벅 걸어가서 쓰러지든 의자에 앉아있다 CT사진이 저장되면 수술 결과를 확인합니다. 그리곤 하루의 첫 수술이 끝났다는 안도감이 밀려오는 동시에 여전히 분주하게 돌아가는 오전 진료의 소리가 귓가를 채웁니다.


이렇게, 오늘의 오전 진료는 시작됩니다.


치과 진료를 시작한 지 어느덧 10년이 흘렀습니다. 진료 중에는 가끔 우당탕탕 사고도 있고, 예기치 못한 일들도 생깁니다 그럼에도 결국 크게 보면, 이 일은 위에서 묘사한 그 무브먼트의 영원한 반복 같습니다. 위의 묘사 (약간의 변주 허용) x N은 치과의사의 진료실 풍경에 대한 영원한 변주가 될 것입니다. 즉, 진료실의 영원한 하루는 조금씩 다른 변주를 품은, 그러나 본질적으로 같은 리듬의 반복이지요.


어쩌면 지겨울 수도 있습니다.
하지만 매일 다른 환자, 다른 케이스, 다른 사연 속에서 질병이 회복되고, 웃음이 돌아오는 장면을 마주할 때면 그 안에는 다른 감동이 있고, 때로는 슬픔과 우울, 그리고 확실하고 다양한 보람이 있기도 합니다.


다음번에는 ‘치과 보철의 정밀성’을 주제로 써보려 합니다.
치열하게 아름답고, 동시에 한 치의 오차도 허용하지 않는
정확한 보철물을 만들어내는 과정을 묘사해 보겠습니다.