잊고 지낸 치석 한 알, 심장을 겨누는 화살

내 입속의 작은 돌덩이가 온몸에 보내는 붉은 신호

by 건강한 이야기

거울 앞에서 환하게 웃어 보일 때, 치아 구석에 조용히 자리 잡은 딱딱한 치석을 발견하곤 합니다. 누구나 한 번쯤은 "바쁘니까 다음에 하지 뭐"라며 치과 예약을 미루고, 대수롭지 않게 일상을 이어갔던 경험이 있을 거예요.


어린 시절, 치과 특유의 소독약 냄새가 무서워 부모님 뒤로 숨으며 충치만 없기를 간절히 기도했던 기억이 선명합니다. 그때는 그저 입안의 청결 문제라고만 믿었던 이 작은 침전물들이 우리 몸 전체를 뒤흔드는 씨앗이 될 줄은 미처 몰랐었죠.


단순히 지저분해 보이는 것을 넘어, 치석을 방치하는 것이 심장이나 뇌 건강까지 위협할 수 있다는 사실이 알려지면서 평범했던 양치 시간이 사뭇 진지해졌어요. 당연하게 누리던 건강한 미소가 어느덧 세심한 관리 없이는 지켜내기 어려운 귀한 가치가 되어버린 현실을 마주하게 됩니다.


혈관을 타고 흐르는 보이지 않는 습격과 차가운 기록

the-dangers-of-neglecting-tartar-1.jpg

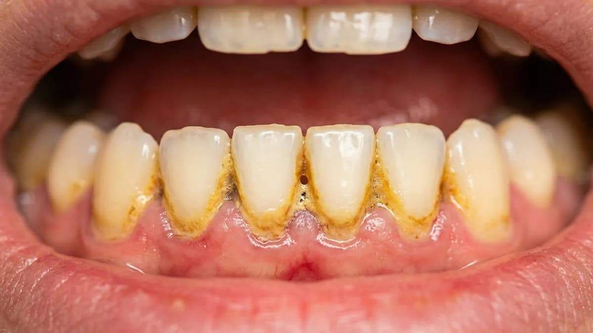
치석은 단순히 음식물 찌꺼기가 굳은 것이 아니라, 표면의 미세한 구멍마다 수많은 세균이 밀집해 살고 있는 거대한 요새와 같습니다. 이 요새 속 세균들이 뿜어내는 독성 물질은 우리 잇몸의 연약한 혈관을 타고 몸 구석구석으로 여행을 떠나기 시작해요.


실제로 치주 질환을 방치한 사람들은 심근경색이나 뇌졸중 같은 심혈관 질환에 걸릴 위험이 유의미하게 높다는 연구 결과들이 차곡차곡 쌓이고 있습니다. 입속의 작은 염증이 피를 타고 전신을 돌며 우리 면역계를 자극하고, 혈관의 상태를 조금씩 무너뜨리고 있다는 통계는 참으로 서늘한 경고처럼 다가옵니다.


결국 주기적인 스케일링을 미루는 사소한 습관이 장바구니 물가보다 무서운 전신 질환의 위협으로 돌아와 우리 삶의 질을 떨어뜨릴 수 있습니다. 보이지 않는 곳에서 조용히 증식하는 세균들의 이동 경로를 차단하는 일은 이제 선택이 아닌 필수가 되어버렸어요.


팩트 이면의 가치와 통찰

the-dangers-of-neglecting-tartar-3.jpg

스케일링 직후에 느껴지는 시큰함이나 치아가 흔들리는 듯한 낯선 기분은 사실 우리 몸이 다시 건강해지기 위해 애쓰는 치열한 회복의 과정입니다. 두꺼운 치석 옷을 벗어던진 치아 뿌리가 차가운 공기에 잠시 놀란 것일 뿐, 잇몸이 다시 단단해지기 위한 기분 좋은 진통인 셈이죠.


입속을 깨끗이 비워내는 행위는 단순히 치아를 닦는 것을 넘어, 내 몸의 고속도로인 혈관을 정화하고 전신의 활력을 되찾아주는 숭고한 관리입니다. 아삭한 사과를 베어 물 때의 즐거움과 사랑하는 사람과 나누는 향긋한 대화는 바로 이 작은 실천에서부터 시작된다는 점이 무척이나 감동적입니다.


치석을 억지로 긁어내려다 오히려 상처를 입히기보다 전문가의 섬세한 손길에 내 몸을 맡기는 그 짧은 시간은 나를 진심으로 아끼는 태도와 같습니다. 정기적인 검진표를 볼 때마다 느껴지는 귀찮음 뒤에, 내 심장과 뇌를 지키겠다는 굳은 다짐이 서려 있다는 생각에 코끝이 찡해지기도 합니다.


여운을 남기는 따뜻한 권유

the-dangers-of-neglecting-tartar-4.jpg

거대한 질병의 파도와 환경의 변화 속에서 우리가 스스로를 지킬 수 있는 방법은 생각보다 거창하거나 멀리 있지 않습니다. 나를 위협하는 입속의 작은 돌덩이들을 제때 걷어내는 소박한 관심만으로도, 우리는 훨씬 더 건강하고 풍요로운 내일을 맞이할 수 있으니까요.


의료용 도구가 전하는 날카로운 소리를 두려워하기보다는, 그것이 내 혈관을 깨끗하게 청소해주는 고마운 선율이라고 마음을 바꿔보는 건 어떨까요. 거창한 건강 보조제를 찾는 대신, 지금 내 잇몸이 보내는 작은 신호에 귀를 기울이고 소중히 보살펴주고 싶은 마음이 간절해집니다.


오늘 당장 치과 수첩을 꺼내어 잊고 지냈던 예약 날짜를 잡고, 정성스러운 칫솔질로 나 자신에게 다정한 안부를 전해보세요. 깨끗해진 입안으로 들이마시는 상쾌한 공기 한 모금이, 당신의 온몸을 타고 흐르는 가장 따뜻하고 건강한 에너지가 되어줄 것입니다.


https://be1news.co.kr/news/how-to-easily-and-quickly-make-crab-stew-at-home/

https://be1news.co.kr/news/cooking-rice-in-a-pot-when-your-rice-cooker-breaks-down/

https://be1news.co.kr/news/how-to-make-pork-kimchi-and-soybean-paste-stew/

https://be1news.co.kr/news/recipe-for-braised-quail-eggs-with-cheongyang-chili-peppers/

https://be1news.co.kr/news/how-to-quickly-make-quick-pickled-napa-cabbage-at-home/


작가의 이전글지워지는 기억을 붙잡는 힘, 마인드 식단이 건네는 위로