brunch

뇌졸중 후 ‘실어증’ 치료하면
다시 말할 수 있어

by 힐팁
강동경희대병원219_실어증1.jpg

뇌졸중 후 ‘실어증’ 치료하면 다시 말할 수 있어

#. 우측 팔에 마비가 있는 뇌졸중 환자 박 모 (69‧남)씨. 평소 무표정하고 의기소침해 있다. 뇌졸중 후 찾아온 ‘실어증’ 때문이다. 누군가 박 씨에게 “안녕하세요”라고 말을 건네면 화답을 하려고 하지만 “으으”하며 말이 나오지 않아 대화를 포기한다. 가족은 혹시 치매가 겹친 건 아닌지 걱정이 많다. 박 씨의 이 같은 증상은 과연 치료가 가능할까.


▶좌측 뇌세포 손상되면 실어증 나타날 수 있어

1.jpg

뇌졸중은 매우 응급을 필요로 하는 질환입니다. 뇌에 혈류 공급이 중단되면 빠른 시간 안에 뇌세포가 죽고, 돌이킬 수 없는 결과를 초래하기 때문입니다.


뇌졸중으로 언어를 담당하는 뇌의 좌측 세포가 손상을 받으면 ‘실어증’이 나타날 수 있습니다. 국립실어증협회(National Aphasia Association)에 따르면, 실어증은 뇌졸중에서 회복된 환자의 25~40%에서 나타날 정도로 매우 흔한 합병증입니다. 실어증은 뇌졸중 발생 후 3~6개월에 가장 많이 회복되지만 6개월 이후에도 치료가 가능합니다.


▶자기장‧전기 이용한 두뇌 자극, 실어증 치료 효과 확인

2.jpg

최근에는 언어기능이 저하된 환자에게 자기장을 반복적으로 자극하는 경두개자기자극(rTMS)이나 직류전기자극을 실시해 실어증을 적극적으로 치료합니다.


경두개자기자극(rTMS)은 전자기코일로 발생시킨 자기장을 이용해 뇌의 특정 부위를 자극해 신경세포를 활성화시키는 비수술적 뇌자극법입니다. 자기장의 자극 빈도를 조절해 대뇌피질의 활성도를 높이거나 낮출 수 있습니다.


강동경희대병원 재활의학과 유승돈 교수팀은 2016년부터 20명의 뇌졸중 후 실어증 환자를 대상으로 확산텐서영상(tractography)과 기능적자기공명영상(fMRI)을 촬영해 언어 이해력 실어증 점수 변화와 좌측 언어 뇌의 설상속(arcuate fasciculus, 언어이해와 언어표현을 연결시켜 주는 부위)의 언어영역의 크기 변화가 양의 상관관계가 있다고 밝혔습니다.


또 경두개자기자극을 실시한 최근의 메타분석 결과에서 가짜(sham) 뇌자극과 비교해 rTMS치료군에서 실어증 개선 정도가 통계적으로 유의하게 큰 효과를 나타내서(standardized mean difference=1.26, 0.80~1.71, 95% CI) 실어증 환자에게 언어치료와 함께 시행할 수 있는 중요한 비침습적 치료법으로 확인됐습니다.


최근 뇌인지 재활의학 및 영상기법이 발전했습니다. 때문에 초기에 정확하게 실어증을 진단하고 언어재활치료‧약물치료‧뇌자극치료라 등 통합적 접근을 통해 언어장애를 최소화하는 것이 중요합니다.


▶손상 영역별로 증상 달라‧‧‧치매와 구분해야

3.jpg

뇌졸중 후의 실어증은 크게 베르니케 실어증과 브로카 실어증으로 나눕니다. 베르니케 영역은 좌측 측두엽에 있으며, 언어의 의미를 이해하는 기능을 담당합니다. 이 부분이 손상되면 말은 유창하게 하는 것이 가능하지만, 의미를 이해할 수 없는 단어를 나열하는 경우가 많습니다. 또 남의 말을 잘 이해하지 못합니다.


브로카 영역은 좌측 전두엽에 있습니다. 이곳에 문제가 생기면 제대로 말을 하거나 쓰는데 문제가 생깁니다. 베르니케 실어증과 반대로 남의 말을 이해하는 데에는 큰 문제가 없지만 말수가 적어집니다.


실어증은 뇌졸중 후 발생하는 혈관성치매나 우울증, 알츠하이머병과 다릅니다. 기억력에는 문제가 없지만 말로 의사소통하는 능력을 잃어버린 상태입니다. 영화로 치면 영상은 돌아가지만, 자막이나 음성파일은 깨져 그 내용을 알 수 없는 것과 같습니다.


▶발생 후 초기 3개월 조기 치료 중요

4.jpg

실어증은 완치는 어렵습니다. 하지만 충분히 대화가 가능하려면 뇌졸중 후 첫 3개월간 조기부터 치료가 이뤄져야 합니다. 특히 치료 횟수와 치료 시간에 비례해 효과 여부가 결정되기 때문에 적극적인 언어치료가 중요합니다.


실어증이 심한 환자는 손상되지 않은 우측 뇌의 음악정보 처리 기능을 이용하는 멜로디 억양치료(melodic intonation therapy)를 사용할 수 있습니다. 발성, 대화 기술, 읽기 능력을 향상시켜서 환자가 대화할 수 있도록 합니다. 언어치료와 함께 언어 기능을 활성화하는 약물도 사용합니다.


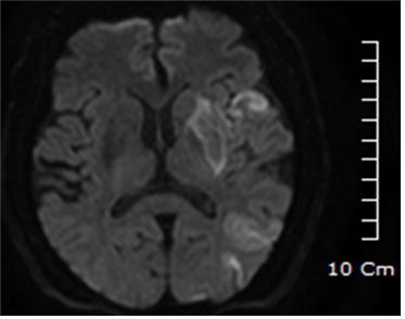
noname01.jpg

사진1. 69세 남성 환자. 사진 상 오른쪽의 하얗게 밝은 부위가 언어 중추에 생긴 뇌경색


noname02.jpg

사진2. 69세 남성 환자의 확산텐서영상(tractography). 파란색은 정상 뇌의 언어 신경로이며, 붉고 가늘게 보이는 선은 손상 부위의 언어신경 경로


noname03.jpg

사진3. 반복 경두개 자기자극 치료(rTMS)


도움말 : 강동경희대병원 재활의학과 유승돈 교수

keyword
힐팁 건강 분야 크리에이터 직업 에디터 프로필
구독자 518