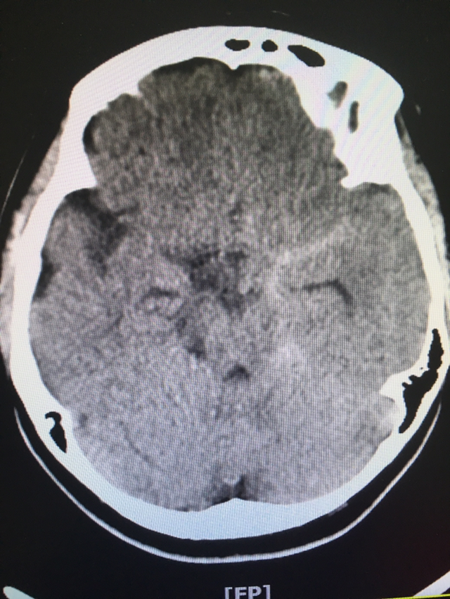
역시나 출혈
지주막하출혈 CT
by
하일우
Apr 30. 2017
극심한 두통을 호소해
신경외과로 입원시킨 여인의 CT다.
미심쩍었던 부위가
지주막하출혈로 확인됐다.
겪은 만큼 알게 되고,
아는 만큼 보인다.
keyword
신경외과
지주막하출혈
두통
작가의 이전글
조촐하게 홀짝
구두 보트
작가의 다음글