사인 탐색

by 하일우


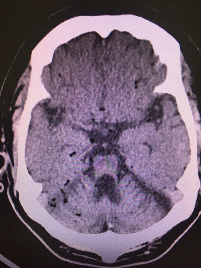
소뇌 위축증 앓았다는 60세 남성. CSI와 함께 응급실에 내원하였다. 엎드려 숨진 채 발견됐단다. 뇌출혈 여부 확인차 brain CT를 진행하였다.



출혈은 없으나 뇌에 구멍이 송송 뚫렸다. 사후 부패 과정에서 생긴 흔적으로 추정된다. 공기색전증 가능성도 완전히 배제할 순 없지만 가능성은 떨어진다.


sticker sticker

아무쪼록 고인의 명복을 빈다.

작가의 이전글말투와 전투