목디스크 팔저림 손저림 손목 문제랑 차이점 3가지

<직접 치료해본 의사>가 설명드림

by 콕 선생님

어제도 또 한 분이 이렇게 물어보셨습니다.

손목이 아픈데 왜 목을 보시는 거예요?

사실 저도 처음 이 일을 시작할 때는

이런 반응이 조금 당황스러웠는데요.

이제는 이런 질문이 나올 때마다

아, 드디어 제대로 된 치료를 받으시는구나

하고 마음속으로 생각합니다.


안녕하세요.

목디스크 환자분들을 하루에 몇 명이나 보는지 모르겠습니다.

이 환자분들은 전부 각자의 고충을 가지고 있는데요.

특히 손저림 팔저림이 심하면 목디스크가 맞는지,

긴가민가하신 채로 오시는 것 같아요.


이런 환자분들에게 진실을 알려드리고 싶은

콕통증의학과 현역 전문의 김환희 원장입니다.


그림1.png

오늘은 최근에 있었던

정말 인상 깊었던 환자분 사례를 통해

목디스크 팔저림, 목디스크 손저림이

왜 생기는지, 그리고

손이 찌릿찌릿한 증상을

어떻게 근본적으로 해결할 수 있는지

허심탄회하게 풀어보려고 합니다.

50대 여성, 밤잠을 설치게 만든 그 통증

며칠 전 저희 콕병원에

50대 중반 여성분이 오셨어요.

첫 만남부터 얼굴에 피로가 가득했는데

말씀을 들어보니 이유가 있더군요.

몇 달째 팔저림과 손저림, 손목통증이 너무 심해서

밤에 잠을 제대로 잘 수가 없다고 하시는 거예요.



특히 새벽 2-3시쯤이면 손이 찌릿찌릿하면서

깨어나시는 일이 반복되고 있다고요.

이미 다른 병원에서

손목터널증후군 진단을 받으셨다고 하시면서

주사치료도 몇 번 받아보셨는데

오히려 점점 더 심해져서 저희를 찾아오신 거였습니다.

사실 이런 경우를 정말 많이 봅니다 ㅠㅠ

환자분들은 손목이 아프니까

당연히 손목에 문제가 있을 거라고 생각하시고

의료진도 증상만 보고

손목터널증후군이라고 진단하는 경우가 많거든요.


그림2.jpg [진료실을 가득 채운 환자들에게 좋은 결과를 드리고 싶습니다. 항시 노력하겠습니다.]


하지만 제가 10년 넘게 통증의학과에서

수많은 환자분들을 만나보면서 깨달은 건

통증이 나타나는 부위와

실제 문제가 있는 부위는

다를 수 있다는 점입니다.

진짜 범인은 따로 있었다


환자분과 상담을 진행하면서

몇 가지 의심스러운 점들을 발견했어요.

✅ 손목 뿐만 아니라 팔 전체에 저림 증상

✅ 특히 새벽에 심해지는 패턴

✅ 손목 주사치료 후 오히려 악화

✅ 목과 어깨 결림도 함께 호소

이런 증상들을 종합해보니

단순한 손목터널증후군보다는

목디스크를 의심해볼 필요가 있겠더라고요.

그래서 환자분께 초음파검사와 X-ray,

그리고 목디스크 감별진단을 제안했습니다.

처음엔 환자분이 조금 의아해하시더라고요.

손목이 아픈데 왜 목을 검사하냐고 ;;

하지만 제가 강하게 설득했고,

환자분은 반신반의 상태로 검사를 진행했죠.

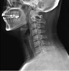
검사 결과는 제 예상이 맞았습니다.


그림3.png 촬영 일시: 2025.03.04


<Fig 1. 목 X-Ray 영상>

손목터널증후군이 아닌

목디스크로 인한 신경근 압박이

팔저림과 손저림의 진짜 원인이었던 거죠.

목이 안 아픈데 목디스크라고요?

검사 결과를 설명해드릴 때

환자분이 가장 의아해하신 부분이 바로 이거였어요.

목은 별로 안 아픈데 목디스크가 맞나요?

이게 바로 목디스크의 교묘한 점입니다.

목디스크는 항상 목이 아픈 증상으로만

나타나는 것이 아니거든요.

목 부위의 디스크가 신경을 압박하면

그 신경이 지배하는 부위인

팔과 손에 증상이 나타날 수 있어요.

이를 의학용어로 '연관통'이라고 하는데

실제 문제 부위는 목이지만

증상은 팔과 손에서 느끼게 되는 거죠.


그림4.png 출처: physiopedia


환자분께 이 부분을 차근차근 설명해드리니

그제야 이해하시면서 치료에 동의해주셨어요.

저희 콕병원에서는

목디스크로 인한 팔저림, 손저림에

CI(C-arm Intervention) 주사치료를 사용합니다.

간단히 말씀드리면

C-arm이라는 장비를 이용해

목디스크 부위의 압박을 해소하고

염증을 줄여주는 치료법이라고 보시면 됩니다.

환자분은 CI 주사치료를 받으신 후

정말 놀라운 변화를 보이셨어요.

치료 2주 차부터 새벽에 깨는 일이 줄어들기 시작했고

4주 차에는 손이 찌릿찌릿한 느낌이

확실히 덜해졌다고 하시더라고요.


그림5.jpg

6주 정도 지나니까

밤에 푹 잘 수 있게 되었다며

정말 환한 표정으로 진료실에 오시는 모습을 보고

저도 덩달아 기분이 좋아졌던 기억이 나네요 ^^

진료실에서 느낀 점들

이 환자분을 치료하면서 다시 한번 느낀 건

정확한 진단이 얼마나 중요한지였습니다.

만약 계속 손목터널증후군으로만 접근했다면

아마 몇 년을 더 고생하셨을 수도 있거든요.

실제로 목디스크로 인한 팔저림인데

손목만 계속 치료받다가

저희한테 오시는 분들이 정말 많아요.

그분들을 볼 때마다

조금 더 일찍 정확한 진단을 받으셨으면

덜 고생하셨을 텐데 하는 아쉬움이 들어요.

목디스크 팔저림, 이런 특징이 있어요

제가 지금까지 수많은 목디스크 환자분들을

진료해보면서 발견한 공통적인 특징들이 있는데요.

1️⃣ 밤이나 새벽에 증상이 심해짐

자는 동안 목의 자세가 바뀌면서

디스크 압박이 더 심해지기 때문이에요.

2️⃣ 한쪽 팔에만 증상이 나타남

보통 디스크가 한쪽으로 튀어나오기 때문에

증상도 한쪽에만 나타나는 경우가 많습니다.

3️⃣ 팔을 들어올리면 증상이 호전됨

신경 압박이 일시적으로 해소되기 때문이에요.

4️⃣ 목을 특정 방향으로 돌리면 증상 악화

디스크 압박이 더 심해지는 자세가 있거든요.

이런 특징들이 있다면

단순한 손목 문제가 아닐 가능성이 높으니

꼭 목디스크에 대한 정확한 검사를 받아보시기 바랍니다.


그림6.png

손목터널증후군과 목디스크, 어떻게 구분할까?

사실 일반인 입장에서는

이 둘을 구분하기가 쉽지 않아요.

둘 다 손이 저리고 아프니까요 ㅠㅠ

하지만 몇 가지 차이점이 있습니다.

손목터널증후군의 경우

✅ 주로 엄지, 검지, 중지 부위에 증상

✅ 손목을 굽히거나 펼 때 악화

✅ 손목 부위를 두드리면 저림 유발

목디스크 팔저림의 경우

✅ 팔 전체 또는 새끼손가락 쪽까지 저림

✅ 목을 움직일 때 증상 변화

✅ 팔을 들어올리면 일시적으로 호전

물론 이런 차이점들도 개인차가 있을 수 있어서

정확한 진단을 위해서는 반드시 전문의의 검사가 필요합니다.

앞서 말씀드린 환자분의 경우

다행히 비교적 빨리 저희를 찾아오셔서

6주 만에 좋은 결과를 볼 수 있었는데요.

만약 계속 잘못된 치료를 받으셨다면

증상이 더 악화되었을 수도 있어요.

목디스크로 인한 신경 압박이 오래 지속되면

신경 손상이 더 진행될 수 있고

그렇게 되면 치료도 더 어려워지거든요.


그림7.png

그래서 저는 항상 환자분들께

증상이 있으면 너무 오래 참지 마시고

빨리 정확한 진단을 받아보시라고

말씀드리고 있어요.

만약 지금 손이 찌릿찌릿하거나

팔저림, 손저림으로 고생하고 계신다면

한번쯤은 목디스크를 의심해보시고

정확한 검사를 받아보시기 바랍니다.

물론 모든 팔저림이 목디스크는 아니지만

적어도 정확한 원인을 찾아서

근본적인 치료를 받으실 수 있도록

최선을 다해 도와드리겠습니다.

통증으로 밤잠을 설치시는 분들이

다시 편안한 잠자리를 찾으실 수 있도록

저희가 함께하겠습니다 ^^

김환희 드림



매거진의 이전글갑작스런 어지럼증? 노인 어지러움 원인 치료했습니다