brunch

기침하는데 컹컹 소리가 나요

크룹 / 크루프 / 후두염

이틀 전부터 콧물, 기침, 미열이 있어서 어제 동네 소아과에 가서 감기약을 받아왔습니다.

그런데 새벽 2시, 자던 아가 숨소리가 거칠어지는 듯하더니, 기침을 하는데 컹컹 소리가 나고 우는데 목소리가 잔뜩 잠겨 있습니다.

이러다가 갑자기 기도가 막혀서 숨을 못 쉬는 건 아닌가 걱정되네요.


1~3일 전 감기 증상을 보이던 환아가 컹컹거리는 기침 (barking cough - 개 짖는 소리의 기침), 쉰 목소리, 숨을 들이마실 때 힉-힉- 협착음이 들리는 경우를 크룹(크루프, Croup)이라고 하며,

정확한 분류로는 약간 다르긴 하지만, 설명하기 쉽게 후두염이라고도 합니다.


3개월에서 5세 사이에 많이 발생합니다.

원인은 대부분 파라인플루엔자 바이러스라서, 보통 가족 중에 감기 증상을 보이는 사람이 있습니다.

(5세 이상의 소아 또는 성인은 파라인플루엔자 바이러스에 감염되더라도 대부분 감기 증상 정도에서 끝나는 경우가 많습니다.)

증상은 주로 밤에 있고, 보채고 울면 더 악화되며, 환아는 누워있으면 숨이 차서 보통 앉아있는 걸 선호합니다.

a.png 크룹, 크루프, 후두염


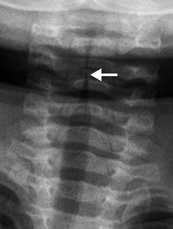
b.png 크루프의 x-ray

x-ray를 찍으면 전형적인 성대 하부의 좁아진 소견이 관찰됩니다.


차가운 밤공기가 증상을 완화시킨다는 보고가 있고, 실제로 응급실로 오는 도중에 차가운 밤공기를 맞으면서 좋아져서 오기도 합니다.

하지만, 일부러 치료 도중 차가운 공기에 노출시키거나, 가습 장치를 사용하는 건 호전에 도움이 되지 않는 것으로 밝혀졌습니다.


에피네프린의 흡입 요법 (네뷸라이저)이 증상 완화를 위한 가장 좋은 방법입니다.

효과는 2시간 정도이므로, 흡입 요법이 끝나고 3시간 후에 다시 증상이 시작되진 않는지 관찰이 필요합니다.


대부분 1주 이내로 증상이 완화됩니다.

급성 호흡곤란 증상이 없다면, 증상 조절을 위한 감기약 복용 정도를 유지하며 지켜보면 됩니다.


그렇다면, 컹컹거리고 목이 쉰 아이를 바로 소아과나 응급실에 데려가는 게 맞을까요?


결론은,

네, 지금 걸린 감기 이후로 증상이 나타난 게 처음이라면, 바로 병원에 가는 게 맞습니다.


대부분의 크룹이 실제 호흡곤란으로 이어지는 경우는 많지 않지만, 만에 하나 호흡곤란으로 넘어가게 되었을 때 병원이 아닌 곳에서 대처하기란 너무 어렵습니다.

크룹과 비슷한 증상인, 경과가 훨씬 나쁜 많은 다른 질환들 (후두개염, 기도 폐쇄, 중증 감염증 등)을 보호자가 바로 감별하는 것 역시 쉽지 않습니다.


그래서, 증상이 처음 나타난 경우라면 일단 소아청소년과 전문의가 있는 병원이나, 응급실을 방문하시는 게 좋습니다.

의사의 진료 후 크룹이 맞고, 경과가 나쁘지 않다면, 약을 복용하며 지켜보셔도 됩니다.


https://blog.naver.com/bigdot17/222909605345

keyword
매거진의 이전글열나던 아이가 경련을 해요.