모세혈관을 들여다보기 시작했다

3D 영상기술로 심부전, 암 등 초기 진단

by 사이언스타임즈

우리 인체에는 400억 개가 넘는 모세혈관이 있다. 혈관의 99%가 모세혈관이라고 보면 된다.


이 혈관들은 심장 → 대동맥 → 동맥 → 세동맥을 통해 흘러나온 혈액을 더 가늘게 쪼개 그 안에 들어있는 산소와 영양분을 인체 조직에 공급하는 일을 한다.

사람의 신진대사를 좌우하는 매우 중요한 역할이다. 그러나 모세혈관의 이런 중요한 역할에도 불구하고 과학자들은 모세혈관이 너무 가늘어 그 안에서 어떤 일이 이루어지고 있는지 그 세부적인 내용을 밝혀내지 못하고 있었다.

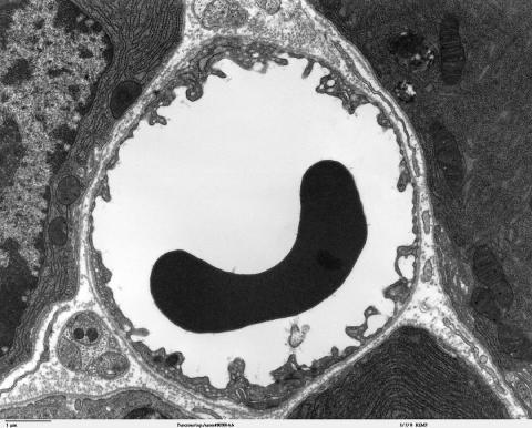
1024px-A_red_blood_cell_in_a_capillary_pancreatic_tissue_-_TEM.jpg

과학자들이 첨단 장비를 적용해 그동안 5~10 미크론 직경의 모세혈관 내 혈류 활동을 밝혀내기 시작했다. 불치병 조기 진단에 사용될 것으로 예상돼 의료계의 관심이 집중되고 있다. ⓒWikipedia


5미크론 혈관, 3D 영상으로 재현


그러나 최근 3D 영상, 분광 기술 등 빛을 파악할 수 있는 첨단 분석 장비들이 등장하면서 오래 동안 숨겨져 왔던 모세혈관의 비밀이 밝혀지고 있다.

25일 ‘메디컬 엑스프레스(Medical Xpress)’ 지는 미국 노스웨스턴 대학 연구팀이 새로운 영상 장비를 이용해 모세혈관을 통해 흐르는 혈액을 촬영하는데 성공했다고 전했다. 아울러 이미지 분석을 통해 혈액 순환기관 내부 활동을 들여다보는데 성공했다고 보도했다.

이번에 사용된 장비는 ‘분광 광영상단층촬영(SC-OCTA, Spectral Contrast Optical Coherence Tomography Angiography) 기기’다.

analysis-2030266_960_720.jpg

최근 3D 영상, 분광 기술 등 빛을 파악할 수 있는 첨단 분석 장비들이 등장하면서 오래 동안 숨겨져 왔던 모세혈관의 비밀이 밝혀지고 있다. ⓒ Pixabay


연구를 이끈 바딤 백크먼(Vadim Backman) 교수의 말에 따르면 장비 안에 투입된 3D 영상기술을 통해 모세혈관 내의 미묘한 변화를 감지할 수 있으며, 그 변화를 통해 질병을 예방할 수 있다.


모세혈관의 굵기는 5~10 미크론(100만분의 1m)다. 너무 가늘어 적혈구 세포가 하나 정도 겨우 흘러갈 정도다.

연구진은 이렇게 가는 모세혈관을 들여다보기 위해 분광학(spectroscopy) 기술을 사용했다. 기존의 OCTA에 다양한 종류의 빛 파장, 다양한 색상의 분광을 주사해 모세혈관 내에서 어떤 일이 일어나고 있는지 시각적인 파악을 하려고 시도했다.

그리고 모세혈관 내에서 일어나고 있는 다양한 움직임에 대한 3D 영상을 획득할 수 있었다.

백크먼 교수는 “기존의 음파탐지 기능에 머물렀던 OCTA 기능에 3D 시각적 영상 재현 기능을 추가해 모세혈관 내 변화를 정밀하게 탐지할 수 있는 첨단 ‘SC-OCTA’를 만들어내는 데 성공했다”고 밝혔다.

head-663997_960_720.jpg

기존의 음파탐지 기능에 머물렀던 OCTA 기능에 3D 시각적 영상 재현 기능을 추가해 모세혈관 내 변화를 정밀하게 탐지할 수 있는 첨단 ‘SC-OCTA’를 만들어내는 데 성공했다. ⓒ Pixabay


“조기 진단에 없어서는 안 될 중요한 장비”


이번 연구 결과가 주목받고 있는 것은 ‘SC-OCTA’가 두통에서부터 혈액과 관련된 심부전 질환, 암과 같은 불치병에 이르기까지 다양한 질병 초기 상황을 미리 파악할 수 있기 때문이다.

연구논문은 지난 주 ‘네이처’ 자매지인 ‘과학과 응용(Light: Science and Applications)’ 지에 게재됐다. 논문 제목은 ‘Spectral contrast optical coherence tomography angiography enables single-scan vessel imaging’이다.

논문에 따르면 그동안 의료진은 인체 내 정밀 촬영을 위해 광영상단층촬영(OCTA)이라는 방법을 활용해왔다. 움직임을 스캐닝 해서 음파 정보들을 포착한 후 두 가지 이상의 데이터를 비교해 세부적인 상황을 분석해나가는 방식이다.

연구팀은 이 OCTA에 분광대조(spectral contrast) 방식을 추가했다. 그리고 가시광선을 이용해 모세혈관 내 세밀한 움직임을 들여다보는데 성공했다.

anatomy-160524_960_720.png

이번 연구 결과가 주목받고 있는 것은 ‘SC-OCTA’가 두통에서부터 혈액과 관련된 심부전 질환, 암과 같은 불치병에 이르기까지 다양한 질병 초기 상황을 미리 파악할 수 있기 때문이다. ⓒ Pixabay


백크먼 교수는 “분광대조가 추가된 ‘SC-OCTA’를 통해 모세혈관 내에서 혈류(blood flow), 산소공급(oxygenation) 과정, 신진대사율(metabolic rate) 등의 변화를 분자 수준에서 분석하는데 성공했으며, 혈액뿐만 아니라 림프관, 조직식별 등의 분석이 가능하다”고 말했다.


그동안 과학자들은 도플러 초음파(Doppler ultrasound)를 이용해 동맥과 정맥 안을 들여다보았다. 고주파의 음파를 보내 그 반응을 보고 혈류의 변화를 분석하는 방식이다.

그러나 이 기술로는 심장에서 모세혈관에 이르는 모든 순환기관 내의 변화를 감지할 수 없었다. 특히 인체 조직에서 이산화탄소를 배출하고 산소를 공급하고 있는 모세혈관이 어떻게 일을 하고 있는지 분석하는데 한계를 노출하고 있었다.

이런 상황에서 혈류산소(blood oxyge) 측정에 의한 조기 진단이 불가능해 심부전증 같은 난치병 예방이 불가능했다.

교수는 “모세혈관과 같은 미세한 혈관 내에서 이루어지는 혈류 활동 상황은 인체 건강을 파악하는데 없어서는 안 될 매우 중요한 요소지만 분석 기능이 미비해 정확한 진단이 어려웠다”고 말했다.

“그러나 이번에 분자 수준의 3D 차원의 혈류 분석이 가능한 ‘SC-OCTA’를 개발함으로써 초기 질병을 진단하는데 큰 진전을 보게 됐다”며, “향후 이 장비가 의료계에 없어서는 안 될 중요한 진단장비가 될 것”이라고 말했다.

이강봉 객원기자


기사원문:

https://www.sciencetimes.co.kr/?news=%eb%aa%a8%ec%84%b8%ed%98%88%ea%b4%80%ec%9d%98-%eb%b9%84%eb%b0%80%ec%9d%b4-%eb%b0%9d%ed%98%80%ec%a7%84%eb%8b%a4

keyword
매거진의 이전글현실 같은 증강현실 게임이 가능할까?