다 이유가 있다.

운까지 나빴다.

by 빛나리의사

“2년 전에, 마지막으로 폐 CT 찍으셨네요. 보자. 그때 6개월 후에 오라고 했는데 안 오셨네요.”


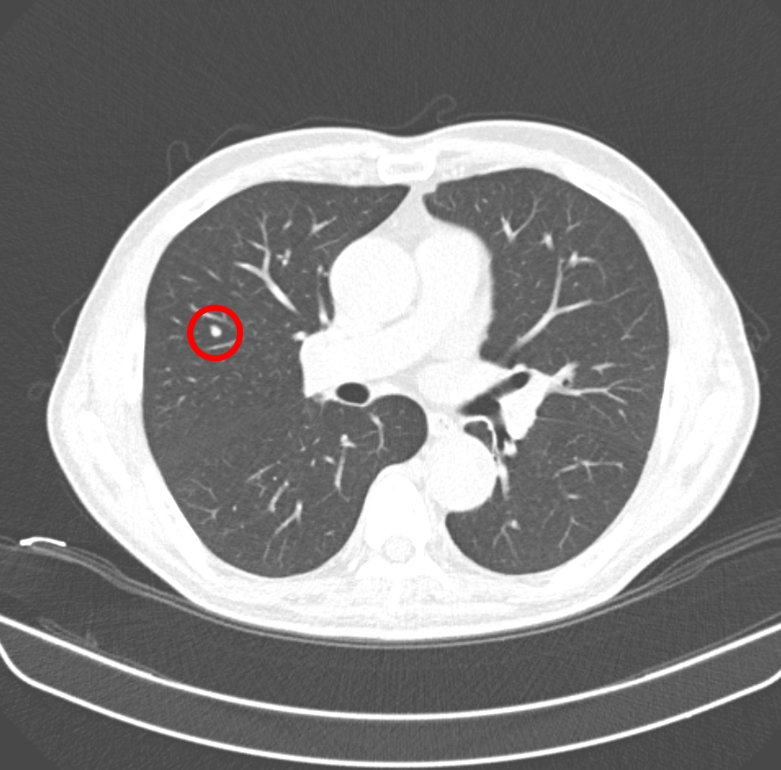
<category 3의 결절. 암일 가능성 1~2%>

60세 김성훈 환자와 상담 중에 나는 이전 결과를 보다 말끝을 흐렸다. 우리나라 사람은 암으로 가장 많이 목숨을 잃는다. 암 중에서는 폐암이 단연코 1위다. 담배를 피워도 안 걸릴 수도 있고, 담배를 안 피워도 걸릴 수 있다. 다만 담배를 하루 한 갑 이상 피우면 폐암에 걸릴 가능성이 대략 20배 이상 증가한다. 그래서 54세 이상 담배를 하루 한 값, 30년 이상 피운 폐암 고위험군 환자를 대상으로 국가 암 검진에 폐 CT가 포함되어 있다.

과거 판독 결과에는 CT에는 <6mm nodule, Lung-RADS category 3, 경계성 결절. 폐암일 가능성이 1~2% 있으므로, 6개월 후 폐 CT 추적 관찰>이라고 적혀 있었다. 하지만 환자는 6개월 후에 병원에 오지 않았고, 금연도 하지 않았으며, 2년 만에 왔다.


“뭐, 괜찮겠죠.”

말은 그렇게 말했지만, 마음속으로는 찝찝했다. 암일 가능성이 1~2%이면, 정상일 확률이 98~99%이다. 대부분 category 3의 결절은 6개월 후, CT를 찍으면 크기 변화가 없어 category 2로 떨어진다. 나는 환자를 촬영하러 보내고, 다른 환자를 보느라 김성훈 씨를 잊었다.


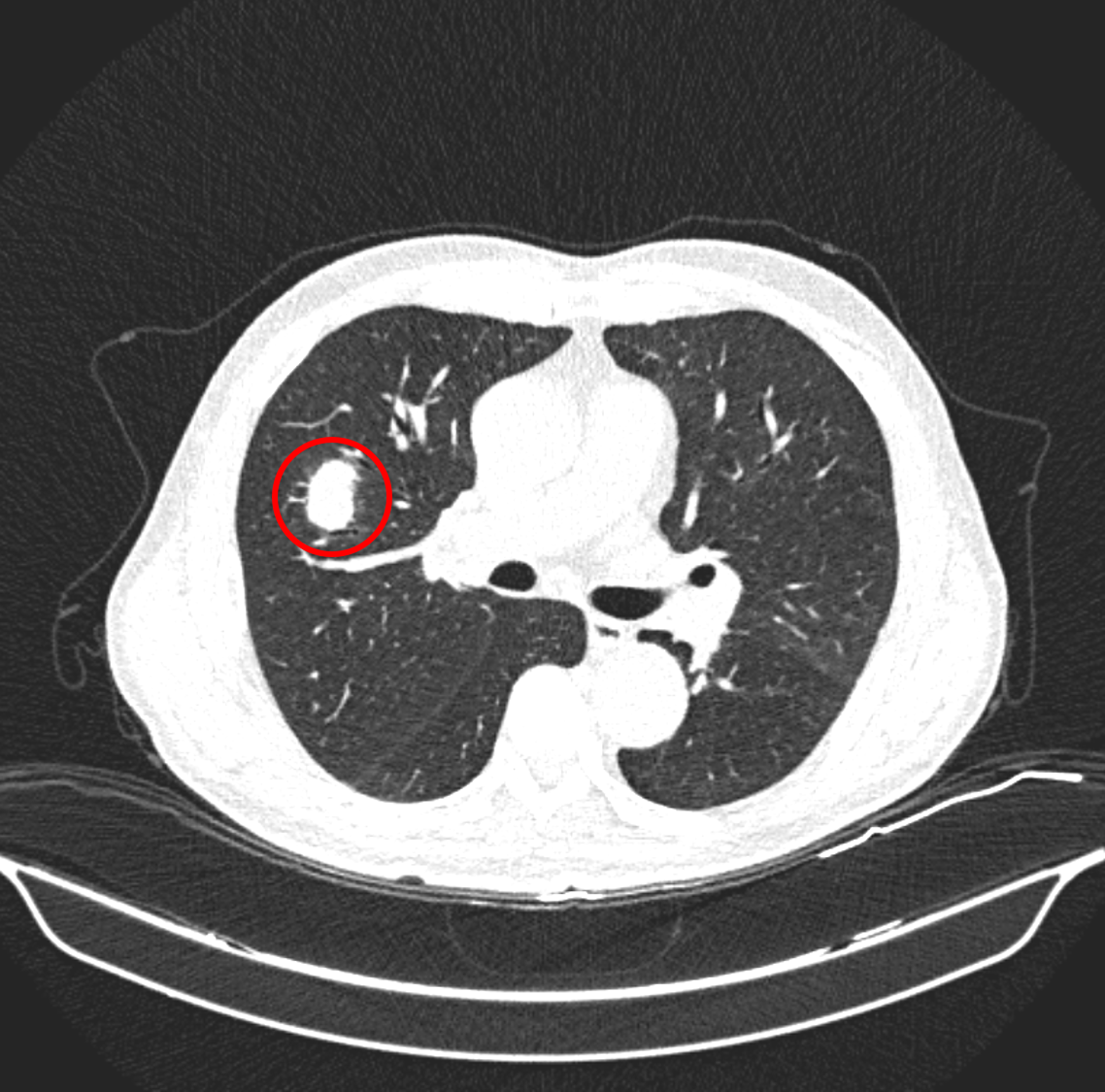
얼마나 환자를 보았을까, 잠시 숨 돌릴 여유가 생기자 김성훈 씨 CT를 확인했다. 2년 전에 6mm 크기의 결절이 2년 만에 3cm 가까이 자라 있었다. 판독은 나오지 않았지만, 폐암일 확률이 다분했다. 불행히도 김성훈 씨는 98~99%가 아니라, 1~2%에 속했다.

<2년 동안 커져버린 폐암, 4B>

나는 혹시 2년 전, 판독 및 검사 전달 과정에서 병원에서 판독 오류나 결과 통보 등에 실수가 있었을까 관련 자료를 확인했다. 폐암 검진 결과는 그대로 환자에게 전달되었다. 의사인 나는 암이 확률이 5~15%인 4A나 15% 이상인 4B의 경우, 반드시 환자에게 전화를 하여 방문하도록 설명한다. 하지만 category 3의 경우는 일단 4A나 4B에 비해 진단된 사람이 훨씬 많을 뿐 아니라, 6개월 후 폐 CT를 찍었을 때 문제가 없을 경우가 98~99%이기에 굳이 전화까지는 하지 않는다.


폐암 검진은 환자에게 병원에 방문하여 반드시 설명을 들으라고 하지만, 상당수의 환자는 검사 결과에 대한 설명을 들으러 오지 않는다. 바빠서 그럴 수도 있고, 결과가 어떤 의미인지 몰라서 그럴 수도 있고, 아프지 않으니 대수롭지 않게 여겼을 것이다. 김성훈 씨도 그중 한 명이었다.


김성훈 씨가 6개월에 폐 CT를 찍은 후, 진료를 받고 치료를 받았다면 생존율이 얼마나 올라갔을까? 폐암의 경우, 대략 1기 80%, 2기 60%, 3기 30%, 4기 10% 수준이다. 폐암을 막을 수는 없지만, 적어도 10~20% 이상 살 확률이 올라갔을 것이다.


전문가인 의사가 구체적인 시기까지 정하여 재검사를 하라고 하는 데는 다 이유가 있다. 하지만 환자는 검사를 하러 오지도 않았고, 금연도 하지 않았으며, 결정적으로 운까지 나빴다. 안타까울 따름이다.



이전 글과 이어지는 내용입니다.

https://brunch.co.kr/@sssfriend/806


매거진의 이전글건강검진만 받으면 아무 소용없다