brunch

작은 보람

관심이 차이를 만든다

by 빛나리의사


그 환자는 요양원에 있었다. 80대 초반의 여성으로, 당뇨와 고혈압, 그리고 치매를 앓고 있었다. 내 역할은 한 달에 한 번 요양원에 방문해 그녀에게 필요한 약을 처방하는 것이었다.


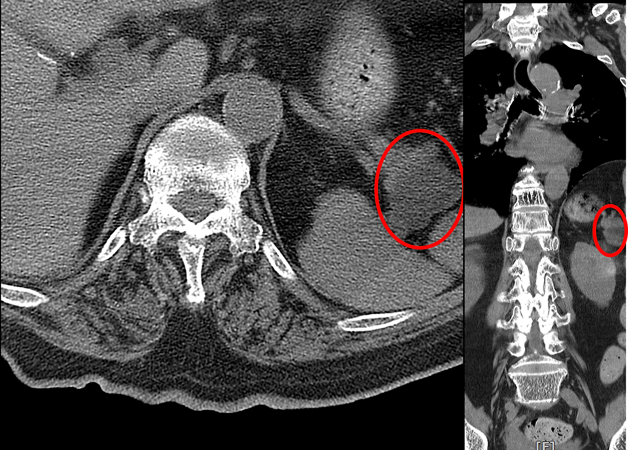
어느 날, 처방 기록을 확인하다가 우연히 병원에서의 내원 기록이 눈에 띄었다. 며칠 전 낙상으로 흉추와 요추, 그리고 골반까지 찍은 CT 사진이었다. 다행히 골절 소견은 없었다.


‘다행이네.’

'그래도 내 환자니까, 사진 한 번 꼼꼼히 볼까?'


600장이 넘는 CT 사진을 하나하나 확인하던 중, 예상치 못한 소견이 눈에 들어왔다. 췌장 꼬리 부분에 약 3.5cm 크기의 혹이 보였다. 물혹일 가능성이 높아 보였지만, 이 크기라면 그냥 넘어갈 수는 없었다. 물혹일 가능성이 높지만, 그래도 모른다. 재내원하여 정밀 검사를 권했다.


관심이 차이를 만든다. 의사의 작은 보람이다.

keyword
매거진의 이전글올해 건강검진에서 바뀌는 부분