brunch

<의학의 지역적 특성>

금빛 환상

by 빛나리의사

의학도 사람이 하는 일이라, 지역마다 특색이 있다. 결핵은 선진국에서는 드물고, 후진국에서는 흔하다. 선진국인 한국이지만, 유난히 결핵이 흔하다.


침 관련해서는 한국 의사가 전문가다. 자주 보기 때문이다.

NEJM case.png

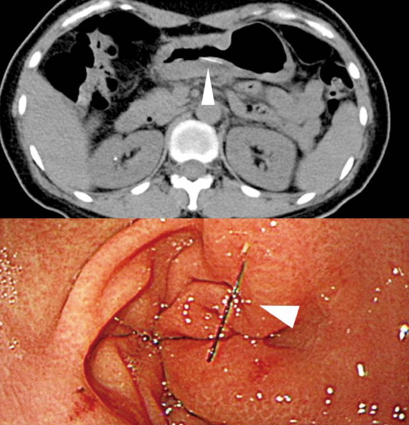
미국과 유럽 중심의 NEJM에서는 침 관련 영상이 자주 특이 케이스로 올라오지만, 한국에서는 아주 평범한 경우다. 그래도 침을 맞고 복강 내 감염음 좀 심했다. 전신 마취하에 농양 제거술을 받아야 한다.


복부.png <침이 위를 뚫은 경우>

침으로 인한 기흉은 매우 흔하고, 세균 감염으로 인한 봉와직염도 자주 본다. 심지어 위 내시경에서 침이 나오는 경우도 있다.


하지만 그 누구도 이보다 심한 경우는 보지 못했을 것이다.

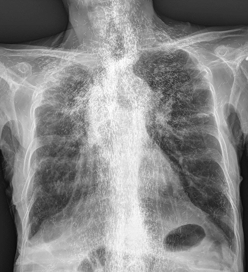
가슴2.png

금빛 인간이다.


세상은 넓고, 충격적인 일은 많다. 근데 저거 진짜 금일까?

keyword
매거진의 이전글요통 치료 가이드 라인