두려움에 강한 뇌, 그 비밀을 탐하다

탐사 리포트: 공포를 제어하는 뇌 회로를 찾아서

by 두드림

이전 글: https://brunch.co.kr/@twodreams09/174


암벽 가장자리에서 로프 없이 서 있는 사람의 심정은 어떨까요? 대부분은 아찔한 공포에 심장이 요동칠 것입니다. 그러나 세계적인 프리솔로 등반가 알렉스 호놀드는 달랐습니다. 과학자들이 그의 뇌를 fMRI로 들여다본 결과, 일반인에게선 번쩍이는 공포의 중심인 편도체가 호놀드의 뇌에서는 놀랄 만큼 잠잠했던 것입니다.


마치 두려움이라는 감정이 그의 뇌에서 스위치 오프된 듯한 모습이었습니다. 무엇이 그의 뇌를 이렇게 만들었을까요? 두려움을 잘 다루는 사람들의 뇌 구조와 기능에는 어떤 특징이 있을까요?


본 탐사 리포트에서는 호놀드의 사례를 시작으로, 공포를 감지하고 조절하는 뇌 회로의 과학적 근거를 살펴보고, 누구나 일상 속 두려움에 맞서는 데 활용할 수 있는 원칙과 훈련법을 찾아보고자 합니다.


1. “두려움이 없는 사나이” – 알렉스 호놀드의 편도체 실험


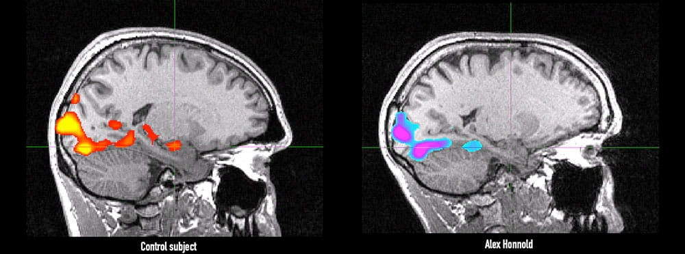
2016년, 다큐멘터리 Free Solo의 촬영 중 한 과학 저널리스트의 제안으로 알렉스 호놀드는 사우스캐롤라이나 의대(MUSC)의 뇌과학 연구실을 찾았습니다. 편도체(amygdala)의 반응을 살펴보는 실험에 참여한 것이지요.


편도체는 뇌 측두엽 깊숙이 위치한 아몬드 모양의 신경핵으로, 전통적으로 “두려움 감지기”로 알려져 있습니다. 연구진은 호놀드에게 일상적인 풍경 사진부터 끔찍한 사고 장면이나 뱀·거미 같은 공포 유발 이미지까지 45분간 연속해서 보여주며 뇌 활동을 측정했습니다.


일반 참가자라면 불쾌감을 느끼고 은근한 스트레스를 받는 시험이었지만, 호놀드는 MRI 스캐너에서 나와 한마디 했습니다. “뭐죠? 아무 느낌 없는데요?” 연구를 이끈 제인 조지프 박사는 놀랄 수밖에 없었습니다. 대조군으로 참여한 같은 또래의 평범한 클라이머조차 “별 느낌 없다”고 말하면서도 뇌 편도체는 선명히 빛을 냈건만, 호놀드의 편도체는 완전히 관성적인 – 즉 “어떠한 활동도 보이지 않을” 정도로 무반응이었던 것입니다.



41386_2021_1155_Fig1_HTML.png


Honnold brain scan.jpg


그의 뇌 스캔 화면에서 공포로 유명한 이 편도체 영역은 회색으로 잠잠하게 유지되었습니다. 마치 호놀드에게는 불안과 공포를 호출하는 뇌의 경보 시스템 자체가 꺼져 있는 것처럼 보였지요.


호놀드의 편도체 반응 결핍을 두고 연구진은 두 가지 가설을 내놓았습니다.


첫째, 애초에 호놀드의 편도체가 저활성화 상태라 자극에 둔감할 가능성입니다.

둘째, 편도체는 평소처럼 위협 신호를 보냈지만 전전두엽(frontal cortex)이 강력하게 개입해 그 신호를 진압했을 가능성입니다.


전전두엽은 인간의 이성적 판단과 충동 제어를 담당하는 뇌 부위로, 두려움 억제에 관여하는 것으로 알려져 있습니다.


조지프 박사는 “아마 그의 편도체가 아예 신호를 안 보냈을 수도 있지만, 어쩌면 전두엽 조절 능력이 워낙 뛰어나서 ‘뭐 이 정도 쯤이야’ 하며 편도체를 진정시켰을 수도 있다”고 설명했습니다.


실제로 호놀드의 사례에서는 둘 중 어느 쪽인지를 완전히 단정하기는 어렵지만, 결과적으로 극도의 침착함이라는 동일한 표현형이 나타난 것입니다.


한편 이 검사에서 호놀드가 보인 또 다른 특징은 “하이 센세이션 시커”, 즉 높은 감각 추구 성향이었습니다.


심리 설문 결과 그는 평균적인 사람보다 두 배 가까이 모험을 추구하는 성향이 높았고, 일반적인 고감각추구자들 평균보다도 20% 높은 점수를 기록했습니다. 호놀드 본인도 “크게 기뻐하거나 크게 우울해하는 일이 거의 없이 감정 폭이 좁다. 어떤 면에서는 매우 안정적인 성격”이라고 자신을 평가한 바 있습니다.


요컨대, 호놀드는 위험한 상황에서 극도의 쾌감을 느끼고 스트레스를 덜 받는 독특한 기질을 지녔을 가능성이 있습니다. 그렇다면 이러한 기질과 관련된 뇌 회로는 무엇일까요? 다음 섹션에서 공포와 쾌감이 교차하는 뇌의 구조적 관계를 살펴보겠습니다.


2. 공포감지와 통제의 쌍둥이: 편도체–전전두엽 회로


두려움 반응의 핵심에 편도체가 있다면, 이 원시적 경보장치의 울림을 조율하는 지휘자는 다름 아닌 전전두엽 피질입니다.


뇌과학 연구에 따르면 편도체–해마–전전두엽으로 이어지는 회로는 동물과 인간에서 공통적으로 위협 자극의 학습과 기억, 그리고 그 반응 조절에 관여하는 핵심 경로입니다. 특히 전전두엽(PFC)은 두려움 습득과 소거(extinction)에 중심적 역할을 하며, 인간의 감정 조절과 공포 억제에 필수적인 것으로 밝혀졌습니다. 요컨대 편도체가 “위험!”이라는 불을 지피면, 전전두엽은 “진정하라”는 물을 끼얹는 식으로 상호작용한다는 것입니다. 이론을 넘어 구조적 증거도 나와 있습니다. 2009년 다트머스 대학 연구진은 확산 텐서 영상(DTI) 기법으로 사람들의 뇌를 검사하여, 편도체와 전전두엽을 직접 연결하는 백질 경로의 강도를 측정했습니다. 그 결과 이 연결 경로가 튼튼할수록 (즉 구조적 신호가 강할수록) 개인의 불안 성향(trait anxiety)은 낮은 경향을 보였습니다. 반대로 이 연결이 취약한 사람일수록 사소한 자극에도 쉽게 불안을 느낄 수 있다는 의미입니다. 연구는 “편도체-전전두엽 축의 구조적 완전도가 높으면 불안 수준이 낮았다”고 결론지으며, 결국 전전두엽이 편도체의 과도한 발화를 얼마나 잘 억제하고 다스릴 수 있느냐가 개인차를 만든다고 해석했습니다.


이처럼 편도체-전전두엽 회로의 효율성은 우리가 두려움을 느끼고 극복하는 능력의 토대가 됩니다. 편도체가 위협을 빠르게 감지해도, 전전두엽의 억제 브레이크가 잘 작동하면 공포는 금세 가라앉습니다. 반대로 전전두엽 제어력이 약하거나 편도체 신호가 과민하면, 작은 스트레스에도 불안이 치솟고 쉽게 진정되지 못합니다. 두려움을 잘 다루는 사람들의 뇌에서는 편도체의 경보음과 전전두엽의 진정 신호가 균형을 이룬다고 볼 수 있겠습니다. 알렉스 호놀드의 경우, 이 균형에서 편도체의 음량 자체가 낮거나 전전두엽의 손놀림이 탁월했던 사례로 생각할 수 있습니다.


3. 스릴을 쫓는 자들의 뇌: 보상회로와 도파민


호놀드처럼 두려움보다 짜릿함을 먼저 느끼는 사람들은 흔히 “하이 센세이션 시커”, 즉 높은 감각추구 성향을 가진 이들이라고 불립니다. 이들의 뇌에서는 보상 회로가 공포 회로 못지않게 중요하게 작동합니다.


보상 회로의 중심에는 측좌핵(nucleus accumbens)이라는 구조가 있는데, 이는 도파민이라는 신경전달물질을 통해 쾌감과 보상을 처리하는 중추입니다. 흥미로운 점은, 고감각추구자들은 뇌 보상회로에서 도파민 분비를 느끼기 위해 더 강한 자극을 필요로 할 수 있다는 사실입니다. 다시 말해, 평범한 사람에게 충분히 자극적일 상황도 이들에게는 싱겁게 느껴질 수 있으며, 더 극단적인 경험을 해야 비로소 보람찬 “도파민 보상”을 얻는다는 것입니다. 호놀드가 일상의 웬만한 자극에는 심드렁해하고, 오직 벼랑 끝에 맨손으로 매달릴 때 비로소 “사는 느낌”을 받는 것도 이런 맥락에서 이해할 수 있습니다.


한편, 도파민과 스트레스 호르몬의 조합 또한 이들의 두려움 체험을 일반인과 다르게 만듭니다. 아드레날린 중독자라고도 불리는 이런 모험가들은 실제로 위험한 상황에서 도파민 분비가 높고 동시에 코티솔 등의 스트레스 호르몬 분비는 낮게 나타난다는 연구 보고가 있습니다. “높은 센세이션 시커들은 혼란스럽고 극적인 환경에서 도파민 수치를 더 높이 끌어올리는 경향이 있고, 반면 스트레스 호르몬인 코티솔 수치는 더 낮다”는 것이죠.


이 불균형이야말로 그들이 남들 같으면 질겁할 상황에서도 오히려 침착함과 쾌감을 느끼는 비결일 수 있습니다. 쉽게 말해, 뇌에서 보상의 신호(도파민)는 크게 울리고 위험의 신호(편도체→코티솔)는 상대적으로 잦아드니, 겁낼 틈보다 짜릿함에 몰입하게 된다는 설명입니다.


물론 높은 감각추구 성향이 있다고 해서 모두가 호놀드처럼 극단적인 위험을 즐기는 것은 아닙니다. 하지만 뇌과학은 “두려움”이라는 감정이 때로는 “보상” 시스템과 경쟁하거나 협력하며 결정된다는 단서를 제공합니다. 어떤 이는 높은 곳에 올라 공포보다 성취감을 더 크게 느끼고, 어떤 이는 무대에 서는 두려움을 환호의 쾌감으로 덮어버리기도 합니다. 결국 두려움을 잘 다룬다는 것은, 위험 신호를 완전히 없앤다기보다 두려움보다 더 큰 보상이나 의미를 느끼게끔 뇌를 조건화하는 과정일지도 모릅니다.


4. 공포는 학습된다: 노출 치료와 기억의 재구성


다행히, 두려움이라는 반응은 고정 불변의 운명이 아닙니다. 뇌는 학습과 경험을 통해 공포를 잦아들게 만들거나, 새로운 의미로 다시 쓸 수도 있습니다. 심한 거미 공포증이나 고소공포증도 치료를 통해 극복되는 사례가 많습니다.


그 대표적인 심리치료 기법이 바로 노출 치료(exposure therapy)입니다. 안전한 환경에서 두려움의 대상과 반복적으로 마주함으로써 뇌에 “이제 이건 위협이 아니다”라고 가르치는 과정입니다. 실제 임상 연구들을 보면, 단 한 차례 몇 시간짜리 집중 노출 세션만으로도 오랫동안 이어져 온 특정 공포증이 극적으로 호전되기도 합니다.


뇌 차원에서 보면, 공포 대상에 맞닥뜨리기 전에는 편도체, 섬엽(insular cortex), 대상피질(cingulate cortex) 등 공포 반응과 관련된 영역들이 과항진되어 있었다가, 성공적인 노출 치료 후에는 이들 영역의 반응성이 현저히 낮아지는 변화가 관찰됩니다.


한 연구에서는 거미 공포증 환자들에게 2시간 동안 실제 타란툴라 거미를 가까이서 보고 만지는 노출 치료를 시행한 뒤 뇌를 스캔했더니, 편도체와 섬엽, 대상피질의 활동이 현저히 줄어들었고 그 효과가 6개월 후까지 지속되었습니다. 치료 전에는 잔디밭도 거미가 나올까 두려워 걷지 못하고, 방 한 구석에 거미가 보였다는 생각만으로 며칠간 방을 못 들어가던 사람들이, 불과 몇 시간의 집중 치료 후 직접 타란툴라를 맨손으로 만질 수 있게 되고 그 변화가 반 년 넘게 유지된 것입니다. 이는 노출을 통한 뇌 회로의 재편성이 얼마나 빠르고 지속적으로 일어날 수 있는지를 보여줍니다.


노출 치료의 이면에는 흥미로운 기억의 재구성 메커니즘이 있습니다. 기존에 학습된 “공포 기억”을 업데이트하는 과정이라고 볼 수 있는데요. 우리가 두려워하는 대상이나 상황에 대한 기억은 처음 학습될 때 강한 공포 반응과 함께 저장됩니다. 하지만 나중에 그 기억을 다시 불러낸 후 다른 결과를 경험하면, 뇌는 그 기억을 새로운 정보와 함께 다시 저장(재고착, reconsolidation)하게 됩니다.


2000년대 후반, 뉴욕대 연구진은 인간에게 조건형성시킨 공포 기억을 이용해 흥미로운 실험을 했습니다. 간단히 말해, 한번 각인된 두려움도 다시 꺼내어 적절한 시점에 안전한 경험을 덧붙이면, 그 두려움이 향후 사라진 채로 유지될 수 있다는 사실을 보인 것이지요. “오래된 공포 기억도 재활성화 후 재고착되는 창(window) 동안 공포와 무관한 새로운 정보를 제공하면 업데이트가 가능하다”는 연구 결과는, 두려움 극복 훈련에 있어 기존 기억을 좋은 기억으로 덮어쓰는 전략의 중요성을 시사합니다.


이를 임상에 적용한 한 예로, 외상후스트레스장애(PTSD) 환자들에게 트라우마 기억을 불러일으킨 직후 안전한 맥락에서 치료적 개입(예: 이완훈련이나 긍정 자극 제시)을 하면 증상이 현저히 감소하고 재발이 막아진다는 보고들도 나오고 있습니다. 전통적인 노출 요법이 “새로운 학습으로 두려움을 억제”하는 데 초점을 둔다면, 기억 재구성 접근은 “두려움 기억 자체를 변형”함으로써 보다 영구적인 변화를 꾀하는 것입니다.


정리를 하면, 반복 노출과 재학습을 통해 뇌는 공포 자극을 다르게 받아들이도록 바뀔 수 있습니다. 처음에는 편도체가 경고 사이렌을 울리던 대상도, 여러 차례 위험이 없는 노출을 거치면 “이건 더 이상 위협이 아니다”라는 신호로 대체됩니다. 그리고 이 변화는 새로운 기억 회로로 자리잡아, 나중에는 같은 자극이 와도 편도체가 예전만큼 흥분하지 않게 됩니다. 결국 두려움에 대한 내성(desensitization)이 생기고, 우리는 더 강해진 마음으로 그 대상과 마주할 수 있게 되는 것입니다.


5. 마음의 근육 키우기: 명상과 인지치료의 뇌 효과


공포 반응을 누그러뜨리는 방법은 노출만이 아닙니다. 명상(meditation)이나 인지행동치료(CBT)처럼, 마음의 습관과 생각을 바꾸는 접근도 뇌 구조와 기능을 변화시켜 두려움을 다루는 능력을 향상시키는 것으로 나타납니다.


하버드 의대 사라 라자르(Sara Lazar) 박사 팀의 연구는 명상이 실제로 두뇌 구조를 변화시킨다는 사실을 보여주었는데요. 단 8주간의 마음챙김 명상 프로그램(MBSR)을 수련한 사람들은 편도체의 밀도가 줄어들고 그 감소량이 스트레스 수준 감소와 상관관계를 보였습니다. 스트레스가 줄어든 만큼 뇌의 “두려움 센서”인 편도체가 구조적으로 위축된 것입니다.


더욱 놀라운 것은, 명상이 편도체와 전전두엽 사이의 연결성을 강화한다는 증거입니다. 일반적인 불안장애 환자들을 대상으로 한 연구에서, 8주 명상 훈련 전에는 이들이 위협과 무관한 자극 (예: 정색한 얼굴 사진)에 대해서도 편도체가 과잉 반응을 보였으나, 훈련 후 뇌를 다시 촬영해보니 편도체와 전전두엽의 기능적 연결이 눈에 띄게 증가했고 더 이상 편도체가 중립 자극에 과민하게 반응하지 않았습니다. 명상을 통해 전전두엽이 편도체를 더 효과적으로 달래고 제어하게 된 것입니다.


라자르 박사는 “명상 수련은 뇌가 위협으로 지각하는 것에 대해 편도체를 진정시키는 법을 배우도록 도와주는 듯하다”고 설명합니다.


인지행동치료(Cognitive Behavioral Therapy) 역시 뇌 회로의 재조정을 통해 두려움과 불안을 감소시킵니다. CBT는 두려움을 유발하는 비합리적 사고 패턴을 재구성하고, 안전한 상황에서 회피하지 않고 직면하도록 훈련함으로써 증상을 개선하는 정신치료입니다. 수십 년간의 뇌영상 연구를 종합해보면, 다양한 불안·공포 관련 장애에서 CBT를 받고 호전된 환자들은 공포에 관여하는 뇌 부위들의 과활성이 눈에 띄게 정상화되는 것으로 나타납니다.


예를 들어 특정 공포증 환자들의 경우, 치료 전에는 무서운 대상 사진을 볼 때 편도체와 섬엽 등이 활활 반응하지만 치료 후에는 이들 영역의 반응이 건강한 사람 수준으로 떨어지는 패턴이 확인되었습니다. 한 메타분석은 “CBT 이후 섬엽과 편도체의 과잉 반응이 감소 및 정상화되는 것이 일관되게 관찰되며, 이러한 변화가 위협 자극에 대한 보다 정확한 자각(‘위협-안전 식별’ 능력 향상)과 연결된다”고 보고했습니다. 또 다른 연구들에서는 불안장애나 우울증 환자들이 CBT로 호전될 때 정서 자극에 대한 편도체 반응이 유의미하게 줄어들수록 임상 증상 개선이 크게 나타났다고 합니다.


정리하자면, CBT의 공통 기제 중 하나는 전전두엽을 비롯한 인지 조절 영역의 활성을 끌어올리고 편도체 등의 과민 반응을 진정시킴으로써 두려움의 고삐를 쥐게 하는 것입니다. 이러한 뇌 변화를 동반하기에, CBT를 받은 환자들은 치료가 끝난 뒤에도 비교적 장기간에 걸쳐 재발률이 낮고 심리적 안정이 지속되는 효과를 보는 것으로 분석됩니다.


명상과 CBT는 접근법은 다르지만 “두려움에 대한 뇌의 반응을 의식적으로 재훈련”한다는 점에서 맥을 같이합니다. 명상은 호흡이나 신체감각에 집중하며 현재 순간을 있는 그대로 받아들이는 연습을 통해 편도체의 자동 반응을 누그러뜨리고 전전두엽의 통찰력을 키웁니다. 한편 CBT는 생각의 내용에 변화를 주는 연습을 통해, 두려움을 일으키는 비합리적 신호(“큰일 날 거야!”)를 논리적 신호(“해볼 만해.”)로 치환함으로써 편도체에 전달되는 위협 자극 자체를 줄입니다.


방법은 달라도, 결과적으로 두 기법 모두 전전두엽이라는 뇌의 “이성 기관”을 단련시켜 편도체라는 “감정 기관”을 효과적으로 통제하도록 만든다는 점이 공통됩니다. 따라서 일상에서 명상이나 CBT적 사고훈련을 꾸준히 실천하면, 뇌 구조가 서서히 바뀌어 두려움에 대한 내성이 높아지고 회복력(resilience)이 강화될 수 있습니다.


6. 절벽의 공포와 미래의 불안: 다른 얼굴의 한 뇌


우리가 느끼는 두려움에는 종류가 많습니다. 눈앞에 벌떡 솟은 절벽 끝에 섰을 때 느끼는 아찔한 공포감이 있는가 하면, 막연히 다가올 미래를 걱정하며 느끼는 불안감도 있습니다. 겉보기에는 성질이 달라 보이지만, 뇌의 입장에서는 이 둘이 상당 부분 겹치는 회로를 쓴다는 사실이 밝혀지고 있습니다.


전통적으로 학계에서는 “공포(fear)”는 명확하고 임박한 위험에 대한 일시적 반응으로서 편도체가 담당하고, “불안(anxiety)”은 불확실하고 막연한 위협에 대한 지속적 반응으로 시상하부 침상핵(BNST)이라는 구조가 관여한다고 보았습니다.


그러나 2020년 발표된 후르(J. Hur) 등의 fMRI 연구는 이러한 구분에 이의를 제기했습니다. 실험 참가자들에게 “곧 전기 충격이 올 것”이라는 뚜렷한 공포 상황과 “언제 충격이 올지 모른다”는 불안 상황을 주고 뇌활동을 비교한 결과, 예상 가능한 위협이든 예측 불가능한 위협이든 모두 편도체와 BNST를 포함한 공통의 뇌 네트워크(core circuit)를 활성화시켰습니다. 두려움과 불안이 상당히 겹치는 신경 회로를 공유한다는 뜻입니다.


더 흥미로운 건, 편도체와 BNST 모두 불안 조건과 공포 조건에 거의 구분되지 않는 유사한 반응 강도를 보였다는 점입니다. 일부 세부 뇌영역에서 위협의 불확실성에 따라 반응 차이가 있긴 했지만, 전반적으로는 두려움과 불안이 “공통의 신경 구성요소 세트(common neural building blocks)” 위에 구축된다는 결론이 나왔습니다.


이 발견은 학계에 큰 울림을 주었고, 공포와 불안을 별개 회로로 보는 기존 모델을 재검토해야 한다는 주장이 제기되었습니다.


그렇다면 왜 이런 공통 회로를 가지는 걸까요? 진화론적으로 생각해보면, 높은 곳에서 떨어질 위험이나 내일의 생계가 막막한 위험이나 “위협”이라는 본질적 속성은 동일하기 때문일 것입니다.


우리 뇌의 깊은 부분에서는 실제 물리적 위험이나 사회적·심리적 위험 모두 편도체를 통해 처리하고, 그 신호를 받아들인 나머지 회로(전전두엽, BNST 등)가 상황의 맥락과 지속시간에 따라 반응 양상을 조금씩 달리하는 것으로 볼 수 있습니다.


일례로, 즉각적이고 도피 가능한 위협에는 급성 공포 반응(투쟁-도피 반응)이 일어나도록 편도체-교감신경이 작동하고, 피할 수 없고 장기적인 스트레스 요인에는 만성 불안 반응(회피-걱정 반응)이 유발되도록 편도체-BNST-시상하부-호르몬 경로가 가동되는 식입니다. 그러나 근본적으로는 “두렵다”는 정서의 회로가 하나의 뿌리에서 나와 상황에 맞게 가지를 뻗는 셈이지요.


이렇듯 절벽 위에서의 공포와 일상 속 미래불안이 공유하는 뇌 구조가 있다는 사실은, 거꾸로 말하면 그 공통의 구조를 공략하면 다양한 종류의 두려움을 다스릴 열쇠를 얻을 수 있다는 뜻이기도 합니다.


실제로 불안장애 치료에 노출법이나 CBT처럼 원래 공포증 치료에 쓰이던 기법이 응용되고, 반대로 고소공포를 이겨낼 때 명상 같은 불안 완화 기법이 도움되는 등, 서로 다른 겉모습의 두려움들이 비슷한 뇌 훈련으로 개선되는 경우가 많습니다.


궁극적으로, 두려움이라는 감정의 보편성을 이해하면 뇌과학적으로 검증된 전략들을 응용해 일반인도 일상 속 다양한 불안에 대처하는 법을 배울 수 있다는 점이 희망적입니다. 다음 마지막 섹션에서는 이러한 훈련 원칙과 실천 방향을 정리해보겠습니다.


7. 두려움에 강해지기: 뇌를 단련하는 훈련 원칙


지금까지 살펴본 내용을 토대로, 일반인도 두려움을 더 잘 다룰 수 있도록 돕는 몇 가지 원칙과 훈련 방법을 정리하면 다음과 같습니다.


① 반복 노출과 단계적 도전


두려움의 대상에서 도망치지만 말고 작은 단계부터 점진적으로 직면해 보세요. 공포를 극복하는 가장 확실한 방법 중 하나는 안전한 환경에서 그 대상과 여러 번 마주하면서 “생각만큼 위험하지 않네”라는 뇌의 학습을 이끌어내는 것입니다.


암벽 등반가 알렉스 호놀드도 실제로 아무런 준비 없이 절벽에 오르는 법은 없습니다. 그는 자유등반을 하기 전에 수십, 수백 번 밧줄을 매고 똑같은 루트를 연습하며 모든 동작을 몸에 익혔고, 무려 7년에 걸친 준비 끝에야 엘캡틴을 로프 없이 오른 것입니다. 이렇게 충분한 연습과 익숙함을 통해 편도체가 놀랄만한 “새로운 위험” 자체를 없애버린 것입니다.


우리도 마찬가지로, 발표 공포가 있다면 혼자 연습하고 작은 모임에서 시도해 점차 큰 무대로 나가는 식으로 준비된 노출을 할 수 있습니다. 처음에는 두렵겠지만 노출을 거듭할수록 편도체의 경보는 약해지고 자신감은 커질 것입니다.


중요한 것은 한 걸음씩 내딛는 것입니다. 감당할 수 있는 작은 공포를 정복해 나가다 보면, 어느새 더 큰 두려움도 이전만큼 압도적으로 느껴지지 않게 됩니다.


② 인지 재구성


두려움을 재해석해보세요. 뇌는 생각의 내용에 따라 동일한 상황에도 전혀 다른 반응을 보입니다. 전전두엽을 적극 활용해 두려움을 유발하는 사고를 합리적으로 교정하면, 편도체의 반응 강도를 줄일 수 있습니다.


예컨대 비행기를 탈 때 “이 비행기가 추락하면 어쩌지?”라는 생각만 하면 공포가 커지지만, “비행기 사고는 드물고, 난 안전벨트를 매고 있으며, 승무원들이 전문적으로 관리하고 있어”라고 사고를 재구성하면 뇌는 “위험 신호 약화” 메시지를 받습니다.


이러한 인지 재구성은 CBT의 핵심 요소로, 꾸준히 연습하면 자동적으로 상황을 균형 잡히게 해석하는 습관이 길러집니다. 실제 CBT로 치료받은 환자들의 뇌를 보면 전전두엽의 논리 회로가 활성화되면서 편도체·섬엽 등의 과민 반응이 진정된 사례가 많습니다.


그러니 일상에서도 스스로 “지금 과도한 걱정을 하고 있진 않은가?”, “더 현실적인 해석은 없을까?” 자문하며 두려움의 신호를 재평가하는 연습을 해보세요. 이는 두려움의 원인을 제거하진 못해도 뇌가 받아들이는 방식을 바꾸어, 결과적으로 같은 상황에서도 느끼는 공포의 강도를 낮춰줄 것입니다.


③ 마음챙김과 이완 훈련


공포 자극에 직면했을 때 신체 긴장을 풀고 현재에 집중하는 기술도 큰 도움이 됩니다. 심호흡, 명상, 이완요법 등을 통해 교감신경의 흥분을 낮추고 부교감신경을 활성화하면 심박동과 근육 긴장이 완화되어 “두려움의 물리적 증상”이 줄어듭니다. 이 때 동시에 명상은 뇌 편도체의 폭주를 가라앉히고 전전두엽과의 연결을 강화하는 효과가 있습니다.


관련된 연구에서는 명상 수련 후 편도체의 위협 반응이 감소하고 전전두엽과의 소통이 원활해지면서, 참가자들이 이전엔 중립적 신호에도 놀라던 것이 개선되었지요.


실제 상황에서 두려움이 몰려올 때 눈을 감고 호흡에 집중해보십시오. “지금 이 순간”에만 의식을 두면, 편도체가 미래의 끔찍한 시나리오를 상상하며 보내는 신호를 차단할 수 있습니다. 매일 조금씩 마음챙김 훈련을 하면, 뇌 구조가 스트레스에 둔감해지고 감정조절력이 향상되어 장기적으로 두려움의 임계점이 높아집니다.


④ 보상의 활용


두려움을 즐기는 법을 터득하세요. 두려움을 느낄 때 그 감정 자체에 압도되지 않고 다른 각도로 조명해보는 것도 방법입니다. 높은 곳에 서서 떨리는 자신을 인지했다면, 그와 동시에 “정복했을 때의 뿌듯함”을 상상해보는 것입니다.


이는 뇌의 “도파민 회로”를 자극하여 두려움과 경쟁할 긍정적 동기를 부여합니다. 앞서 언급했듯, 높은 감각추구자들은 위험 그 자체보다 도전의 즐거움에 집중하기에 두려움을 이겨냅니다.


우리도 일상에서 작게나마 이를 실천할 수 있습니다. 예컨대 무대 공포증이 있는 사람은 발표를 앞두고 “망설여졌지만 결국 해냈을 때 성장할 나 자신”을 그려보는 겁니다. 혹은 놀이공원에서 무서운 놀이기구를 탈 때 “이걸 타고 나면 엄청난 쾌감을 맛볼 거야” 하고 기대하는 식입니다. 두려움 그 자체에 초점을 맞추면 공포 회로만 활성화되지만, 그 이면의 보상에 집중하면 보상 회로가 함께 가동되어 편도체의 독주를 막을 수 있습니다.


물론 현실 위험을 무시하고 맹목적 낙관에 빠지라는 뜻은 아닙니다. 다만 두려움의 반대편에 존재하는 긍정적 의미를 부여하면 뇌는 그 상황을 위협 100%로 받아들이지 않고 일부를 도전과 흥분으로 인식하게 된다는 점을 활용하자는 것입니다. 이는 공포에 짓눌리지 않고 용기와 희망을 갖게 하는 뇌 속성으로서, 적절히 활용하면 두려움을 견디는 힘을 크게 북돋울 수 있습니다.


⑤ 꾸준한 뇌 운동


마지막으로 강조할 것은, 두려움 다루기도 일종의 근육 키우기처럼 꾸준한 훈련이 필요하다는 점입니다. 한번의 극복 경험이 있다고 해서 영원히 두렵지 않은 것이 아니고, 반대로 지금 많이 무서워도 꾸준히 단련하면 누구나 개선될 수 있습니다.


중요한 것은 현실적인 목표를 세우고 지속적으로 연습하는 것입니다. 너무 큰 공포에 바로 뛰어들면 좌절하기 쉽고, 너무 쉬운 것만 반복하면 성장에 한계가 있습니다. 따라서 앞서 말한 원칙들을 일상에서 조금씩 적용해보되, 때로는 전문가의 도움을 받아 체계적인 프로그램(예: 단계별 노출치료, CBT 상담, 명상 코스 등)에 참여하는 것도 좋은 방법입니다.


과학적으로 입증된 방법들을 활용하면서 스스로의 두려움 양상에 맞는 전략을 맞춤 적용하면, 뇌는 서서히 변화에 적응하며 새로운 회로를 강화합니다. 마치 새 운동을 배울 때 처음엔 어색해도 반복하면 근육 기억이 생기듯, 두려움 조절도 뇌의 기억 회로와 습관 회로를 재훈련하는 과정입니다. 인내심을 갖고 뇌를 단련하면, 몇 주 혹은 몇 달 뒤에는 분명 이전과 달라진 자신을 발견할 것입니다.


두려움은 인간이라면 피해갈 수 없는 보편적 감정입니다. 그러나 본 탐사에서 살펴보았듯, 두려움에 휘둘리는 정도는 결국 뇌를 어떻게 쓰고 단련하느냐에 따라 달라질 수 있습니다.


알렉스 호놀드의 특별한 사례는 우리에게 극단적인 영감을 주지만, 궁극적으로 그의 뇌도 우리 뇌와 같은 구조들을 가지고 있다는 사실에 주목해야 합니다. 두려움을 느끼는 편도체도, 그것을 조절하는 전전두엽도, 보상과 학습을 관장하는 회로들도 보통 사람들과 다르지 않은 형태로 존재했지요. 다만 그는 경험과 훈련을 통해 그 회로들을 남다르게 활용했을 가능성이 큽니다.


결국 일반인도 자신의 뇌 회로를 이해하고 나면, 두려움을 다루는 법을 배워나갈 수 있다는 뜻입니다. 절벽 위에 매달릴 일은 없어도, 직장이나 대인관계, 건강 등 일상의 “작은 절벽들” 앞에서 우리가 취할 수 있는 선택은 있습니다.


두려움에 강한 뇌는 타고나는 면도 있겠지만, 가꾸고 훈련해서 만들어갈 수도 있는 뇌입니다.


과학이 밝혀낸 공포의 뇌 회로 원리를 생활 속 실천으로 연결지을 때, 우리 각자의 두려움에 대한 새로운 회복탄력성(resilience)이 생겨날 것입니다. 공포를 완전히 없앨 순 없더라도, 이제는 그 메커니즘을 알았으니 이전보다는 잘 다룰 수 있지 않을까요? 두려움에 직면할 때 이 글의 내용을 떠올리며 뇌를 한 번 “재설정”해 보세요. 여러분의 편도체는 조금 덜 울고, 전전두엽은 조금 더 밝게 빛나며, 두려움을 이기는 힘이 한층 단단해져 있을 것입니다.


참고문헌:

Joseph, J.E. et al. (2017). The strange brain of Alex Honnold. Nautilus Magazine.

Feinstein, J.S., Adolphs, R., Damasio, A. & Tranel, D. (2011). The Human Amygdala and the Induction and Experience of Fear. Current Biology.

National Geographic (2018). Free Solo Documentary: Behind the Scenes with Alex Honnold.

Nautilus Magazine (2017). Why Alex Honnold Doesn’t Feel Fear.

Hur, J. et al. (2020). Distinct neural pathways for sustained vs. transient threat. Nature Communications, 11(1), 2479.

Kim, M. J. & Whalen, P. J. (2009). The Structural Integrity of an Amygdala–Prefrontal Pathway Predicts Trait Anxiety. Journal of Neuroscience.

Etkin, A., Büchel, C., & Gross, J. J. (2015). The neural bases of emotion regulation. Nature Reviews Neuroscience, 16(11), 693–700.

Davidson, R. J., & McEwen, B. S. (2012). Social influences on neuroplasticity: Stress and interventions to promote well-being. Nature Neuroscience.

Goldin, P.R. et al. (2012). Mindfulness-Based Stress Reduction (MBSR) reduces amygdala reactivity. Emotion.

Lazar, S. et al. (2005). Meditation experience is associated with increased cortical thickness. NeuroReport.

Schienle, A. et al. (2007). Neural correlates of spider phobia during symptom provocation: an fMRI study. Psychiatry Research.

Schiller, D. et al. (2010). Preventing the return of fear in humans using reconsolidation update mechanisms. Nature.

Zuckerman, M. (1994). Behavioral expressions and biosocial bases of sensation seeking.

Etkin, A., & Wager, T.D. (2007). Functional neuroimaging of anxiety: a meta-analysis of emotional processing in PTSD, social anxiety disorder, and specific phobia. American Journal of Psychiatry.

Craske, M.G. et al. (2014). Maximizing exposure therapy: an inhibitory learning approach. Behaviour Research and Therapy.

Thibodeau, R. et al. (2018). Neuroimaging and CBT outcomes: A systematic review. Clinical Psychology Review.

Goldin, P. R. et al. (2013). CBT for Social Anxiety Disorder: Neural mechanisms. NeuroImage: Clinical.

Milad, M.R. & Quirk, G.J. (2012). Fear extinction as a model for translational neuroscience: ten years of progress. Annual Review of Psychology.

Quirk, G. J. & Mueller, D. (2008). Neural mechanisms of extinction learning and retrieval. Neuropsychopharmacology.

Hauner, K. K. et al. (2012). Real-time fMRI neurofeedback reduces fear responses. Nature Neuroscience.


--

Written by AI Alchemist & Maestro 두드림


이 글은 Creative Commons BY-NC 라이선스에 따라 비영리적 용도로 자유롭게 복사·배포·활용할 수 있습니다. 출처(저자명·브런치 링크)만 표시해 주세요.

keyword
매거진의 이전글왜 요즘 세대의 두려움은 더 크게 느껴질까?