수술

2박 3일간 입원과 새열낭종 수술의 기록

by 새늘

때는 2년 전,


목을 들어 올려보았는데 오른쪽에 둥글게 부풀어 오른 것이 보였다.

당시, 살이 많이 쪘던 터라 턱살이겠거니 했다.


건강이 안 좋아져 다이어트를 했고 턱살도 같이 빠졌지만 문제는 부풀어 오른 부분만 여전히 남아있었다.

우리 가족은 이를 수상히 여겼고 병원에 가서 진단받아보라고 했다.


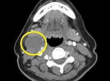
병원에 가서 채혈도 해보고 CT도 찍어보니 과연 살은 아니었다.

그것은 물혹이었고 의사는 이를 새열낭종 2형으로 진단을 내렸다.


다음의 글은 나의 첫 병원 입원 및 수술기로 특별한 경험을 기록해 보고자 쓰게 되었으며,

혹여나 나와 같은 증상으로 혹은 다른 증상으로 수술하시게 되는 독자분들께 간접적으로나마 도움이 될까 해서 글로 남기게 되었다.



새열낭종은 선천적인 증상이다.


아가미라고도 불리는 새열은 태아기에 목이 만들어질 때 있다가 없어지는 것이 정상적이나, 그렇지 않아 생기는 증상인 것이다. 아가미 틈새가 닫히지 않고 태어나 이 부분이 결국 물혹 형태의 새열낭종, 구멍 형태의 새열로 등으로 나타나는데 나는 이 중 새열낭종에 해당하게 된 것이다.


새열낭종도 1형과 2형으로 나누어지는데 1형은 귀 부근에 증상이 나타나고, 2형은 목 부근에 증상이 나타난다고 한다. 나는 2형에 해당했고 가장 흔한 증상이라고 한다.


mosawzECWk.jpeg
mosa5ljt7t.jpeg
새열낭종 진단 사진 (출처 : 땡큐서울의원 https://thanqseoul.modoo.at/?link=6ffedydb)

새열낭종은 방치해도 큰 이상은 없으나 시간이 지날수록 크기가 커지기 때문에 미용상 안 좋을뿐더러

물혹이기 때문에 세균 감염의 위험이 있어 다른 질환으로 이어질 수 있는 가능성도 있다고 한다.

의사는 내게 질환이 단순하여 크게 걱정할 건 없으나 입원과 수술 치료는 필요하다고 했다.

그렇지만 진단 당시 나는 시간이 없었던 관계로 추후 재방문을 기약하고 병원을 떠나게 된다.


그리고 2년 후,


이제 여유가 생겼으니, 병원에 다시 찾아가 재진단을 받고 수술을 예약했다. 다행히 다른 질환은 없었고 정상적으로 수술 예약이 진행되었다.


"수요일에 마침 똑같은 수술받으시는 분이 계세요. 그때 같이 합시다. 화요일 (수술 하루 전)에 입원하시고요. 금요일에 퇴원하세요."


"네?"


"왜? 병원에 더 있고 싶어요? 안 돼, 돌아가!"


"선생님 저도 더 있고 싶은데, 직장에 자리를 오래 비울 수가 없어요..."


"그래서 병가라는 게 있죠!"


"저희 회사는 없습니다..."


"그럼 목요일에 퇴원합시다. 됐죠?"


그렇게 나는 피 같은 내 연차를 써가며 2박 3일간의 입원 일정을 잡고 병원을 다시 나온다.




입원 전


다른 병원은 잘 모르겠지만 내가 입원할 병원은 2시부터 4시 사이에 입원 완료하기로 되어 있었다.

입원 전 준비물은 다음과 같다.


신분증, 입원동의서 (꼭 필요한 준비물이다.)

수건

여분의 속옷

세면도구

슬리퍼

핸드폰 충전기


입원 1일 차


이렇게 준비물을 챙겨서 병원 입원수속창구로 가니 병동으로 입장할 수 있는 팔찌를 채워주며 병동을 안내받았다.

병동으로 들어가 바로 환자복으로 갈아입고 키와 몸무게를 재고 수액과 항생제를 맞기 시작했다.

나는 수술 후에 수액을 맞을 줄 알았는데 그건 아닌 것 같았다.

의아해하던 찰나, 병동 간호사가 또다시 찾아와 인적사항을 물어본다. 내 인적사항, 가족관계, 종교 등..


또 다른 간호사가 들어와 수술 전 안내사항을 말해준다.


"마취를 하는 과정에서 기도를 통해 가스를 주입할 것이니, 이빨이 부러질 염려가 있고,

.......

심정지가 올 수 있어요."


이 말을 듣자 헛웃음이 나왔다. 물론 심정지가 올 거라고는 기대는 안 했지만, 단순한 수술이라고 생각하여 아무런 긴장도 하지 않았는데, 병원에서는 여러 가능성을 열어두는 거 같았다. 가능성이 아예 없지 않다는 생각이 들자 그제야 긴장이 되기 시작했다.


내가 헛웃음을 치자 간호사도 멋쩍었는지 나와 같이 웃었고 동의서에 서명을 받아내어 병실을 나갔다.


그리고 나는 수술 전날까지 심심한 하루를 보냈다. 읽을 책을 가지고 오긴 했지만, 내 흥미를 끌 정도의 책은 아니었고, 왠지 유튜브를 봐도 재미가 없었으며, 비가 오는 바람에 그토록 보고 싶었던 한국시리즈도 볼 수 없었다. 그날 나는 저녁에 가족과 잠깐 면회를 하고 자정부터 금식이라기에 과자 두 봉지를 편의점에서 사 와 먹고 그대로 잤다.


입원 2일 차


수술 당일 아무래도 내 인생 첫 수술이다 보니 엄청난 긴장감이 몰려왔다. 수면 마취를 한다고 했으니 한숨 자고 온다고 생각할 수 있었으나 전날 간호사가 내게 말했던 안내사항이 자꾸 내 머릿속에 떠돌았다.

그런 와중에 간호사는 수술실에 들어갈 때 속옷을 벗은 상태로 들어갈 것이니 팬티를 벗고 바지를 입고 있으라고 말해줬고, 웃옷은 수술복으로 환복 할 수 있도록 도와주겠다고 했다. 그렇게 환복을 하고 내 수술 차례를 기다렸다.

오전 11시에 수술실에 들어갈 것이라고 안내받았으나 왜 인지 11시가 훨씬 넘어서도 나를 부르지 않았다. 상황을 알아보니 내 전 차례의 수술이 좀 길어졌던 것 같았다. 기다리는 순간이 너무나 길게 느껴지던 찰나, 11시 50분경 나는 드디어 호명받을 수 있었다. 수술실에 들어가기 위해 수술복에 머리망을 쓰고 휠체어를 타고 조금 기다리자, 이송팀이 나를 수술실로 끌고 갔다.


수술실에서,


나는 베드에 누워 생년월일, 수술 부위 등 간호사가 물어보는 것에 답변을 했다. 그리고 마취과 의사가 와서 산소마스크를 입에 대며 30초간 심호흡을 하라고 한다.


"네 잘하고 있어요."


그 한마디 다음으로 "70프로", "100프로" 이렇게 말했다. 그 뒤로 기억이 없다.


영화에서 장면이 넘어가듯 내가 눈을 떴을 땐 비몽사몽 한 상태로 어딘가에 끌려가고 있었다.

간호사들이 날 끌고 가며 마치 일식집에서 손님을 맞이하듯 힘찬 목소리로

"수고하셨습니다!"라고 했다.


그제야 나는 수술이 끝났다는 걸 알 수 있었다.

목이 목감기에 걸린 것처럼 아팠다. 무엇보다 제일 힘들었던 것은 마취에서 깨는 과정이었다. 이는 마치 극심한 멀미를 하는 것처럼 속이 매스꺼웠다. 간호사들은 마취 가스를 빼기 위해 심호흡을 크게 하라고 했다. 몇 시간 동안 심호흡을 했지만 매스꺼움은 해결되지 않았다.

그도 그럴 것이 수술 후에 4시간 동안 또 금식이라고 하니 먹는 것을 좋아하는 나에겐 이 또한 큰 고통이었다. 4시간이 지난 후에야 병원에서 나온 저녁밥을 먹을 수 있었는데, 입맛이 나질 않았다.

그날 밤은 너무 힘들어서 일찍 잠을 청했다.


입원 3일 차


드디어 퇴원하는 날이다. 목은 아직 아팠지만 다행히 매스꺼움은 없었다. 아침을 먹고 좀 쉬고 있다가 의사의 진료를 다시 받고 나가기로 했다.


"수술이 끝나고 수술부위에 물이 다시 찰 수 있는데, 이 부분은 체내흡수가 될 수도 있고 그대로 찰 수가 있어요. 만약에 물이 차게 되면 수술 없이 그 자리에서 물을 빼낼 수 있으니까 한번 더 오세요."


그렇게 난 또 진료예약을 하고 퇴원수속을 할 수 있었다.


내가 수술을 하고 느낀 건,


아프지 말자였다. 이번 수술이 아무리 간단한 수술이었더라고 해도, 수술 후에 후유증은 생각보다 오래갔고 이것이 너무 힘들었다. 그리고 입원 기간에도 병원이 난 너무 답답했다.


그리고 감사함이었다. 2박 3일 동안 생각보다 많은 사람들에게서 응원을 받을 수 있었다. 나에게 간단하게 수술 잘 받고 오라는 메시지도 나에겐 큰 힘이 되었고, 수술이 끝나고 나를 걱정해 주는 사람들에게도 너무 감사했다.


그리고 2박 3일 동안 친절하게 간호해 주시고 치료해 주신, 간호사 의사 선생님들에게도 감사함을 전하고 싶다.

KakaoTalk_20241027_173753974_02.jpg