심장 스텐트 시술 - 달리기를 해야 하는 이유

달리기를 해야 하는 이유

by 둥이

심장 스탠트 시술 - 무증상심근허열증


2025년 12월 17일 오전 9시 10분 중앙대광명병원 심장뇌혈관센터 수술실 침대 위에 누웠다.

간호사 두 명이 단추를 풀러 가슴에 심전도 측정기를 붙였다. 가슴에 닿는 부분이 금속이어서 온몸이 경직되었다. 오른쪽 다리 정강이로 혈압측정기를 달았다. 오른쪽 검지손가락에 산소포화측정기가 물려 있었다. 수술실안은

겨울이어서 추운 게 아니었다. 그곳은 언제나 그냥 추운 곳이었다.

왼쪽 엄지손가락과 검지손가락 사이에 동맥 안으로 두 개의 주삿바늘을 꽂았다. 그곳으로 얇은 와이어가 들어갔다.


오전 9시 20분 심장스탠트시술이 시작되었다. 차분하고 질서 있게 오래도록 훈련받은 팀원들이 보여주는 일사불란함 난 수술실안에서 심장 안으로 들어오는 와이어를 생각하고 있었다.


그때 교수님의 얼굴이 누워있는 얼굴 위로 불쑥 나타났다.

좁아진 줄 알았던 1번 관내동맥이 완전히 막혔다고 했다. 서서히 막혀서인지, 심장이 스스로 살기 위해 다른 작은 혈관들이 새로운 혈관을 만들었다고 했다. 그 덕분에 지금까지 통증 없이 살아 있다고 했다.


혈관이 막혔다는 이야기를 듣고 심장박동수가 빨라졌다. 의사는 지금 당장 급한 건 아니지만 이왕 여기 가지 왔으니 막힌 혈전을 뚫어보겠다고 했다. 설명을 쉽게 해 주려는 것인지, 터널 뚫는 것과 같은 거라며, 걱정하지 말라고 했다.


처음에 왼쪽 손에만 꽂혔던 와이어가 막힌 혈전을 뚫으면서 오른쪽 손에도 연결이 되었다. 그때부터 모니터에서 삐삐 들려오는 소리와 혈압측정기 소리, 의사들이 나누는 알 수 없는 대화들과 간혹 간호사가 불편하지 않냐고 물어보는 소리들이 들려왔다.


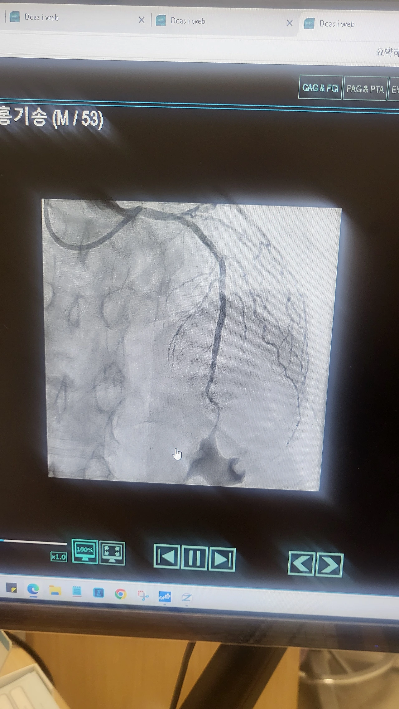
가슴 위로는 정사각형의 CT기계가 심장으로 흐르는 혈관들을 계속 찍고 있었다. 누워있는 침대 옆으로 커다란 모니터가 심장 속 혈류의 흐름을 사진 찍듯이 선명하게 보여주고 있었다. 조영제가 들어갈 때 막힌 곳과 좁아진 곳의 위치가 정확히 드러났다. 마치 자동차 안에서 보는 내비게이션처럼, 얽혀있는 심혈관들의 혈류가 강물 흐르듯 흐르고 있었다.


난 옆눈길로 모니터에 흐르고 있는 내 심장을 유심히 쳐다보았다.

"저게 나는구나 살아 있구나 저게 막혔다면 죽는 거구나 "


나의 심장은 뛰고 있었고 그곳에 여러 개의 와이어가 들어가 혈전을 뚫고 있는 상태였다. 그렇게 두 시간이 넘어가고 있었다. 생각해 보면 상반신을 드러낸 체, 정신은 말짱히 깨어있는 상태에서, 스탠트삽입 시술을 받는다는 게 쉽지만은 않았다.


11시 20분 막힌 혈전이 뚫려 스탠트를 두 곳에 삽입한 시간, 정확히 2시간 10분, 내 뒤로 줄줄이 시술 예정이었던 환자들은 두 시간씩이나 기다려야만 했다. 의사는 시술결과가 좋다고 설명해 주었다. 막힌 곳이 뚫리지 않을 수도 있다며 시작했는데, 대단한 결과라며, 중환자실에서 경과 지켜보자고 했다.


심장은 통증을 느끼지 못한다. 와이어가 두 군데서 들어가 혈관을 뚫고 있어도 어디서 무슨 일이 벌어지고 있는지를 느끼지 못한다. 통증은 없었지만, 우울해지는 마음은 어쩔 수 없었다. 심장은 통증은 없었지만, 머리는 두통이 밀려왔다.



일주일 전 원광대병원에서 아픈 곳이 심장 내 1번 혈관이라는 말을 들었을 때 난 솔직히 그곳이 어디인지 알 수 없었다. 살아가며 아픈 데야 돌아가며 여기저기 아파봤지만 심장까지 아플 줄이야 시한부생명 진단을 받은 사람처럼 우울해지는데 오랜 시간이 걸리지 않았다.


눈이 아파서 안과를 간다든가 비염과 후두염으로 이비인후과를 간다든가 속이 불편해 내과를 간다든가 팔과 다리가 아파 정형외과를 간다든가 이빨치료를 위해 치과는 정기적으로 다니고 있었고 변에서 피가 나와 항문외과를 간 적도 있었고 전립선염이 걱정돼 비뇨기과를 다녀온 적도 있으지만, 심장이 아플 거란 생각은 해본 적이 없었다.

그만큼 심장은 치외법권이 미치지 못하는 성역처럼 느껴졌다. 심장은 볼로장생처럼 아프지 않을 것 같았다. 가슴뼈 안쪽에 안전하게 보호받고 있어서 인지도 모르지만, 외부에 그대로 노출된 신체들보다는 안전할 거라 생각했다.


진료실 안에서 난 오른손으로 왼쪽가슴을 만져 보았다. 왼쪽 가슴안쪽에서 뛰고 있는 심장이 제대로 뛰고 있는지 확인이라도 하는 것처럼, 손바닥 안으로 느껴지는 진동을 찾기 위해, 잃어버린 동전을 찾기라도 하는 사람처럼,


심장은 여전히 그 자리에,

왼쪽 가슴 안쪽에서 진동하고 있었다.

쉬지 않고 진동하는 심장이 내가 살아있다는 것을 말해주는 듯했다.

이 심장이 멈추기라도 하면 죽는 거구나 어쩌면 이런 단순한 생각은 죽음의 정의일지 모른다.

심근경색은 말 그대로 심장혈관이 딱딱해져서 피가 제대로 흐르지 못해 죽음에 이르는 무서운 병이다.


'무증상심근허열'

몇 주 전 의사는 마치 독감이라도 걸렸다는 틋히 나의 진단명을 말해주었다. 처음 들어보는 긴 병명이었지만 의사는 별것 아니라는 듯, 차분하게 설명을 해주었다.


12월 8일 원광대 산본병원

마스크를 벗은 의사의 얼굴은 낯설었다. 처방전을 위해 분기별로 봤었던 의사의 얼굴에는 얼굴 전체를 가릴 만큼의 커다란 마스크가 걸쳐 있었다. 코로나 때 주로 사용했던 입과 코를 가릴정도의 마스크가 아니었다. 외과의사가 수술실에서 사용하는듯한 커다란 마스크는 의사의 두 눈만 빼꼼히 보여주었다.

그렇게 마스크로 가려졌던 의사의 얼굴을 그날 처음 보았다. 목소리와 눈빛만으로 상상했었던, 의사의 얼굴과는 다른 모습을 하고 있었다. 문을 열고 들어갈 때 문중앙에 의사의 이름이 없었다면, 목소리만 들려오는 모니터 앞에 까만색 명패만 없었다면, 아마 나는 삼 년 동안 처방해 준 주치의를 못 알라 봤을지도 모른다. 그냥 처음 보는 다른 의사라 해도 전혀 이상할 것 없을 만큼,


2023년쯤 어느 날 혈압이 160이 넘어갔다. 평소에도 140 정도로 혈압이 높은 편이었다. 160이 넘어가던 혈압은 떨어지지 않았다. 내가 혈압 때문에 병원을 찾아가건 그때가 처음이었다. 그때부터 혈압약과 콜레스테롤 성분이 들어있는 알약 한알을 매일 먹었다. 하루라도 안 먹는 날엔 왠지 불안하고 당장 죽기라도 할 것처럼,

혈압약은 효과가 좋았다. 160이 넘어가던 혈압은 110 수준으로 유지가 되었다. 매년 받는 피검사와 초음파검사도 정상이었다. 혈압약은 내게 심적으로나 수치적으로 그래 됐어하는 편안함을 만들어 주었다.


그렇게 삼 년이 지나갈 때쯤 병원 주치의의 이직을 알리는 연락이 왔다. 그렇게 주치의의 권유로 난 처음으로 운동처방(러닝머신 위에서 3분 4회 주기별로 강도를 높아지는) 테스를 받았다. 영화에서 처럼 가슴팍에 주렁주렁 심전도를 측정하는 부착기를 매달고 한쪽팔에는 혈압계를 붙인 채로 달리기 시작했다. 마지막 단계인 4회째로 접어들자 조금 힘들었지만, 무사히 끝내고 러닝머신 테스를 끝냈다. 가슴팍에서 땀이 조금 배어 나왔다. 그날이 올해 들어 가장 추운 영하 3도였다. 그렇게 매년 건강검진 때마다 받았던 심전도테스트와 심장초음파 그리고 피검사까지 끝냈다. 사흘이 지난 월요일 오후 난 진료실 문을 열었다.


"협심증의심"으로 나왔습니다.


심장초음파와 심전도 피검사까지 모두 정상수치로 나왔지만, 운동처방테스트에서 협심증의심으로 진단이 되었다며 비교적 정확한 테스트여서 70% 이상 확진결과가 맞는다고 했다. 그래도 오진일 수도 있으니 바로 심장 CT를 찍어보자고 했다.


그다음 날 심장 CT를 찍었다.

협심증의심 환자 나는 이때부터 우울해지기 시작했는지 모른다.


아버지는 30년 전 심장 스탠트시술을 받았다. 얼굴이 닮듯 혈관도 닮았다.

부계와 모계에서 물려받은 유전자들을 탓할 수 없다.


오늘부터 난 달리기를 한다.

그래야 살 수가 있다.

keyword