brunch

비뚤어지고 깨진 치아, 심미보철 치료로 해결하세요

심미보철치료란?

by 허영준
비뚤어지고 깨진 치아 고민, 심미보철 치료로 해결하세요~


신체의 다른 조직과는 달리 치아는 한번 상하면 재생이 되지 않습니다. 치아가 빠지면 다시 나지 않고, 깨지거나 금이 가면 그 부분이 다시 복원되지 않는다는 뜻입니다. 따라서, 치아에 문제가 생기면 적절한 치료를 통해 기능을 보완해 주어야 일상생활에 불편이 없습니다.


특히, 치아가 깨지거나 금이 가는 등의 문제는 치료하지 않고 내버려 두면 세균이 침투해 중증 질환으로 이어질 수도 있어 주의해야 합니다. 거기다 깨진 치아가 앞니라면 심미적으로도 큰 문제가 되기 때문에 반드시 치료해 주는 것이 좋습니다.


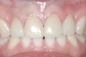
이처럼, 치아가 깨지거나 금이 갔을 때 이를 보완하기 위해 심미보철 치료를 활용하게 됩니다. 심미보철이란 치아에 크라운이나 라미네이트 등의 보철물을 붙여 치아 기능을 보강하고, 이를 아름답게 가꾸어 심미성을 회복하도록 만드는 치료방법을 말합니다.


비뚤어진 치아나 벌어진 앞니, 변색된 치아나 왜소치 등을 치료하는 데도 활용되며, 치아 상태에 맞게 다양한 심미보철 치료법을 적용해 시술하게 됩니다.



# 대표적인 심미보철 치료, '라미네이트'


다양한 심미보철 치료법 중에 대표적인 것을 꼽자면 '라미네이트'를 들 수 있습니다.
라미네이트는 치아 겉면에 도자기로 된 얇은 보철물을 붙여서 치아 형태를 수복하는 시술을 말합니다. 치아의 겉면만을 0.5~0.7mm 정도로 다듬어 살짝만 삭제한 뒤, 손톱 모양으로 생긴 얇은 보철물을 붙여 원하는 치아 모양을 잡아주게 되지요.


모양이 틀어지고 깨진 앞니나 금이 간 치아, 벌어진 앞니 등에 효과적으로 시술할 수 있습니다. 뿐만 아니라, 앞니 사이에 충치가 생겼을 때 이를 치료하고 그 부위를 보강하고 가려주는 데도 활용할 수 있습니다.


라미네이트는 틀어지고 깨진 부분을 가려주기 때문에 치아의 심미성 회복에 탁월합니다. 얇은 도자기 재질은 자신의 치아 색상을 그대로 드러내 주므로, 시술 후 본래 치아처럼 자연스럽다는 것도 강점입니다.


또한, 치아의 앞면과 옆면에서만 소량으로 삭제하기 때문에 전체를 다 삭제해야 하는 크라운 치료보다 치질을 많이 보전할 수 있고 신경치료도 필요치 않아 좋습니다.


하지만, 무리하게 치아를 삭제하는 경우에 이가 시리거나 통증이 나타날 수 있고, 치아의 변색이나 부식, 깨짐 등도 발생할 수 있어 주의해야 합니다.



20791227.jpg

# 심미보철의 종류와 주의사항


라미네이트에는 치아를 삭제하지 않고 시술하는 무삭제라미네이트도 있습니다. 앞니 사이가 벌어져 있는 경우에 주로 진행하는 '테세라 라미네이트'가 그것인데요, 치아의 본을 떠서 앞니 사이 공간을 메꿔 줄 보철물을 제작한 뒤 부착하게 됩니다.


테세라 라미네이트는 치아를 전혀 삭제하지 않기 때문에 치아 손상이 없다는 것이 가장 큰 장점입니다. 또한, 강화 레진으로 제작하는 보철물은 치아 색상과 매우 유사해 자연스럽고, 강도까지 우수해 내구성이 좋습니다. 하지만, 라미네이트보다 심미성은 조금 떨어진다는 단점은 있습니다.


심미보철 치료에는 라미네이트 외에도 올세라믹이나 레진 등도 활용됩니다. 자신의 치아 상태와 원하는 결과에 따라 심미보철 치료 방법이 달라질 수 있는 만큼 전문의와의 진단과 상담을 통해 결정하는 것이 좋습니다.


심미보철 치료는 자신의 치아 모양과 상태 및 형태 등을 정확하게 분석하고, 이에 맞는 보철물을 제작한 뒤 시술하게 됩니다. 따라서, 이에 대한 임상경험과 실력을 가진 의료진인지를 확인하고, 진단 장비가 잘 갖춰져 있는 지도 따져보는 것이 중요합니다.


또한, 충치나 잇몸질환 등은 심미보철 치료 시 부작용을 일으킬 수 있으므로 이를 반드시 치료한 후 시술에 나서야 합니다. 라미네이트 같은 심미보철 치료 후에는 자극적인 음식이나 색소가 들어간 음식, 단단하고 끈적이는 먹거리는 반드시 피해 주어야 합니다.


진료4 (14).JPG

심미보철 치료는 시술 기간도 짧은 편이고, 방법도 비교적 간단해 많은 분들의 선택을 받고 있습니다. 치아의 심미적 문제로 고민하고 있다면 심미보철 치료를 고려해 보시기 바랍니다.


핸디캡이었던 치아 문제가 생각보다 간단히 해결될 수 있고, 건강하고 아름다운 치아로 활짝 웃는 자신의 모습도 발견할 수 있을 겁니다.








keyword