brunch

무삭제라미네이트 누구나 가능한 것은 아닙니다!

무삭제라미네이트 가능한 경우

by 허영준
무삭제라미네이트 누구나 가능한 것은 아닙니다!


‘라미네이트’라고 들어보셨죠? 하얗고 고른 치아를 가진 연예인들 중 본인이 라미네이트를 했다고 공공연하게 밝히는 경우도 많이 볼 수 있을 정도로 요즘에는 연예인이 아니더라도 라미네이트에 대해 문의하시는 분들이 많아졌습니다. 하지만 치아를 삭제해야 한다는 이야기를 듣고 나면 선뜻 라미네이트 하기를 꺼리게 됩니다. 그렇다 보니 치아 삭제를 하지 않는 ‘무삭제 라미네이트’에 대한 관심이 높아지고 있습니다. 오늘은 무삭제 라미네이트에 대해 살펴보겠습니다.



무삭제라미네이트를 얘기하기 전에 먼저 라미네이트에 대해 살펴보자면,


라미네이트는 치아의 겉면을 다듬어 삭제한 후 인조 손톱 같은 도자기로 된 얇은 보철물을 치아 겉면에 붙여서 모양을 만들어주는 시술입니다. 치아교정처럼 오랜 기간이 필요하지 않고, 단기간에 교정 효과를 볼 수 있어 최근 많이 선호하고 있습니다.

하지만 치아를 삭제해야 하는 단점이 있죠. 치아 표면을 약 0.5~0.7mm 정도 삭제해야 하기 때문에 라미네이트 시술 후 시린 증상을 호소하는 분들이 종종 있습니다. 치아를 삭제하다 보니 아무래도 치아 수명이 단축될 수밖에 없고 신경손상이 발생할 수 있습니다.


20791227.jpg




이런 단점을 보완한 라미네이트가 무삭제라미네이트 입니다.


무삭제 라미네이트는 기존 라미네이트보다 얇게, 약 0.1mm 정도로 만들어져 치아 표면 삭제 없이도 시술이 가능합니다. 또한 강화 레진으로 제작되어 치아색과 유사하게 제작이 가능하고 강도도 우수하여 쉽게 깨지거나 파절 될 위험이 낮고 수명도 오래갑니다.

치아를 삭제하지 않기 때문에 신경손상이나 시림 현상이 없고 자연치아를 보존할 수 있다는 것은 무삭제라미네이트의 큰 장점입니다.

하지만 무삭제라미네이트 하고 싶다고 누구나 할 수 있는 것은 아닙니다. 치아를 삭제하지 않고 진행하다 보니 시술이 제한적일 수밖에 없습니다.




그렇다면 무삭제라미네이트가 적합한 경우는 어떤 경우일까요?


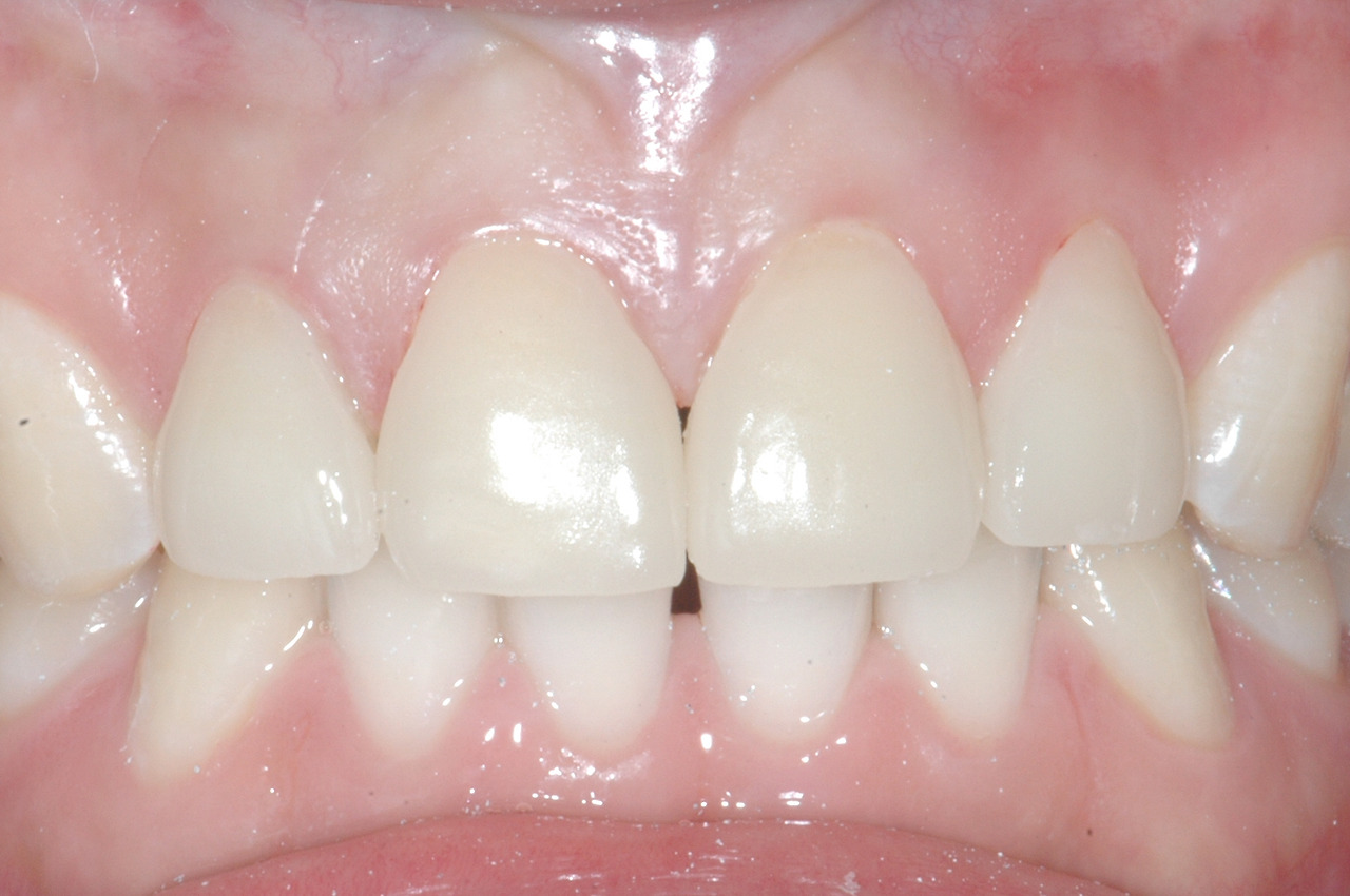
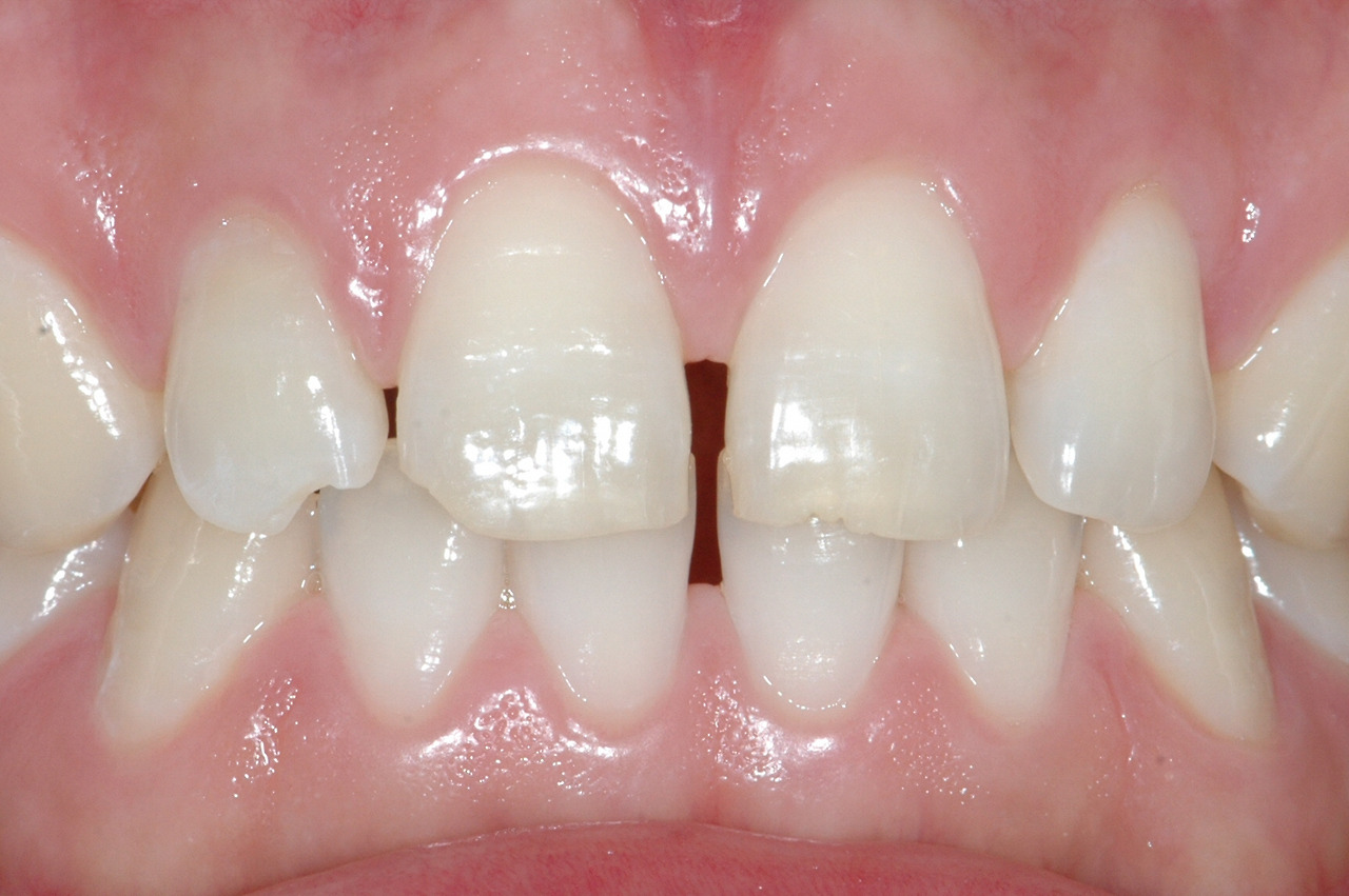
가장 많이 적용되는 예는 앞니가 벌어져 있는 경우입니다. 이런 경우에는 벌어진 공간과 자연치아를 얇은 보철물로 수복해 형태 만들기가 수월합니다.

라미1.jpg
라미네.jpg


왜소치의 경우에도 치아삭제가 필요 없이 라미네이트가 가능합니다.

치아가 마모된 경우에도 무삭제라미네이트가 적합합니다.

변색된 치아도 무삭제라미네이트로 보완이 가능합니다.

그 외에도 앞니의 모양이 이상하거나 삐뚤삐뚤한 정도가 경미할 때 가능합니다.




무삭제라미네이트 시술은 주로 심미적인 이유로 시행되기 때문에 색상, 강도뿐 아니라 주변 치아와의 조화나 경계면 설정 등 섬세한 기술이 요구됩니다. 경험이 많고 정확하고 꼼꼼하게 시행하는 치과병원에서 하는 것을 추천합니다.

특히, 라미네이트를 접착하는 기술이 중요합니다. 탈락이나 파절률을 낮추고 내구성과 유지력을 높여 수명을 높일 수 있을 뿐 아니라 다양한 색상의 접착제로 세밀한 색상 조정이 가능한 것도 접착 기술이 중요한 이유입니다.





무삭제라미네이트나 라미네이트를 하신 분들이 주의해야 할 사항이 있는데요.


탈락과 변색을 방지하기 위해서는 자극적인 음식, 색소가 들어간 음식, 단단하고 끈적거리는 음식은 피하는 것이 좋습니다.

또한 충치나 잇몸질환은 라미네이트에 부작용을 일으키기 때문에 구강위생관리에 철저해야 합니다.


상담 (8).JPG


얼굴 성형뿐 아니라 치아성형에 대한 관심도가 점차 증가하고 있는 만큼, 라미네이트나 무삭제라미네이트 시술을 하는 분들도 점차 증가하는 추세입니다. 하지만, 무분별한 시술로 부작용을 호소하는 경우도 적지 않으니 무엇보다 자연 치아 삭제를 최소화하는 방향에서 최대한의 효과를 얻을 수 있도록 하는 것이 중요하겠습니다.


벌어진 앞니 등으로 고민이라면 노원다인치과병원에서 여러 가지 상황에 따른 라미네이트 상담을 받아보세요!!





keyword
작가의 이전글치료 전 '치아 엑스레이', 꼭 찍어야 하나요?