brunch

앞니 벌어짐, 나에게 맞는 치료방법은 뭐가 좋을까?

앞니 벌어짐 원인 및 치료방법

by 허영준
앞니 벌어짐, 나에게 맞는 치료방법은 뭐가 좋을까?


앞니 벌어짐 때문에 맘 놓고 웃지 못하는 분들 있으시죠? 대인관계에서 자신감을 잃고 위축되게 만드는 앞니 벌어짐은 골칫거리 중의 하나입니다. 특히, 앞니는 심미적으로 눈에 띄는 부위로 치료가 시급 한데요. 오늘은 앞니 벌어짐 원인 및 치료 방법에 대해 살펴보도록 하겠습니다.




대부분의 부정교합이 치아에 비해 잇몸의 공간이 부족해 생기는 반면, 앞니 벌어짐은 오히려 잇몸 공간이 남아서 생기는 경우입니다.

선천적으로 영구치가 없거나 치아 크기가 다른 치아에 비해 왜소한 경우에도 벌어짐 현상이 나타날 수 있습니다. 치아가 빠진 후 방치할 경우 옆 치아가 이동하면서 치아 사이가 벌어지기도 하죠. 손가락을 빨거나 혀 내밀기 등의 잘못된 습관이 오래되어 앞니 벌어짐이 생기기도 합니다. 잇몸 질환도 앞니 벌어짐의 원인 중 하나입니다.


라미1.jpg


이렇게 앞니 벌어짐은 다양한 원인으로 인해 발생하게 되는데요. 사람마다 정도의 차이도 있고, 주변 치아와의 조화도 고려하여 치료를 해야 합니다.




앞니 벌어짐 치료방법은 크게 교정치료방법과 심미치료 방법이 있습니다.


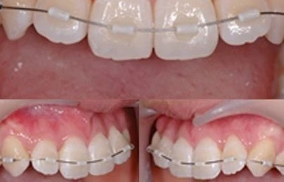
교정치료는 치아 상태에 따라 부분교정으로 가능한 경우도 있고, 전체 교정을 해야 할 수도 있습니다. 다른 치아는 문제가 없고 앞니만 벌어진 경우에는 부분교정으로 간단하게 치료할 수 있습니다.

3~6개월 정도의 기간으로 짧게 끝나고, 치아 삭제의 부담이 없어 요즘 많이 선호하는 치료방법입니다. 하지만 앞니만의 문제가 아닌 경우에는 전체 교정을 해야 할 수 도 있기 때문에 교정전문의와 상담을 통해 적절한 치료방법을 선택하는 것이 중요합니다.

교정치료는 치아에 무리가 없이 치료할 수 있는 방법으로 가장 안전하고 건강한 방법입니다.



하지만 치아교정은 아무래도 치료기간이 오래 걸리다 보니 단기간에 할 수 있는 방법을 찾으시는 분들이 많아졌는데요. 라미네이트나 올세라믹 등 심미치료로 진행하기도 합니다. 연예인들의 경우, 단기간에 가지런한 치아로 나타나는 경우를 많이 보셨을 텐데요. 이런 경우, 대부분 라미네이트나 올세라믹 등을 했다고 보면 됩니다.

올세라믹의 경우에는 기존의 치아를 삭제해 전체적으로 감싸 씌워주는 방법입니다. 치아 삭제량이 많다는 단점이 있지만 적용범위가 넓어 많이 활용되고 있습니다.


20791227.jpg


라미네이트의 경우에도 치아삭제를 진행하지만 치아 겉면만 살짝 다듬어 얇게 삭제한 후 얇은 보철물을 치아 겉면에 붙이는 방식으로, 올세라믹 치료보다는 치아삭제량이 적습니다. 상태에 따라 삭제 없이 진행하는 무삭제 라미네이트로 시술할 수도 있습니다.

구강 상태에 따라 무삭제라미네이트가 가능한 경우도 있고, 치아삭제를 많이 하는 올세라믹을 해야 하는 경우도 있기 때문에 반드시 전문의와 충분한 상담을 통해 진행하시기 바랍니다.

특히, 치아삭제를 해야 하는 심미치료의 경우에는 치아 시림 현상이 발생할 수 있고, 변색이나 부식, 깨짐 등이 발생할 수 있기 때문에 잘 따져보고 진행하는 것이 좋습니다.




지금까지 앞니 벌어짐 치료방법에 대해 살펴봤는데요.


요즘에는 새로운 치료기술이 도입되면서 심미치료를 하는 분들이 늘어나고 있습니다. 하지만 치아 삭제의 부담을 안고 하는 심미치료는 장기적 볼 때 치아에 무리가 될 수밖에 없습니다.

교정치료의 경우에도 부분교정 등으로 시간이 단축되고, 심미적인 교정장치도 다양해 교정에 대한 부담이 줄었기 때문에 치아의 건강과 심미성을 모두 고려한다면 교정치료가 좋은 선택지입니다.


진료상담6-1 (17).JPG


앞니 벌어짐 때문에 고민이시라면 전문의와 충분한 상담을 통해 치아에 부담을 덜 주는 방향으로 치료방법을 선택하는 것을 추천드립니다.




keyword