brunch

나에게 맞는 벌어진 치아 치료법은?

벌어진 치아 치료법

by 허영준
나에게 맞는 벌어진 치아 치료법은?


치아가 삐뚤게 겹쳐 난 것도 문제지만 치아 사이가 벌어진 것도 보기에 좋지 않죠. 특히, 앞니의 경우에는 인상을 좌우하기 때문에 더욱 신경이 쓰이는데요. 심리적으로도 위축되고 발음도 새는 등 의사소통에도 문제가 발생합니다. 그렇다면 이렇게 벌어진 치아는 어떻게 치료해야 할까요? 오늘은 벌어진 치아 때문에 고민이신 분들을 위해 벌어진 치아 치료법에 대해 알아보도록 하겠습니다.




치아가 벌어진 데에는 여러 가지 원인이 있습니다.


부정교합이 주로 잇몸 공간이 부족하여 생기는데 반해 공간이 남는 경우에는 치아 사이가 벌어집니다.

선천적으로 영구치 개수가 정상보다 적은 경우에도 자리가 남아 치아가 벌어질 수 있습니다.

치아 크기가 왜소한 기형 치아가 있는 경우에도 벌어진 치아가 될 수 있습니다.

공간이 남지 않아도 치아가 돌출되면서 벌어짐 현상이 나타나기도 합니다.

나이가 들면서 잇몸질환이 진행되어 치아 사이가 벌어지기도 합니다.


라미1.jpg


이렇게 치아 사이가 벌어지는 데는 다양한 원인이 있는데요. 각기 개인에 따라 그 양상이 다르고 치료방법도 여러 가지가 있습니다.




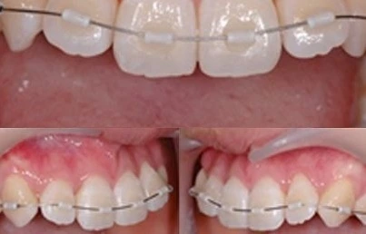
가장 건강한 치료방법은 치아교정입니다.

벌어진 치아 교정치료는 치아 삭제 없이 교정을 할 수 있다는 점이 장점입니다. 치아 상태에 따라서 부분교정만으로도 가능한 경우가 있고, 치아 전체를 교정치료해야 할 수도 있습니다. 앞니만 벌어진 경우에는 부분교정으로 약 3~6개월 정도의 짧은 기간에 교정치료가 가능하기 때문에 큰 부담이 없습니다.



벌어진 틈이 적은 경우 레진으로 치료가 가능합니다.

레진 치료는 벌어진 치아의 틈새를 치아 색과 비슷한 플라스틱 재질의 레진으로 치아 모양에 맞게 채우는 방식입니다. 1회 방문으로 치료가 가능하고, 치료가 간단하며 치아 삭제가 거의 없습니다.


라미네이트로 벌어진 치아 치료를 할 수도 있습니다.

라미네이트는 주로 앞니에 많이 사용되는 심미치료 방법으로, 0.5~0.7mm 정도의 치아 표면을 깎아 손톱 모양의 도자기를 붙여 틈새를 보정하는 방식입니다. 치아 사이의 벌어진 정도가 3mm 이내로 적은 경우 주로 사용됩니다. 경우에 따라 치아를 삭제하지 않고 무삭제 라미네이트로 진행할 수도 있습니다.

특수한 접착제를 사용해 유지력이 좋고 세라믹에 비해 치아를 덜 깎아도 됩니다.


라미네.jpg


올세라믹을 이용해 벌어진 치아를 치료할 수도 있습니다.

올세라믹은 라미네이트와 달리 치아를 삭제해 세라믹을 전체적으로 씌우는 방식입니다. 2주 동안 2~3회 내원으로 치료가 가능하고, 실제 치아와 유사한 색상과 자연스러운 모양으로 심미적으로 뛰어납니다. 다만 치아 삭제량이 많고 변색이나 부식, 깨짐이 발생할 수 있는데요. 주로 앞니에 많이 사용됩니다.




요즘 심미치료 방법으로 많이 선호하는 라미네이트나 올세라믹의 경우에는 단기간에 치아성형이 가능해 각광받고 있습니다. 하지만 치아 삭제를 해야 한다는 점이 부담으로 작용하는데요. 아무래도 치아건강에는 무리가 갈 수밖에 없습니다.

반면에 교정치료는 시간은 오래 걸리지만 치아 삭제를 하지 않고 진행하는 자연치아를 유지하는 가장 건강한 방법입니다.


상담1 (3).JPG


개인마다 벌어진 치아의 원인이나 양상이 다르기 때문에 담당의와 충분한 상담을 통해 본인에게 맞는 적절한 치료를 하시는 것이 좋습니다.




keyword
작가의 이전글불편했던 인상채득, 첨단 장비로 편하게 받아보세요~