brunch

과개교합교정이 필요한 이유는 무엇일까요?

과개교합교정의 모든 것

by 허영준
과개교합교정이 필요한 이유는 무엇일까요?



교합은 치아의 맞물림을 의미합니다. 윗니와 아랫니가 심미적·기능적 이상 없이 잘 맞물린 상태가 바른 교합인데요, 다물었을 때 윗니가 아랫니를 살짝 덮는 정도가 이에 해당합니다.


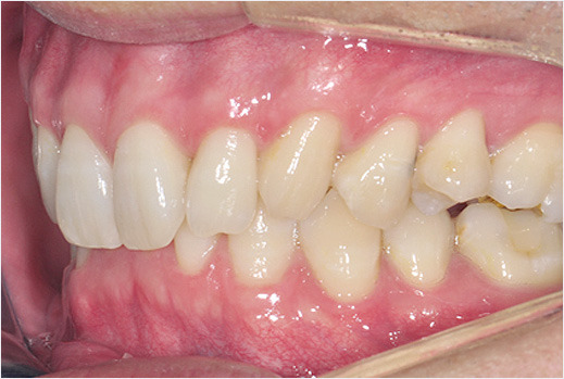
반대로 윗니와 아랫니가 제대로 맞물리지 못하고 비정상적인 교합이 일어난 상태를 부정교합이라고 말합니다. 여러 요인에 의해 다양한 부정교합이 나타나는데, 그중 윗니가 아랫니를 과도하게 덮고 있는 부정교합을 '과개교합'이라고 합니다.


과개교합은 보통 윗니가 아랫니를 2~3mm 이상 덮고 있는데요, 심한 경우는 아랫니가 안 보일 정도가 되기도 합니다. 이렇다 보니 윗니가 아랫니보다 앞으로 많이 나오게 되어 입이 돌출돼 보이거나 턱이 짧아 보이기도 하고, 교합이 바르지 않다 보니 음식을 씹는 일이 힘들어지기도 합니다.


따라서, 과개교합이 있다면 치료를 통해 정상적인 교합으로 회복해야 치아의 기능을 유지하며 지낼 수 있습니다. 특히 어린이들은 반드시 과개교합을 교정하는 것이 좋습니다.



# 과개교합의 원인과 증상


그렇다면, 부정교합인 과개교합이 발생하는 원인은 무엇일까요?

과개교합은 선천적 원인과 후천적 원인에 의해 나타나는데요, 이중 선천적 원인으로는 골격성 부정교합이 꼽힙니다. 골격성 부정교합은 위아래 턱뼈 간의 위치에 부조화가 있는 것으로, 치아는 물론 턱관절에도 골격적인 부조화가 나타남으로 과개교합을 일으키지요.


후천적 원인은 이갈이 등으로 인해 어금니 부위가 심하게 마모되어 치관의 길이가 짧아진 경우를 들 수 있습니다. 또한, 여러 개의 어금니가 상실되어 전체적인 치아 높이, 즉 교합이 낮아지면 과개교합이 생기기도 합니다.


과개교합이 생기면 다양한 증상들이 나타납니다. 우선, 얼굴이 짧아져 턱이 사각턱처럼 보이게 돼 심미적 만족감이 떨어지게 됩니다. 또한, 음식을 씹을 때마다 턱관절 머리가 턱관절 뼈에 부딪히며 턱관절 손상을 가져올 수 있습니다.


아래턱의 앞니가 위턱의 앞니 뒤편 잇몸에 지속적으로 부딪히기 때문에 그 부분이 헐거나 염증이 생겨 잇몸질환이 발생할 수도 있습니다. 아울러 위턱의 앞니 안쪽이 혀에 닿는 힘이 강해 치아가 마모되기도 하지요. 오랜 시간 아래턱의 앞니가 위턱의 앞니에 부딪히다 보면 흔들려서 뻐드렁니가 될 수도 있고 앞니 사이가 벌어질 수도 있습니다.



twi001t3122333.jpg

# 과개교합의 치료방법


치아의 기능은 물론 심미적으로도 지장을 주는 과개교합은 교정을 통해 치료할 수 있습니다. 하지만 개인의 상태에 따라 치료법이 달라질 수 있기 때문에 정확한 상태를 진단하는 것은 필수입니다.


과개교합교정을 위해서는 어금니의 높이를 높이기도 하고 일반적인 교정용 호선으로 조절하기도 하는데요, 성장기의 골격 문제를 가지고 있는 경우라면 구외 교정장치와 함께 교합 거상판을 사용하기도 합니다.


11세 미만 어린이의 경우, 전방 교합 거상판을 장착해 윗니와 아랫니 사이를 띄워주면 아래턱이 전방으로 자연스럽게 움직일 수 있게 됩니다. 반면, 성인의 경우에는 적절한 교정 장치를 장착해 튀어나온 앞니를 교정해 주고 낮게 자리한 어금니를 정출 해 교합 상태를 개선시키게 됩니다.


과개교합교정은 정밀한 진단이 아주 중요합니다. 제가 일하는 노원 다인치과병원에서는 3D CT와 구강 내 사진 촬영, 인상 체득, 엑스레이 촬영 등을 통해 구강 내부와 안면 부위를 세세하게 점검하며 전체적인 상태를 파악합니다. 그런 다음, 환자의 상태에 최적화된 치료 방법을 계획하고, 치료에 나서게 되지요.


부정교합에 대한 수많은 임상경험과 치료 데이터가 있기 때문에 과개교합교정 시 치료계획을 세우고 진행하는 데도 매우 유용합니다.


진료상담6-1 (30).JPG

과개교합교정은 구강상태 및 치아배열, 안면 해부학적 구조까지 염두에 두고 치료를 진행해야 하는 만큼 난이도가 높은 치료에 속합니다. 따라서, 이 부분에 대한 임상경험과 전문지식을 가진 의료진에게 치료받는 것은 매우 중요합니다.


또한, 과개교합교정을 통해 충분히 정상적인 교합을 가질 수 있으니, 미루지 말고 즉시 과개교합교정 치료에 나서길 당부드리고 싶습니다.







keyword