치아교정, 치료 후 관리도 중요해요!

안정섭 교수 (치과교정과)

by SNUDH
96호 치과교정과.jpg

교정치료가 종료될 예정이라는 이야기를 듣게 되면 환자는 이제 곧 아무런 신경도 쓰지 않고 일체의 장치 없이 자유로운 일상생활을 만끽할 수 있을 것이라는 기대를 하는 경우가 있다. 하지만 교정치료를 받은 후 적절한 유지관리를 하지 않는다면 애써 얻은 가지런한 치아배열과 좋은 교합관계가 흐트러질 수 있다.


1. 교정치료 후 유지가 필요한 이유

치아를 이동시키면 잇몸뼈가 부위에 따라 흡수 또는 형성되고 치아를 잇몸뼈와 연결해 주는 조직 일부도 와해된다. 따라서 교정치료 직후에는 잇몸이 치아를 단단히 지지해 줄 수 없으며 정상적인 잇몸 구조라면 충분히 견딜 수 있는 크지 않은 힘에도 치아 배열이 흐트러질 수 있다. 따라서 치아를 지지해 주는 잇몸조직이 적절히 재구성될 때까지 치아의 위치를 잡아줄 필요가 있다. 그리고 비뚤어진 치아를 가지런히 배열하면 치아와 연

결된 잇몸의 섬유들이 원래 길이보다 늘어나게 되어 치아를 원래 위치로 되돌리려는 작용을 하므로, 섬유들이 새로운 위치에서 적응할 때까지 치아의 위치를 유지하여 줄 필요가 있다. 또한 성장기 환자의 경우 턱의 성장에 따라 치아 배열이 미세하게 바뀌며 적응해 나가는 과정이 수반되는데, 그 과정에서도 치열이 흐트러지거나 교합관계가 변할 수 있어 이를 방지해줄 필요가 있다.


2. 유지장치의 종류

가지런한 치아배열과 좋은 교합관계를 유지하기 위해 교정치료 후 ‘유지장치’를 사용하게 된다. 일반적으로 널리 사용되는 장치는 앞니의 안쪽에 부착하는 ‘고정식 유지장치’와 환자가 탈착할 수 있는 ‘가철식 유지장치’이다. 이와 같은 유지장치는 환자가 가졌던 부정교합 및 환자의 치료 후 상태에 따라 적절히 디자인하여 제작된다.

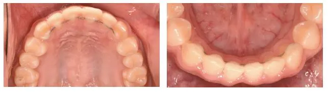
96호 병원보 20.JPG 그림1. 고정식 유지장치

교정치료를 종료한 직후 앞니의 치아 배열은 특히 흐트러지기 쉬우며 이를 방지하기 위해 교정치료를 종료하

기 전 또는 직후에 얇은 철사를 앞니의 안쪽에 부착하게 되는데 이것이 고정식 유지장치이다 (그림 1). 일반적인 교정장치와 달리 치아의 안쪽에 장치가 부착되므로 겉으로는 잘 보이지 않는다.

96호 병원보 21.JPG 그림2. 일반적인 가철식 유지장치

가철식 유지장치는 고정식 유지장치와 달리 환자가 원할 때 착탈이 가능한 장치로 (그림 2), 교정치료 종료 후

보통 3개월 정도는 식사 및 양치할 때를 제외하고 자는 시간도 포함하여 거의 하루 종일 사용하게 된다. 이후에는 환자의 상태에 따라 밤에 잘 때 착용하는 등 사용 시간을 줄일 수 있다. 일반적인 가철식 유지장치는 치

과용 플라스틱 재료와 철사로 이루어져 있어 장치를 착용하고 있는 것을 다른 사람이 쉽게 알 수 있다 (그림 2).

96호 병원보 22.JPG 그림3. 투명 가철식 유지장치

심미적으로 문제가 된다면 경우에 따라 투명 가철식 유지장치를 선택할 수도 있다 (그림 3). 다만 투명 유지장치는 장기간 사용 시 착색 및 변색이 되어 보기에 좋지 않게 되고 깨지거나 구멍이 나는 등 내구성이 떨어져 수개월에 한번 재제작이 필요할 수 있다는 단점이 있다.


3. 고정식 유지장치의 관리

고정식 유지장치는 치아에 부착되어 있어 환자가 임의로 제거할 수 없다. 처음에는 다소 이물감을 느낄 수도 있지만 대개 빠른 시일 내에 적응하여 불편감은 거의 느끼지 못하게 된다. 장치를 착탈할 필요가 없어 편리하다는 장점이 있지만, 구강위생 관리가 소홀할 경우 장치 주변에 음식물이 잔존되고 치석이 생기는 경우가 있다. 특히 타액이 나오는 부분이 인접한 아래 앞니 유지장치 주위에 치석이 생기는 경우가 많으므로, 이를 방지하려면 양치질 시 꼼꼼히 닦아줄 필요가 있다.

고정식 유지장치 철사는 탄성이 있으며 잘 변형되지 않아 일상생활 및 식사 시 망가지는 경우는 거의 없으나, 지나치게 단단한 음식물을 섭취할 경우 강한 외력에 철사가 탈락되거나 변형될 수도 있다.

고정식 유지장치가 부착된 부위는 치실을 일반적인 방법으로 사용하기 어려우며, 잘못 사용하여 철사에 무리한 힘을 주게 되면 장치가 변형될 우려가 있다. 시중에 유지장치가 부착된 상태로도 사용할 수 있는 치실이 판매되고 있어 치과의사의 안내를 받아 사용할 수 있다. 고정식 유지장치에 발생한 문제는 치아 배열의 변화로 이어질 수 있으므로 주기적으로 치과를 방문하여 검진을 받을 필요가 있다.


4. 가철식 유지장치의 관리

가철식 유지장치가 명백히 손상되었거나 분실한 경우가 아니더라도 장치에 강한 충격이 가해졌거나, 잘 맞지 않는다고 느껴질 경우 치과의사를 찾아 검진을 받아보는 것이 좋으며, 경우에 따라 수리 또는 재제작이 필요할 수 있다. 가철식 유지장치를 착용한 채로 식사를 하면 장치가 망가질 우려가 있으므로 장치를 빼 두어야 하는데, 외식을 할 경우 남들의 시선이 부담스러워 빼놓은 장치를 티슈 등으로 감싸두고 식사하다가 이를 잊고 식당을 나와 결국 장치를 분실하는 경우가 발생하기도 한다. 따라서 장치에 불필요한 외력이 가해지는 것을 막고 분실을 방지하기 위해 장치를 사용하지 않는 동안에는 전용 통에 넣어 보관하는 것을 추천한다.

또한 장치를 적절히 세척하지 않을 경우 가철식 유지장치에도 치석이 부착될 수 있으며 칫솔을 이용해 장치를 주기적으로 닦아주면 이러한 문제를 줄일 수 있다. 통상적으로 양치질을 하고 칫솔에서 치약을 헹구어 낸 뒤 가철식 유지장치를 닦아줄 것을 권장하는데, 치약을 사용하여 장치를 닦으면 장치 표면이 마모되기 때문이다. 간혹 장치를 소독하기 위해 뜨거운 물에 장치를 삶아도 되는지 문의하는 환자도 있는데, 이 경우 장치의 플라스틱 부분이 변형되어 사용할 수 없게 된다. 시중에 교정용 유지장치 소독을 위한 세정제가 판매되고 있는데, 장치 디자인에 따라 특정 세정제를 사용할 경우 장치의 철사 용접 부분이 망가지는 경우도 있어 사용 전 치과의사에게 문의할 필요가 있다.


5. 교정치료 후 치아 관리

교정치료 종료 후 유지장치에 대한 관리를 제외하면 식습관 등 일상적인 생활에 큰 주의점은 없다. 다만 주기적 치과 방문을 통해 교정치료 결과가 잘 유지되고 있는지, 고정식 및 가철식 유지장치에는 문제가 없는지 확인할 필요가 있다. 따라서 유지 관리 중 치과에 방문할 때는 가철식 유지장치를 지참해야 한다.

고정식 유지장치를 언제까지 부착해 두어야 할지, 가철식 유지장치는 언제까지 사용해야 할지에 대해 명확한 정답은 없다. 다만 치아 위치가 원래대로 되돌아가 배열이 흐트러지거나 교합관계가 변하는 등 우리가 흔히 ‘재발’이라고 부르는 부정교합으로의 회귀 현상은 일정 기간 동안의 적극적 유지관리를 통해 최소화할 필요가 있다. 성장기 환자는 잔여 성장 기간 동안 적극적 유지관리가 필요하고, 성인기 환자도 최소 1년 이상의 유지관리가 필요하다.

하지만 사람의 치아는 매일 식사 및 발음 등의 기능을 하며 지속적으로 외력을 받을 뿐만 아니라 사용함에 따라 마모되고 이에 따라 평생동안 생리적으로 이동할 수 있다. 따라서 공들여 부정교합을 치료하여 좋은 교합관계를 얻었다 하더라도 이것을 잘 관리된 조각상처럼 반영구적으로 유지하는 것은 어렵다. 지속적인 유지관리를 통해 이와 같은 변화를 지연시켜주는 효과를 기대할 수 있으나, 유지장치를 잘 사용했다 하더라도 세월이 지나면서 치아의 배열은 조금씩 자연스럽게 변화하게 마련이다. 어떤 면에서는 노화의 과정과 유사하다고 할 수 있다.

적극적 유지관리가 필요한 기간 이후에도 가지런한 치열과 좋은 교합을 가능한 오래 유지하고 싶으며, 유지장치의 사용에 익숙해져 크게 불편감을 느끼지 못한다면 같은 방식으로 계속해서 관리해 나갈 수 있다. 하지만 이러한 것들이 너무나 불편해 삶의 질을 크게 해친다고 여겨질 때는 치과의사와 상의를 통해 유지장치 사용 중단을 고려할 수 있다. 다만 이 경우 정상적인 생리적 치아이동에 의해 치아 배열이 다소 변할 수 있다는 점을 감안해야 한다.









이전 07화2024년도 제16회 질 향상(QI)활동 경진대회 개최