임플란트 유지관리방법

구기태 교수 (치주과)

by SNUDH

건강한 잇몸이란 무엇인지 그리고 풍치는 왜 생기는지에 대해 알아보고, 마지막으로 많은 분들이 궁금해 하시는 임플란트를 오래 사용하기 위한 관리방법에 대해 이야기해 보도록 하겠다.

임플란트 -01.JPG


건강한 잇몸이란?

먼저, 잇몸에 대해 알아보겠다. 잇몸은 치아를 둘러싸고 지지하는 조직으로, 치은·치조골·치주인대·백악질로 구성된다. 건강한 잇몸은 선홍색을 띠며 치아에 단단히 부착되어 있고, 염증이 없으며 칫솔질시 출혈이 나타나지 않는 것이 특징이다.


풍치란 무엇일까?

풍치는 의학적으로 ‘치주질환’을 의미한다. 이는 잇몸에 염증이 생기면서 시작되며, 증상이 악화될 경우 잇몸뼈가 손상되어 결국 치아가 빠질 수도 있는 진행성 질환이다. 특히 40세 이후에는 인구의 80~90%가 잇몸병을 경험할 만큼 매우 흔하지만, 방치하면 치아 상실로 이어질 수 있어 꾸준한 관리가 반드시 필요하다.

광고에서 자주 들을 수 있는 ‘붓고, 시리고, 흔들리는’ 증상은 모두 잇몸 염증을 의심할 수 있는 대표적 신호이다. 이러한 증상이 나타난다면 정확한 진단과 개인에 맞는 치료가 중요하다.

치주질환은 우리나라에서 감기 다음으로 흔한 질환으로, 그 빈도는 점차 증가하는 추세이다. 2022년 보건의료 통계에서도 치주질환은 60세 이후 가장 높은 진료 빈도를 보인 1위 질환으로 보고될 만큼 매우 흔하게 나타난다.


치주질환은 왜 발생할까?

치약 광고에서도 자주 등장하는 ‘플라그’는 치주질환의 주요 원인이다. 플라그는 칫솔질이 충분하지 않을 때 치아 표면에 계속 쌓이는 세균막으로, 시간이 지나면 굳어서 ‘치석’으로 변하게 된다.

플라그와 치석이 쌓이면 잇몸이 치아에서 서서히 떨어지며 ‘치주낭’이라는 틈이 생기는데, 이 틈을 통해 염증이 더 깊은 부위로 진행해 결국 치아를 뽑아야 하는 상황까지 이를 수 있다.

주요 증상으로는 잇몸의 발적(붉어짐)과 부종, 칫솔질 시 출혈 등이 있으며, 염증이 심해지면 고름이 나오거나 구취(입 냄새)가 생길 수 있다. 더 진행되면 통증과 함께 치아가 흔들리고, 심한 경우 자연적으로 치아가 탈락하기도 한다.


치주질환의 진단

치주질환은 시진(눈으로 확인), 엑스레이 검사, 그리고 다양한 임상검사를 통해 진단할 수 있다.

임상검사에는 잇몸주머니의 깊이를 측정하는 치주 탐침 검사가 사용되며, 건강한 잇몸에서는 탐침이 약 1~2mm 정도만 들어가지만, 염증이 있을 경우 더 깊게 침투하게 된다. 이때 탐침 과정에서 출혈 여부를 확인하고, 치아의 동요도(흔들림) 역시 함께 평가된다. 치주질환의 중요한 특징은 전신질환과의 밀접한 관련성이다. 대표적으로 당뇨병, 심혈관질환, 류마티스 관절염 등이 치주질환과 연관된 것으로 알려져 있다.

최근에는 만성 염증성 질환이라는 특성 때문에 뇌졸중, 나아가 여러 종류의 암 발생과의 연관성을 제시하는 연구도 발표되고 있어, 전신 건강을 위해서도 올바른 치주 관리가 무엇보다 중요하다.


치은염과 치주염

치은염은 치주염에 비해 질환의 진행 정도가 가볍고, 치료도 비교적 간단한 편이다. 스케일링과 올바른 구강관리만으로도 충분히 회복이 가능하며, 적절히 관리하면 정상적인 잇몸 상태로 돌아갈 수 있다. 반면 치주염은 염증 반응으로 인해 치아 주변의 골조직이 파괴되고, 잇몸주머니가 점차 깊어지는 등 더 심각한 진행 양상을 보인다. 치료를 받지 않으면 지속적으로 악화될 수 있는 질환이다.


치주염의 치료법

치주염의 치료는 우선 스케일링이 기본이 되며, 염증이 더 진행된 경우 치근 활택술 등의 비외과적 치료가 필요할 수 있고, 상황에 따라 잇몸 수술이 시행되기도 한다.

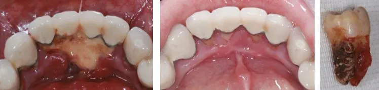
치주염.JPG
치은염.JPG
치주염(왼쪽) 과 치은염(오른쪽)

잇몸 수술은 비외과적 치료를 반복해도 호전되지 않을 경우 시행하는 치료 방법이다. 또한 모든 치주 치료에서 가장 핵심적인 요소는 지속적인 유지 관리이다. 유지관리의 간격과 기간은 환자의 구강 상태와 자가 관리 능력에 따라 크게 달라질 수 있다.


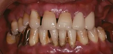
스케일링 전후.JPG 사진1, 2. 스케일링 전, 후

사진1, 2처럼 스케일링 전 후 호전되고 있는 부분을 볼 수 있으며 오른쪽 사진은 플라그와 치석이 방치되어 포도송이처럼 악화된 경우라고 할 수 있다.

임플란트 관리법

2019년 기준 세계에서 임플란트를 가장 많이 시술한 나라는 대한민국으로 압도적 1등이었고 의료보험제도가 큰 역할을 했다고 생각한다.

이에 따라, 보험 임플란트의 혜택을 받는 인구 또한 지속적으로 증가하고 있다. 하지만 임플란트 식립 건수가 늘어나는 만큼, 임플란트 제거술이 시행되는 사례도 급증하고 있다는 점에 주목할 필요가 있다.

이제 임플란트가 보편적인 치료술식으로 자리 잡은 만큼, 단순히 식립 자체에 초점을 맞추는 것을 넘어, 임플란트 주위 조직을 장기간 건강하게 유지하는 것이 더욱 중요한 과제가 되었다. 이는 단순한 치과적 문제를 넘어, 국민의 건강 수명을 연장하는 핵심 요소로 작용할 수 있기 때문이다.


임플란트 주위염

"치아 뽑고 임플란트 하면 끝 아닌가요?" 그렇지 않다. 임플란트 역시 자연치와 마찬가지로 잇몸 질환이 생길 수 있다. 치주질환과 유사한 형태의 염증이 임플란트 주변에서 발생하는데, 이를 ‘임플란트 주위염’이라고 한다. 플라그가 쌓이면 임플란트 주변의 잇몸뼈가 서서히 녹아 결국 임플란트가 흔들리거나 빠질 수도 있다.

최근 치주과학회 공식 저널에 실린 리뷰 논문에서는 임플란트 주위질환을 일으키는 주요 위험 요인을 다음과 같이 제시한다. 가장 큰 위험 요인은 치주질환의 과거력으로, 치주질환 경험이 있는 환자는 그렇지 않은 환자보다 2.29배 높은 위험을 보였다. 또한 불량한 구강 위생관리는 임플란트 실패 위험을 3.8배 증가시키는 것으로 보고되었다. 이 외에도 당뇨, 흡연, 음주, 장기간 고용량 항흡수제 사용 등이 임플란트 예후에 부정적 영향을 미칠 수 있다. 결국, 임플란트는 시술이 끝이 아니라 관리의 시작이다. 정기적인 점검과 꾸준한 위생 관리가 임플란트를 오래, 건강하게 유지하는 가장 중요한 방법이다.


임플란트의 유지 관리

임플란트의 유지 관리는 ‘병원에서 받는 전문 관리’와 ‘집에서 하는 일상 관리’로 나눌 수 있다.

집에서의 관리 방법은 일반 치주 관리와 크게 다르지 않다. 치실과 치간칫솔은 최소 하루 한 번 이상 사용하는 것이 좋으며, 치간칫솔의 크기는 치아 사이 공간에 맞춰 0.5mm에서 0.8mm 이상 중 선택하면 된다. 또한 딱딱하거나 질긴 음식은 피하고, 이갈기나 입술 깨물기 같은 구강 악습관도 교정하는 것이 바람직하다.

임플란트 시술 후 첫 해에는 3개월마다 치과를 방문하여 점검을 받는 것을 권한다. 정기적인 검진을 통해 치석을 제거하고 치주염을 예방하는 것이 임플란트 수명에 매우 중요하다. 생활 습관의 관리도 빼놓을 수 없다.


- 금연하기

- 당뇨병·고혈압 등 만성질환 철저히 관리하기

- 잘 맞지 않는 보철물 또는 틀니는 조기에 교체하기


잇몸뼈는 한 번 녹으면 다시 돌아오지 않으며, 잇몸병은 재발이 쉬워 평생 관리가 필요하다. “내 치아는 내가 지킨다”는 마음으로 매일 조금만 더 신경 쓴다면, 평생 건강한 치아로 맛있게 식사할 수 있다.


https://youtu.be/W6Fx0ubmkwo?si=1yziWeUCOyywe3jA


이전 07화치과병원이 깨어 있어야 하는 이유