[병원인턴] 천방지축 비위관(L-tube)

비위관, 어디까지 넣어봤니?

by 작문의

인턴의 3대 술기 중 하나인 비위관 삽입

이상하게 들릴 수도 있지만 나는 비위관 삽입을 하러 갈 때면 설렌다 (변태가 아니다)

왜냐하면 비위관 삽입의 성공 확률은 정말 랜덤이기 때문이다. 한 번에 들어갈 때도 있고, 30분을 해도 안 들어가는 경우가 있다.

그렇기에 오늘의 운세를 확인하는 것처럼 비위관 삽입으로 하루의 행운을 점쳐볼 수 있다.

한 번에 들어가면 오늘은 잘 풀리는 날, 잘 안 들어가면 오늘은 안 풀리는 날

인턴생활이 얼마나 재미없고 힘들면 이런 것에 의미를 부여하며 행복해 하냐고 궁금해할지 모르겠지만 그 궁금증을 입 밖으로 꺼내지 않길 바란다. 팩트는 아픈 법이니까

어쨌든 비위관 삽관을 하러 갈 때면 혼자 늘 생각한다.

오늘은 얼마나 걸릴까? 1분? 10분?

한 번에 잘 들어갈까? 5번? 10번? 그것도 아니면 30번 정도 시도해야 하나?

어떤 환자를 만나느냐, 또 그날의 손맛이 어떠냐에 따라 성공 확률이 0부터 100까지 정말 다양한 비위관 삽입

그래서 힘드려면 끝도 없이 힘들지만 한 번에 성공하면 또 그만큼 짜릿할 수가 없는 중독성 있는 술기이다.



비위관을 다 넣고 나면 잘 들어갔는지 확인을 해야 한다

입안에 튜브가 꼬여서 나오지 않았는지

시린지를 통해 공기를 넣었을 때 부글거리는 소리가 들리는지

시린지를 당겼을 때 위액이나 먹었던 음식이 딸려 나오는지

보통 이 세 가지가 모두 확인이 되면 비위관이 100% 들어갔다고 확신을 하고 Chest X-ray를 안 찍기도 한다.

하지만 이 세 가지 중에 하나라도 충족이 안되는 경우는 무조건 Chest X-ray를 찍어야 하는데, '어떻게 이럴 수가 있지 '하는 생각이 저절로 들게 하는 결과물들이 종종 나온다.


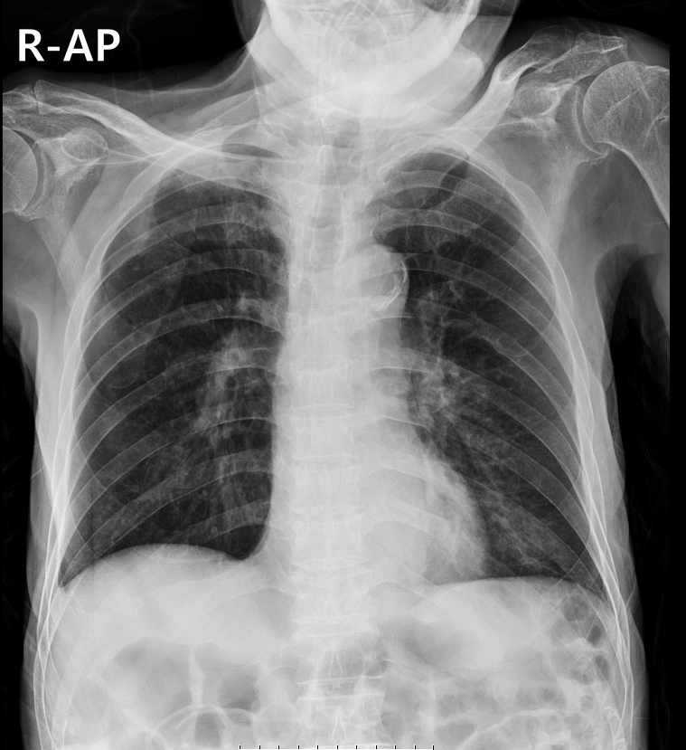
CMC_Talk%EF%BC%BF20240130%EF%BC%BF160431%EF%BC%BF21.png?type=w773 식도 중간에 꼬여버린 L-tube

위 사진을 보면 식도 중간에서 비위관(L-tube)가 꼬여있다.

입 밖으로 나오지도 않았고 70cm가 넘게 들어갔을 경우에는 이렇게 식도 중간에 꼬인 경우가 많다.

그 좁은 식도 안에서 어떻게 저런 식으로 튜브가 꼬였을까?

비위관의 끝은 나름 단단한 고무로 되어있어서 끝은 늘 일직선으로 되어있다. 그래서 더더욱 아래로 내려갔다가 다시 위로 올라오기가 쉽지 않은데, 식도까지 내려갔다가 다시 올라오는 경우가 흔하다는 사실이 참 신기하다.

식도 안에서 일어나는 일을 당최 볼 방법이 없으니 그저 비위관이 혼자 몸을 배배 꼬며 미끌미끌한 식도 벽에 머리를 처박고 그 반발력을 이용해 위로 다시 올라왔겠거니 하며 상상할 뿐이다.



1706597581223.jpg?type=w773


1년 동안 수도 없이 비위관을 넣다 보니 이런 일도 있더라.

이번에는 비위관이 자기 혼자 매듭을 지어버렸다. 그것도 그 좁은 식도 안에서

어떻게 고리를 만들었고 또 어떻게 그 안에 머리를 쑤셔 넣어 매듭을 완성했다.

이런 일이 생길 확률은 대체 몇 퍼센트나 될까?

아무리 환자분이 이리터블(Irritable) 하다고 해도, 내 손맛이 안 좋다고 해도 이런 일이 생길 수가 있나?

비위관 삽입의 세계는 넓고 기이한 일은 많다.

keyword
작가의 이전글[병원인턴] 욕하고 침 뱉는 환자들