23년 치과의사가 본 가장 삐뚤한 치아를 가진 여고생

치과가 무서워서... 1년을 미루다 온 그 아이

by 치아쌤 CHIA ssam


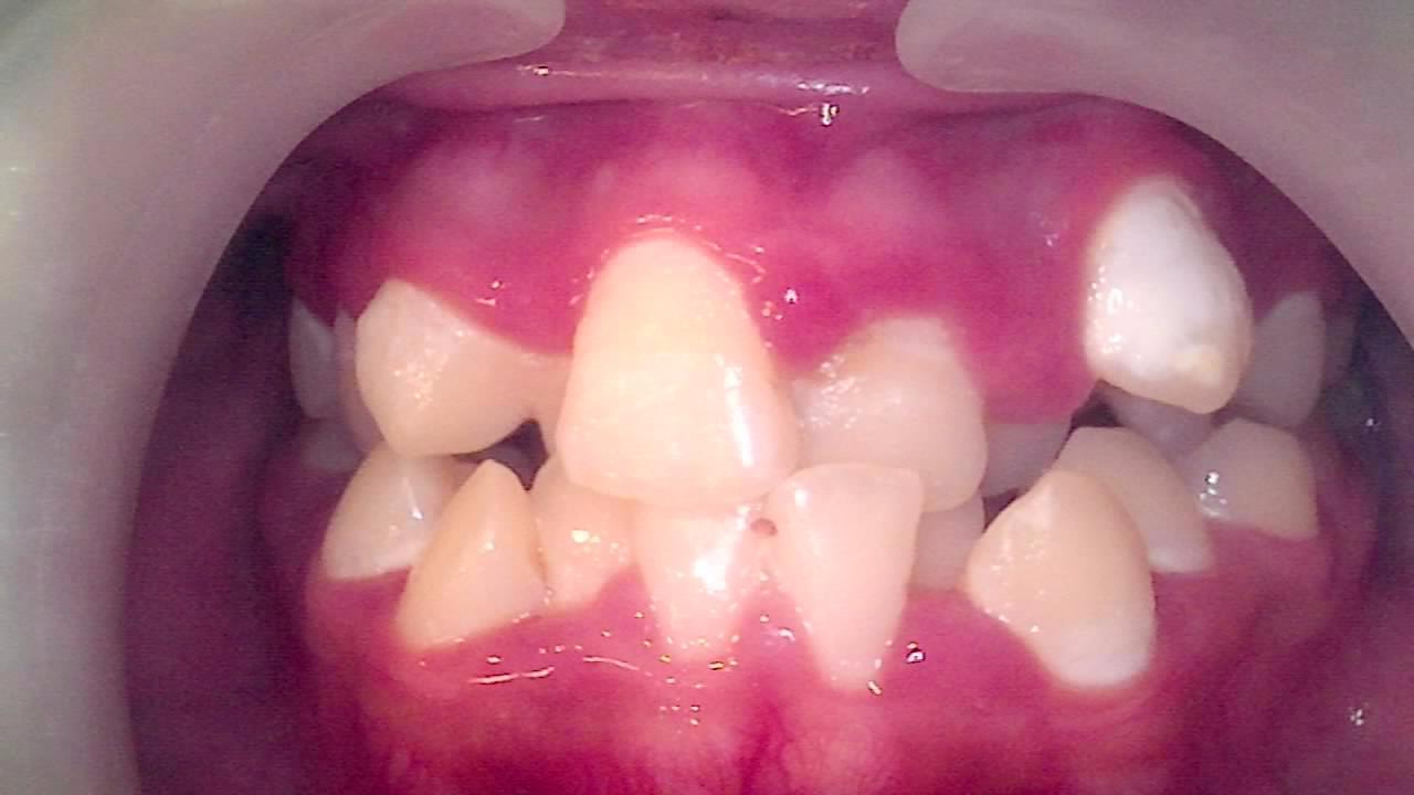
작년에 교정 상담을 받으러 온 고등학생이 1년 만에 다시 찾아왔어요. 수줍어하고 내향적인 여학생이었는데... 치아 상태는 더 안 좋아져 있었거든요.


23년 치과의사 생활 중에 top5 안에 들 만큼 치열이 심하게 삐뚤한 아이였어요. 그런데도 1년 전에는 "교정은 하고 싶은데... 치과가 무서워요"라며 계속 망설이더니 결국 치료를 시작하지 않았던 거예요.



IC20240220_144649_0260_0000D9A5.jpg


"그동안 왜 치과를 안 왔니?" 물으니까

여전히 "치과가 무서워서요"라고 하더라고요.

그럼 지금은 왜 왔냐고 물어보니, "치아가 너무 아프고... 예뻐지고 싶어서요"라고 작은 목소리로 답하는 거예요.





통증이 일상을 바꿔버린 1년


지금은 통증이 일상생활을 힘들게 할 만큼 불편해진 상태였습니다. 음식도 잘 못 먹는다고 하더라고요. 고등학생인데... 성장기에 제대로 먹지도 못하고, 아파서 집중도 안 되고...


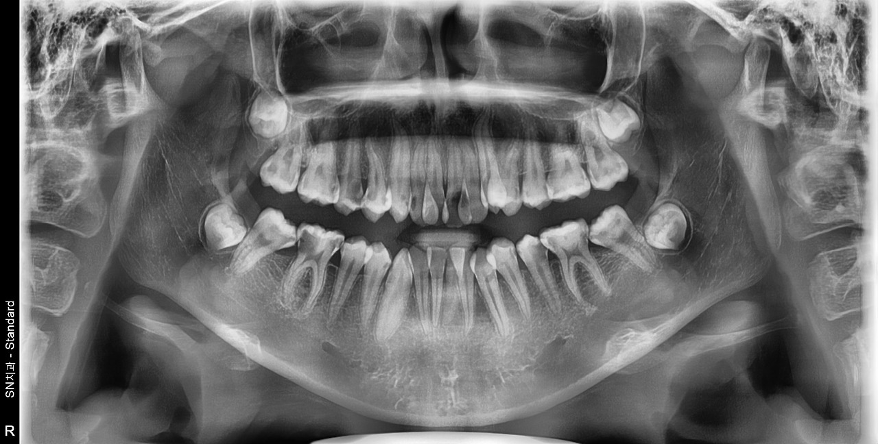
1년 전만 해도 간단한 충치치료에다가 교정치료를 바로 시작하면 될 상황이었는데, 지금은 발치해야 할 치아를 결정하고 나머지 24개 치아를 모두 치료한 뒤 교정을 시작해야 하는 상황이 되어버렸습니다.


그 아이를 보면서 정말 마음이 아팠습니다. 어릴 때부터 검진, 홈 메우기, 불소치료만 잘 받았어도... 조기 교정만 했어도 지금처럼 복잡하고 힘든 치료는 피할 수 있었을 텐데 말이에요.



IC20250823_131114_0278_00013BD6.jpg
PX20250823_130415_0000_00013BCB.jpg



예방의 중요성을 더 알려야겠다는 사명감


유튜브 '치아쌤', '안성대장 박선영'("투명한 치아쌤"에서 변경될 예정)을 운영하면서 예방에 대한 내용을 늘 말하고 있는데도, 아직 그것이 와 닿지 않는 분들이 있구나 하는 생각이 들었어요. 안타까움과 함께 사명감이 더 커졌습니다.


내 본업인 치아교정에 대한 것도 중요하지만, 예방치료의 필요성을 더 많이, 더 절실하게 알려야겠다는 생각이 들었거든요.





23년간 본 미뤄진 치료의 대가들


이런 일이 처음이 아닙니다. 30대에 치아교정을 고민했다가 50대가 되어서야 교정을 시작한 분도 계셨거든요. 그분은 부정교합 때문에 치아가 더 흔들리고 잇몸이 약해진 후에야 치료를 받으러 오셨어요.


또 8세 아이의 첫 번째 큰 어금니에 충치가 너무 심해서 "빨리 치료하자"고 말씀드렸는데, 보호자가 그냥 가신 적도 있었습니다. 결국 9살에 그 아이는 신경치료에 크라운까지 해야 했죠.





과거의 나를 돌아보며


사실 저도 어릴 때는 치과가 무서웠습니다. 그 시절에는 지금처럼 무통 치료 기술도 없었고, 치아 관리의 중요성을 알려주는 곳도 별로 없었어요. 그냥 '치아는 아프면 치료하면 되지' 정도로 생각했거든요.


치아 관리가 얼마나 중요한지, 예방이 얼마나 소중한지 몰랐던 겁니다. 그 시대에는 지금처럼 정보를 알려주는 곳도 딱히 없었고요.


그래서 더욱 이해해요. 그 고등학생의 마음도, 보호자들의 고민도...





수줍은 그 아이에게 해주고 싶은 말


진료의뢰서를 써주면서 그 아이에게 말했습니다. "이제 시작하는 거야. 치료가 좀 복잡해졌지만, 끝까지 함께 가자. 앞으로 네 미소가 훨씬 예뻐질 거야."


수줍어하던 그 아이가 고개를 끄덕이며 "네, 이제 열심히 할게요"라고 작은 목소리로 말하더라고요.


고등학생인데... 또래 친구들처럼 맘껏 웃지도 못하고, 음식도 제대로 못 먹고, 아픔을 참아가며 1년을 보낸 게 얼마나 힘들었을까 생각하니 정말 마음이 아팠습니다.





부모님들께 드리고 싶은 말씀


아이들의 치아는 정말 빨리 변합니다. 특히 교정의 경우, 성장기에 시작하면 훨씬 간단하게 해결될 수 있는 경우가 많아요.


"아직 어리니까 나중에", "유치니까 괜찮을 거야"라고 생각하지 마세요. 조기 발견, 조기 치료가 정말 중요합니다. 정기 검진만 잘 받아도 아이가 훨씬 덜 아프고, 부모님도 경제적 부담을 덜 수 있어요.





치과가 무서운 청소년들에게


혹시 지금 이 글을 보고 있는 청소년들 중에서도 치아가 아픈데 무서워서 미루고 있는 친구가 있을까요?


미루면 미룰수록 더 아파요. 더 복잡해지고, 더 오래 걸려요. 지금 용기를 내는 게 나중에 후회하는 것보다 훨씬 나아요.


요즘 치과는 예전과 많이 달라졌어요. 아프지 않게 치료할 수 있는 방법들도 많고, 무엇보다 여러분이 무서워하지 않도록 도와드릴 수 있어요.





18년간 안성에서 느낀 책임감


안성에서 18년간 치과를 운영하면서 수많은 아이들이 자라는 모습을 봐왔습니다. 어릴 때 처음 만났던 아이가 어느새 대학생이 되고, 직장인이 되고, 부모가 되는 모습을요.


그 긴 시간 동안 건강한 치아를 유지할 수 있도록 도와드리는 것이 제 역할이라고 생각해요. 특히 성장기 아이들에게는 더욱 그렇습니다.





마지막으로 전하고 싶은 마음


그 고등학생을 보내면서 다짐했어요. 앞으로 더 많은 분들에게 예방의 중요성을 알리겠다고, 조기 치료의 필요성을 더 절실하게 전하겠다고요.


유튜브와 블로그를 통해서, 그리고 진료실에서 만나는 한 분 한 분에게 정성스럽게 설명해드리겠다고요.


치과는 무서울 수 있어요. 특히 아이들에게는 더욱 그럴 수 있죠. 하지만 더 무서운 건 방치예요. 시간이 지날수록 상황은 더 어려워집니다.


지금 치아가 아픈 청소년이 있다면, 부모님과 함께 용기를 내서 치과에 가보세요. 그리고 부모님들도 아이의 정기 검진을 꼭 챙겨주세요.


건강한 치아는 평생의 자산이에요. 특히 성장기에 만들어지는 건강한 습관과 치아는 정말 소중한 선물이거든요.





"미루는 1년이 만드는 차이, 그것을 꼭 기억해 주세요."


2025년 8월 26일

안성대장 치아쌤 박선영

작가의 이전글보이지 않는 밤의 힘