산부인과에 간 남자

[본격 육아 에세이] 쌍둥이 키우고 있습니다. (6)

by 이희연

[오늘 진료 다 끝나셨고요, 나가시면서 환희맘 창구에서 다음번 진료 예약 하시고 수납하시고 가시면 됩니다.]


임신을 하게 되면 초반에는 2주 간격으로 산부인과를 찾게 된다. 그런 다음에는 초음파 검사 등의 다양한 검사와 진료를 통해 아가들은 잘 자라고 있는지 무슨 문제는 없는지에 대한 체크가 계속 이어진다. 결혼 전은 물론이거니와 결혼을 하고도 산부인과와는 거리가 있었던 30대 후반의 남자에게 산부인과는 너무나 새롭고도 낯선 공간이었다.


우리 부부는 출근 때문에 주로 토요일로 진료를 예약했다. 당연한 이야기겠지만 토요일에 산부인과는 그야말로 인산인해를 이루었다. 우리와 같이 평일에는 시간이 어려운 임산부와 남편들이 주말에 몰리는 건 어쩌면 어쩔 수 없는 일이기도 한데 이러한 풍경들을 보면서 지방소멸이다, 저출산이다 하며 대한민국의 미래를 걱정하는 뉴스들에 대한 잠깐의 의문을 품기도 했었다.

육아는 '함께' 지만 임신을 한 아내의 진료 시에 나는 철저한 '보호자' 겸 '동행자'가 된다. 병원에 가고 오는 길에 운전은 물론 그 외 다양한 심부름에도 기꺼이 할 수 있는 마음이 필요하다. 임신과 함께 여자는 매우 힘든 시기를 보내는 것이기 때문에 신체 변화가 없는(?) 남편들이 해야 할 가장 중요한 역할이라 생각한다.


이제 막 임신을 한 아내를 둔 남편이라면 명심하자. 철저하게 서포터가 되는 거다.


항상 진료를 마치고 예약을 잡고 가기 때문에 집에 가서 별도의 예약은 필요치 않았다. 예약 시간만 잘 적어두었다가 늦지 않게만 가면 차례대로 진료를 볼 수 있었다. 산부인과에 도착하면 가장 우선은 체중과 혈압을 체크하는 일이다.


[아 왜 이런 걸 찍는 거야~ 찍지 말라고~]


아내의 체중 앞에서 가만히 있을 남편이 얼마나 있겠나. 글을 쓰면서 핸드폰 사진첩을 돌려보는 중인데 모르긴 몰라도 체중 재는 모든 날의 영상이 저장되어 있다. 혹시 모르지, 이 영상들을 요긴하게 쓸 날이 올는지...

처음에는 부끄럽다며 필사적으로 몸무게를 가리던 아내도 4개월이 넘어가는 시점부터는 그러려니 하며 당연시하게 되더라. 이렇게 몸무게와 혈압 체크가 끝나고 우리를 담당해 주시는 의사 선생님 진료실 앞에서 대기를 하면 되었다. 사람들이 언제나 많다고 느끼진 했지만 그렇다고 진료를 엄청 오랜 시간 동안 기다려본 적도 크게 없었다. 시간 선택을 잘한 건지는 모르겠지만 우리는 항상 가장 빠른 시간으로 진료 예약을 했었다. 담당 선생님들은 긴급하게 수술을 하거나 진료를 하러 가셔야 하는 경우가 종종 있기 때문에 이러한 부분도 알고 있으면 좋다. 아직 임신 초기에 몸도 마음도 가벼웠던 우리는 루미큐브를 즐기며 진료 차례를 기다렸다. 아내가 인정할지는 모르겠지만 10번 정도 하면 8~9번은 내가 이겼다. 분명하게 말하지만 사실이다.


[황 OO 님~ 들어오실게요.]


간호사님의 호명이 끝나고 우리 부부는 임신 이후 첫 진료를 받았다. 간단하게 담당 선생님과 인사를 하고 아내는 바로 초음파 검사 준비를 했다. 나는 1분가량 있다가 초음파 검사실로 들어갈 수 있다. 아내가 초음파 검사를 위한 준비가 있기 때문에 그 시간이 약 1분가량? 1분이 조금 안되었던 것 같기도 하다. 아내는 검사를 받는 전동 침대 같은 곳에 누워있었고 의사 선생님이 의료 기기에 젤을 묻히고 자궁 쪽을 검사하기 시작했다.

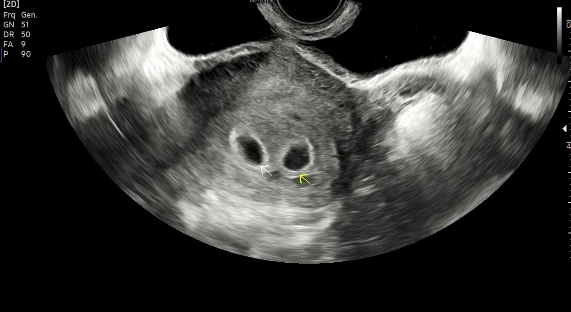
지난번에 들었던 아기집을 다시 볼 수 있었다. 아기집이라는 게 어떻게 아가로 변하는 건지 정말 신기했다. (앞으로 그 과정은 차근차근 글로 담아보겠다.)


KakaoTalk_Photo_2023-10-28-23-18-12 002.jpeg 뚜렷하게 보이는 아기집, 이때 우리의 궁금증은 일란성인지 이란성인지였다.

[혹시 일란성 이란성 이런 걸 알 수 있을까요?]


쌍둥이 임신 소식 이후 우리 부부의 최대 궁금증이었다. 과연 우리 아가들은 일란성일까? 아니면 이란성일까? 남자 쌍둥일까, 여자 쌍둥이일까? 아니면 남매 쌍둥이?! 결혼생활을 하며 이따금 자녀 성별에 대한 이야기를 나눌 때가 종종 있었다. 결혼 5년 만에 임신을 한 거지, 그 기간 동안 자녀들에 대한 이야기를 아예 안 한 것은 아니니까. 주변에 막 임신을 하게 된 친구들도 종종 물어보는 질문이기도 했다. 아내는 아들이든 딸이든 상관없다고 했으나 나의 느낌상으론 아들을 원했고, 나는 두말할 것 없이 딸을 원했다.


[그건 아직 알 수가 없어요. 모르는 경우에는 출산직전까지도 일란성인지, 이란성인지 모르는 경우가 있을 수도 있어요. 그건 시간을 갖고 지켜보도록 할까요?]


아직 모른단다. 언제쯤 알지도 모를 수 있단다. 우선은 아기집이 잘 보이고 건강하게 커야 하기 때문에 일산성이냐 이란성이냐의 문제는 나중으로 미뤄버렸다. 다시 한번 시험관이 아닌 자연 임신으로 쌍둥이 임신을 하게 된 것을 축하한다는 의사 선생님의 인사와 함께 본격적인 산부인과의 두 번째 일정을 마무리했다. 점차 커갈 우리 쌍둥이들을 기대하며 우리는 다음번 진료를 예약하러 갔다.

keyword
작가의 이전글저희 임신했어요! 근데 쌍둥이예요!(2)