안면윤곽, 깎고 또 깎아서 작은 얼굴 만든다?

이런 생각은 금물입니다!

by 황종민
안면윤곽1.png



안면윤곽수술의 심미적인 효과가 부각되다보니, 성형수술로 생각하시는 분들이 많으십니다.


외모 콤플렉스를 개선하는데 효과적인 대안으로 언급되는 경우가 많은 것은 사실이지만, 안면윤곽수술은 얼굴 뼈를 절제하거나 위치를 조정해서 얼굴의 밸런스를 잡아주는 수술입니다. 얼굴의 바깥 라인을 정리하는 수술로 알려져 있지요.




안면윤곽2.png



얼굴에서 돌출된 부위인 광대와 아래쪽 턱, 턱끝 등에 변화를 주어 작고 갸름해보이는 얼굴라인을 만들어주는 수술로 요즘의 뷰티 트렌드에 발맞춰 수요가 증가하고 있습니다. 그렇지만, 수요가 증가하면서 재수술을 받는 사례 또한 함께 늘어가고 있어 안타까운 마음도 큰 것이 사실입니다.


여러가지 이유가 있겠지만, 가장 큰 이유는 안면윤곽수술에 대한 정확한 정보가 많지 않고, 무분별하게, 무리한 수술이 강행되기 때문일 가능성이 큽니다.



anigif.gif



안면윤곽술을 상담하러 오시는 분들 중에, 많은 분들이 수술로 절개하는 김에 가능하면 많이 깎아서 작은 얼굴이 되고 싶다고 하시는 경우도 있습니다. 이는 대표적인 안면윤곽술에 대한 오해 중의 하나인데요. 뼈를 무조건 깎고 또 깎아서 얼굴이 갸름하고 작아질 수 있다고 생각하기 쉽지만, 실제로는 그렇지 않습니다.


사람마다 얼굴의 골격과 조직구조가 달라서 천편일률적인 방법으로 수술해서는 안됩니다. 뼈 주변의 피부와 지방, 근육 등의 조직을 고려하여 개인에 맞는 체계적인 계획이 수립되야 합니다. 상담을 하다보면, 자신의 얼굴형을 고려하지 않고 단순히 뼈를 많이 깎고, 저렴한 수술 비용만을 보다가 재수술을 고려하는 케이스도 생각보다 많다는 걸 알 수 있었습니다. 아무래도 비용적인 부분을 신경쓰게 되기 마련입니다.


충분히 안면윤곽 비용에 좌우되기 쉽지만, 저렴한 가격을 앞세워 안전성이 검증되지 않는 수술법을 권하는 경우도 있기 때문에, 안면윤곽술을 함에 있어서 ‘어떤 것이 중요한지’에 대해 다시 한번 생각해보셨으면 합니다.



안면윤곽4.png



무조건 많이 깎아서 작은 얼굴을 만드는 것이 아닌, 반드시 필요한 부분만을 절개하여 수술부위를 최소화함으로써 수술로 인한 불편함을 줄이고 환자 개인에 맞는 이상적인 비율로 디자인하고, 그러한 계획된 수술이 시행됐을 때, 개인에게 맞는 아름다운 변화를 이끌어내는 것이 가장 중요합니다.



안면윤곽5.png



“환자의 얼굴 라인에 맞는 수술계획이 이루어지는 곳인지 살펴보셔야 해요.”


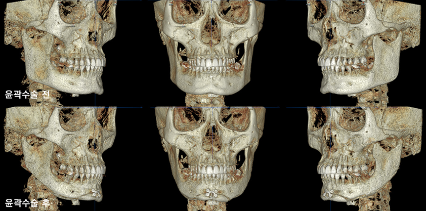
환자의 얼굴 라인과 상태에 맞는 수술계획이 이루어지는 곳인지를 반드시 체크하여야 합니다. CT 촬영을 통해 3D 분석이 이루어진 다음에, 상담을 하면서 환자의 얼굴에 맞는 얼굴라인을 찾아주는 곳인지 살펴보셔야 합니다.



안면윤곽8.png



“자연스러운 아름다움은 작은 얼굴에서 나오는 것이 아닙니다.”


자연스러운 아름다움을 위해서는 절개부를 최대화하는 것이 아닌 필요한 부분만 정확하게 삭제하여 수술 범위를 줄이는 것입니다.



안면윤곽7.png



안면윤곽술 또한 우리 몸의 신경이 지나가는 턱뼈를 깎는 수술이기 때문에 풍부한 임상경험과 수술집도의의 노하우와 기술이 굉장히 중요합니다. 또한, 이와 더불어 환자에게 적합한 얼굴 비율을 파악하는 미적인 감각, 미적 안목이 필요합니다.


앞서 말씀드렸듯이 V라인 얼굴형과 같이 안면윤곽수술의 심미적인 부분을 주된 효과로 내세우는 곳이 많다보니, 이 수술을 성형술의 하나로 인식하는 측면이 강하여, 성형외과에 방문하시는 분들이 대부분입니다.



안면윤곽9.png



그렇지만, 안면윤곽수술은 턱뼈를 절골하는 수술입니다.


턱과 얼굴 부위에 대한 전문적인 지식을 갖추고 있는 곳에서 수술을 진행해야 합니다. 안전하고 만족도 높은 수술을 위해서인데요. 또한, 치료 범위를 무작정 확대하는 것이 아닌 3D 분석을 기반으로하여 수술 부위를 명확하게 특정하고, 환자에게 필요한 부분을 적확하게 치료하는 것이 핵심입니다.




안면윤곽10.png



그리고, 병원을 결정하실 때 대학병원 수준의 철저한 안전관리 시스템으로 운영되는 곳인지를 확인하셔야 합니다.


수술 시, 안전한 수술이 이루어질 수 있도록 마취 시설을 갖추고 있는지, 응급 장비도 준비되어 있는지, 또한, 시설적인 측면과 더불어 안전 관리 스태프들의 교육까지 철저하게 이루어진 곳인지 살펴야 합니다.


간혹 비대칭, 이차각, 근육 유착 및 신경조직의 손상으로 인해 재수술을 결정하게 되는 경우도 많습니다. 첫 수술을 결정할 때, 안면윤곽수술병원을 꼼꼼하게 알아보고, 반드시 직접 상담을 받고 결정하시는 것이 도움이 되실 겁니다.






- 각 이미지의 전후사진은 환자분의 동의 하에 게재되었으며, 사진은 동일한 조건에서 촬영되었으나 실제와 다를 수 있습니다.

- 올소치과는 본 게시물 내 사용된 각각의 '수술 전, 후' 사진은 동일인의 사진임을 보증합니다

※ 수술 결과는 개인에 따라 상이할 수 있으며, 부종, 출혈, 신경손상 등의 부작용이 있을 수 있습니다.


keyword
작가의 이전글안전한 안면윤곽술을 위한 조언