집도의가 직접 쓰는 미용양악 이야기 -1

십년의 한의 풀다. 미용양악은 죄가 없다.

by 황종민
그림1.jpg

미용양악이라는 용어가 정식으로 있는 것은 아니다.

다만 환자들 사이에서 주걱턱이나 비대칭 등이 심하지 않아서, 교합과 같은 기능적으로는 문제가 없는데 환자가 외모에 불만이 있어서 양악수술을 받는 경우를 미용양악이라고 부른다.

미용양악의 가장 대표적인 경우는 주걱턱이다.

주걱턱은 양이 많고 적고에 무관하게 반드시 양악수술을 받아야지만 원하는 효과를 얻을 수 있다. 교정만 하거나 윤곽수술만 해서는 환자가 원하는 개선을 얻지 못하는 경우가 대부분이다.

그림2.jpg
그림8.jpg

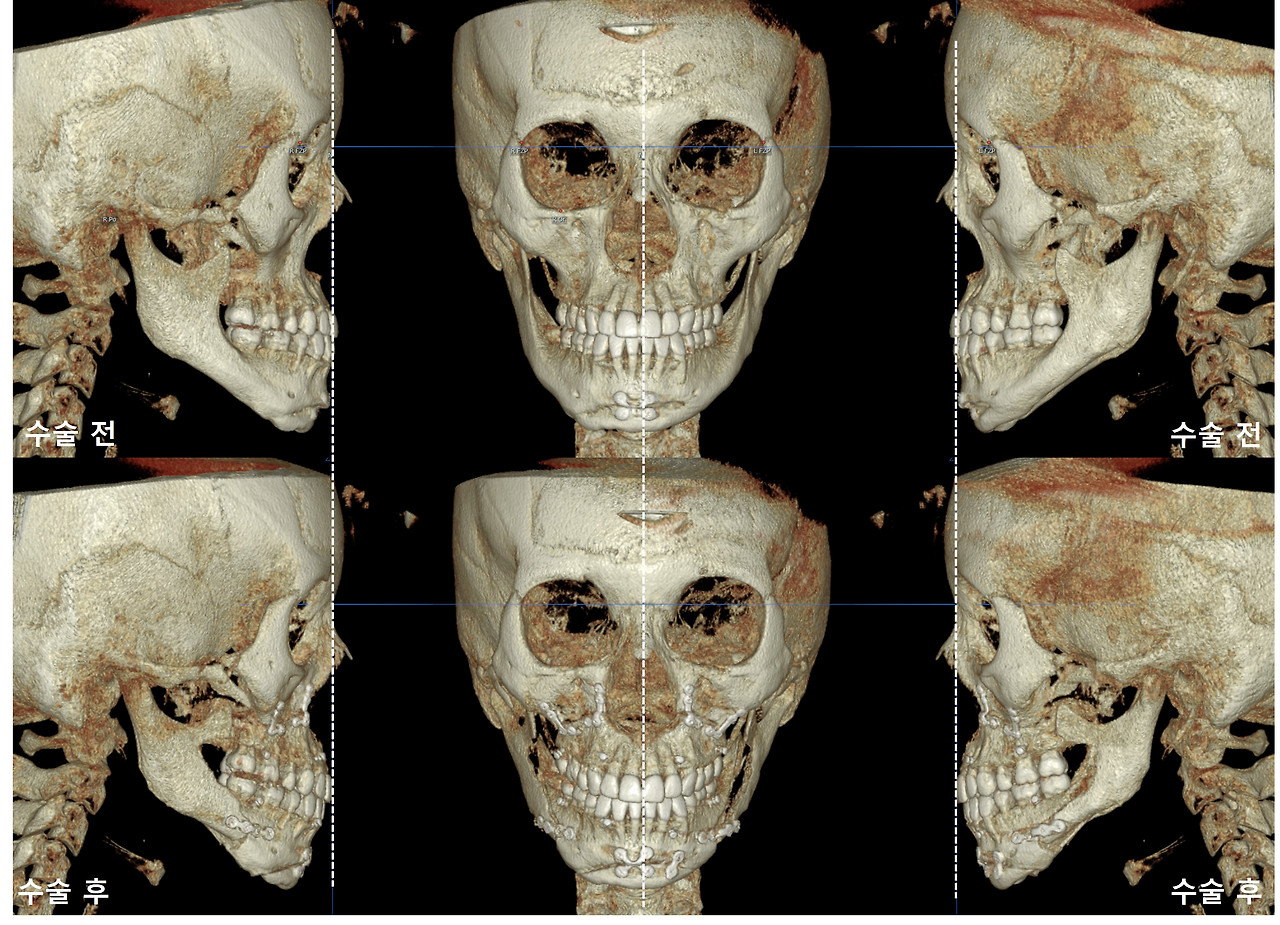
이 환자의 경우 30대 여성분으로, 본인은 코옆이 꺼져보이고 아래턱이 나와보이는게 20대 부터 싫었다고 한다.

그래서 교정치료도 해보고, 광대 때문에 그런가 해서 광대축소술도 받아보고, 턱끝이 나와보인다고 해서 턱끝수술과 V라인 수술까지 다양한 윤곽수술을 받았지만, 결국 본인이 원하는 것이 만족되어지지는 않았다.

여기 저기 알아보니 이런 경우 양악수술이 효과가 있다고 해서 찾아왔다.

그림3.jpg

수술은 주걱턱 환자에서 많이 하는 통상적인 양악회전술의 형태로 진행하였다.

다만 이전에 윤곽수술을 이미 받았기 때문에, 사각턱 부위를 추가로 깍지는 않고 가능한 유지하였다.

턱끝부분도 주걱턱 개선을 위해 뒤로 넣었지만, 턱끝만 넣어서는 주걱턱의 개선효과는 없고 살만 쳐지게 되기 때문에 이번에 양악수술을 하면서 턱끝을 다시 빼기로 하였다. 다만 환자가 귀여운 이미지를 좋아해서 턱끝을 다 빼지는 않고 조금 남기고 빼기로 하였다.

그림4.jpg
그림5.jpg
그림6.jpg
그림7.jpg

수술 후 1달,2달, 3달, 6개월 차가 지나가면서 붓기가 빠지고 얼굴이 자리를 잡아갔다.

이 환자의 경우 다른 환자에 비해 붓기가 빨리 빠져서 3개월 차에 거의 라인은 자리를 잡았다. 다만 인중 붓기가 조금 있었는데 이는 6개월 차가 되면서 자연스러워졌다.

최종적으로 붓기가 완전히 빠진 6개월 차에 보면 주걱턱의 느낌이 완전히 사라지고, 코옆에 꺼졌던 부위에 볼륨이 차면서 훨씬 더 자연스럽고 예쁜 외모가 되었다. 환자도 매우 만족해 했다.

하동희 그림5.png

미용양악을 하고 만족을 못하는 경우는 미용양악 자체가 나빠서 그런게 아니라

미용양악으로 효과가 없는 경우인데 무리하게 양악수술을 진행하였거나

양악수술 자체가 적절하게 시행되지 않아서인 경우가 많다.

"미용양악은 죄가 없다"


이 케이스는 환자의 동의를 받아 작성하였습니다.

양악수술은 출혈이나 감염 등의 부작용이 생길 수 있습니다.

수술의 필요성 등에 대해서는 치과 구강악안면외과 전문의 상담을 먼저 받아보시길 추천합니다.

keyword
작가의 이전글수술집도의가 직접 쓰는 양악수술 이야기 -5