brunch

이족보행 단점 - 인간과 침팬지 발 구조의 차이

by 서민혜

이족보행과 무지외반증


나는 어릴 때부터 아버지 쪽 친척들 중에 평발인 분들이 많았다. 내 발은 심하게 평평하진 않지만, 확실히 발 볼이 넓은 편이다. 그런데 이런 발 모양이 엄지발가락 주변부의 변형되면서 생기는 질병인 무지외반증(hallux valgus)과 관련이 있다고 해서, 가끔 내 발도 괜찮을까 싶어 신경 쓰일 때가 있다. 뭐 그래도 나는 심한 평발이 아니니 큰 문제는 없었다. 또 삐죽하게 큰 키 때문에 높은 신발을 멀리한 것이 돌이켜보면 이게 내 발 건강에는 도움이 되었다. 물론 예쁘고 섬세한 발은 아니지만, 큰 문제없이 잘 버텨주고 있으니까.


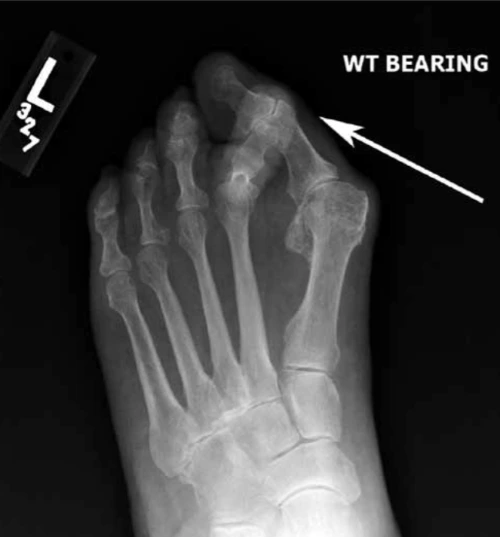
이번 글에서 알아볼 무지외반증은 흔히 '엄지발가락이 휘는 병'으로 알려져 있다. 이는 엄지발가락 관절이 바깥쪽으로 틀어지고 그 아래 뼈가 툭 튀어나오는 질환이다. 이 글에서는 무지외반증이 왜 생기는지, 그리고 진화와 생활습관, 유전적 요인들이 어떻게 얽혀 있는지 조금 더 자세히 들여다보겠다.




인간과 침팬지, 발의 구조는 어떻게 다를까?


무지외반증을 제대로 이해하려면 먼저 인간 발의 구조부터 들여다봐야 한다. 인간과 침팬지를 비교하자면 발의 쓰임새부터 다르다. 침팬지 같은 유인원은 나뭇가지를 붙잡고 나무 사이를 이동할 수 있도록 발이 ‘쥐거나 잡기’에 특화되어 있다. 반면 인간은 두 발로 서서 걷고 뛰기 위해 발이 진화해 왔다. Tamer(2017)의 연구에 따르면, 엄지발가락이 바깥으로 벌어진 정도(abduction)가 영장류와 인간의 주요 차이이다. 침팬지와 고릴라는 엄지발가락이 많이 벌어져 있어 나무를 잡기 좋지만, 인간은 두 발로 걷기 위해 벌어짐이 훨씬 적다. 그런데 이 구조가 오히려 인간의 약점이 되기도 한다. 엄지발가락이 덜 벌어진 대신, 관절에 가해지는 측면 힘에 취약하다. 걷거나 뛸 때 엄지발가락을 움직이게 하는 근육들이 발바닥 아래쪽을 비스듬히 지나가는데, 이때 힘이 지나치게 실리면 관절이 틀어지게 된다. 여기에 반복적인 자극이 더해지면, 관절이 붓고 아프고 결국 무지외반증으로 이어질 수 있다.


AD_4nXdTHtJFr08CW09bnuczfRIGc5cpdsKPsGZU4pRLsofrAwvaKTSeTnzZPZk3u8TQaW1gVvVaID11Jfa8l60-15YaRYfWnf47_7pWyJoYueyd6APZphoJPStkehZ8AKW6pWrYint54w?key=AhLvapB3KLbFMHGKEOaM91Xy [그림 1] 영장류의 발(왼쪽)은 가지를 쥐기 위해 엄지발가락이 바깥으로 벌어져 있고, 사람의 무지외반증 발(오른쪽)은 안쪽으로 휘어진 모습.


AD_4nXcutsdbZIpYG2WRsLsullKZOo_969AIkix-E1I4WuG0rwgLqHzY2y4SqPRAKoYQepQwJtEKM34q-__oLP_A-_R8r6azInXnSlfaoLyKYEZzSmHPrg02HGimJEXVpPNc4IjwDpo0bA?key=AhLvapB3KLbFMHGKEOaM91Xy [그림 2] 인간, 고릴라, 침팬지의 제1중족골 두부 비틀림(torsion) 비교. 위 이미지에서 왼쪽은 내측을 나타냄.


그림 2는 사람, 고릴라, 침팬지의 발뼈 모양을 비교한 그림이다. 여기서 보이는 뼈는 엄지발가락과 연결된 뼈의 끝부분(중족골 두부)이다. 쉽게 말하면, 발바닥 앞부분에 있는, 엄지발가락이 시작되는 뼈의 머리 부분이라고 생각하면 된다. 고릴라와 침팬지는 나무를 잘 잡기 위해 엄지발가락이 바깥쪽으로 많이 벌어져 있고, 그에 따라 이 뼈가 옆으로 많이 비틀어져 있다. 반면 사람은 두 발로 서서 걷기 때문에 엄지발가락이 덜 벌어져 있고, 뼈가 덜 비틀어져 있다. 그런데 이 구조 때문에, 사람의 발은 옆에서 힘을 받으면 관절이 쉽게 틀어질 수 있다. 그래서 사람은 무지외반증처럼 엄지발가락이 휘어지는 병이 잘 생긴다.




신발, 유전, 그리고 습관 — 무지외반증의 원인들


발 구조 외에도 생활습관, 유전, 기계적인 스트레스가 무지외반증을 만드는 주범이다. 먼저 생활습관에 대해서 알아보자. 가장 대표적인 건 신발 선택이다. 폭 좁고 앞코가 뾰족한 신발, 하이힐 같은 것들이 발가락을 비틀고 엄지발가락 관절에 지나치게 압력을 준다. 하이힐은 특히 체중을 앞으로 쏠리게 해 발 앞부분에 부담이 집중된다. 심한 경우, 엄지발가락이 두 번째 발가락과 겹치는 크로스오버 사인(crossover sign)이 나타나기도 한다.


AD_4nXd3Zs74c1csuXceEmo86NQ3PhrNh4TrRdndkoV2WwcgatiCIuBTeJKH2elHDgHBBOa0Wu_76-2n6Z-0mbt8T3VgZMhU2yHXhDGwZ9svYSs8_VEIXu9k9B7RS7hU_pwpyQSEyZtNBg?key=AhLvapB3KLbFMHGKEOaM91Xy [그림 3] 크로스오버 사인(crossover sign). 심한 무지외반증으로 인해 엄지발가락과 두 번째 발가락이 겹쳐진 모습


흥미로운 건, 신발을 신는 문화 자체가 발 건강에 영향을 준다는 점이다. Sim-Fook & Hodgson의 연구에서는 신발을 신는 중국인과 맨발로 생활하는 중국인을 비교했는데, 신발을 신는 쪽에서 발 변형이 훨씬 많았다. 맨발로 다니는 사람들은 발 아치도 잘 발달되어 있고, 발 통증도 거의 없었다.



AD_4nXejPqso0n-WAqUJGe_dg8TG6xkOXT8Ns_cZQudMiVXbDf9n3qustvD80_LZ8G9TTOpjlTeUnAsTa7s2M1-vzP2ZnwYiVCQLMYECghUevAQrpsVzTfBib7c7otNDFhLow5Ini65NqA?key=AhLvapB3KLbFMHGKEOaM91Xy [차트 1] 발 변형 유형 1 무지외반증 2 강직성 엄지 3 새끼발가락 내반 4 망치발가락 5 평발 6 원시형 중족골 7 제1중족골 내반 8 중족골 과운동성 9 넓은 중족골


두 번째는 유전적 요인이다. 평발이나 넓은 발, 아치가 낮은 발은 가족력과 깊게 관련되어 있다. Piqué-Vidal 등의 연구에 따르면, 무지외반증 환자의 90%가 가족 중 두 명 이상 같은 질환을 겪고 있었다고 한다. 특히 여성에게 더 흔했는데, 남녀 비율이 1:14.9로 큰 차이를 보였다.


마지막으로는 기계적인 요인과 반복적 스트레스가 무지외반증을 일으키는 하나의 원인이다. 예를 들어 과내전(overpronation) — 발이 걸을 때 너무 안쪽으로 꺾이는 걸 말하는데, 이 경우 엄지발가락과 연결된 발의 끝부분 관절에 가해지는 힘이 커진다. 또, 관절이 유연하고 고강도 운동을 반복하는 젊은 무용수들은 특히 무지외반증 위험이 높다. 결국 발의 구조, 걸음걸이 습관, 운동 패턴이 모두 발가락 건강에 영향을 미친다.




두 발로 걷게 된 인간의 숙제


인간은 두 발로 서면서 손을 자유롭게 쓸 수 있는 능력을 얻었고, 뇌도 크게 발달했다. 하지만 그만큼 발에는 더 많은 부담이 쌓였다. 무지외반증은 어찌 보면, 인간이 진화 과정에서 얻게 된 또 하나의 숙제일지도 모른다. 과학자들의 연구를 보면, 발을 너무 꽉 조이지 않고 자유롭게 움직일 수 있게 해주는 것, 그리고 불필요한 스트레스를 줄여주는 것이 무지외반증을 예방하는 첫걸음이다. 이 글을 통해, 인간의 진화와 생활습관이 어떻게 우리 몸에 영향을 미치는지, 조금 더 가까이 들여다볼 수 있었기를 바란다.


편리하고 아름다운 것을 좇아서 발을 더 조이고 몸은 혹사시키는 문화는 우리 진화의 흐름에 맞는 것일까? 진화를 거듭해 가면서 생존에 필요한 변화들도 생기고 시간이 지나면서 반대급부로 오히려 불편함을 유발하는 변화도 생긴다. 예를 들어서 무지외반증, 척추 질환, 허리 통증은 이족보행의 부작용일 수도 있다. 이런 숙제들을 우리는 어떻게 받아들이고 적응해나가야 할까? 이 글이 한 번쯤 스스로에게 질문해 보는 계기가 되었으면 한다.

keyword