brunch

[프롤로치료후기] 가야금 연주자 손의 프롤로주사

청담마디신경외과 심재현원장

by 심재현

40년을 가야금 연주한 손의 통증에 프롤로치료


안녕하십니까!

청담마디신경외과 심재현 원장입니다.


오늘은 40년이상 가야금을 연주한 분으로 손가락의 관절염과 손목터널증후군이 있어서 연주가 불편한 분의 손에 프롤로치료를 하는 것에 대하여 알아보겠습니다.


50대중반의 가야금 연주자인 분이, 7~8년전부터 우측 손의 엄지와 검지 손가락이 많이 불편하고, 아침에 일어나면 손이 붓고 연습을 하면 더 붓고 뻗뻗해지며 엄지손가락의 뿌리 쪽에는 통증이 있다고 호소하면서 내원하였습니다. 약2주후에 중요한 개인 연주회가 있어서 그 공연을 잘 해야 한다면서 걱정을 많이 하셨습니다.


- 손의 통증의 원인

1. 손 관절염이란?

손의 관절염은 주로 노화, 반복적인 손 사용, 외상 후 변화 등에 의해

손가락 관절이나 엄지 관절의 연골이 닳고, 염증이 생기는 퇴행성 관절 질환입니다.

2. 주요 발생 부위

- DIP 관절 (원위지관절, 손끝 관절)

- PIP 관절 (근위지관절, 두 번째 마디)

- CMC 관절 (엄지 기저 관절 – 엄지와 손목이 만나는 부위)

3. 증상

- 관절의 통증 및 뻣뻣함

- 아침 강직 (아침에 손이 잘 안 움직임)

- 손가락 관절의 붓기 또는 변형

- 힘이 약해져 집거나 비트는 동작이 어려움

- 골극(뼈 돌출) 형성 → 뼈가 튀어나온 듯한 느낌


0516(1).jpg 그림1. 가야금 연주자의 실제 사진

40년 가야금을 연주한 손의 통증

환자분은 최근에 있었던 합주에서 제대로 실력 발휘를 못하였다고 하며, 2주후의 독주를 걱정하셨습니다. 우측 손가락 마디가 붓고 엄지손가락, 검지 손가락의 통증이 있으면서, 손목도 통증이 있었습니다. 40년이상 연주를 한 장인의 손가락은 많이 아프셨습니다.


사진에서 우측 손을 보시면 관절마디가 부어 있는 것을 알 수 있습니다.



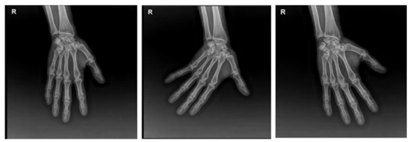
AD_4nXdoYvpyaHL_lkiM_jUuB1elGsfx5wjeoSsVIQWmePpS5AS8IF7SCgIZv2iLmhGNpVA_jRjra5JIIo8Rw4--YgWquNsOiFTQudax5T3SPAPkKR_Av9BkLslVsvOJ9zzEtqNRer9gyQ?key=0_7uFam0xD727dkPNLVHRw 그림2. 환자 엑스레이 사진


AD_4nXfJQ_QwlleyO0sinXZar2wyY3QNnJLaAHOr6Tyv3YZuN4hJ5UglSYg4l8b7IL6jXNwWaakzl2XJvbJfDSve6sOgChOhKImxoR7Jvbm17HP4MUV2OXclV_nn26vAat5D6ZMa-k0JwA?key=0_7uFam0xD727dkPNLVHRw 그림3. 환자 초음파 사진


우선 방사선 촬영과 초음파검사를 시행하였습니다. 방사선촬영에서 일부의 관절간격이 변화가 있고, 초음파 검사에서는 정중신경의 단면적이 12mm² 로 부어 있는 손목터널증후군이 함께 있었습니다. 환자분의 치료는 손목과 손가락의 프롤로치료를 하고 정중신경의 신경유착박리술 (hydrodissection)을 시행하였습니다.


손목과 손가락의 프롤로치료의 효과에 대하여

프롤로치료는 손상되거나 약화된 인대, 힘줄, 관절 주변 조직에 고농도의 포도당 용액을 주사하여 국소 염증 반응을 유도하고, 이를 통해 우리 몸의 조직 재생과 강화를 촉진하는 비수술적 재생 치료법입니다.


프롤로치료는 다음과 같은 손과 손목 질환에 적용할 수 있습니다:

+손가락

- 퇴행성 관절염 (특히 DIP, PIP, CMC 관절)

- 방아쇠수지 (Trigger finger)

- 인대 염좌 또는 미세 손상

- 반복 사용으로 인한 만성 통증

+손목

- 삼각섬유연골(TFCC) 손상

- 손목 인대 불안정 (SL, LT 인대 등)

- 손목 과사용 증후군 (직업성 통증 포함)과 손목터널증후군

- 손목 퇴행성 관절염 또는 불안정증

- 손목 힘줄염 (건초염 포함)


손과 손목 질환의 치료 방법

1) 시술 전

- 초음파 검사를 통해 손상 부위를 정확히 진단

- 병변 부위의 구조 확인 후 주사 계획 수립

2) 시술 과정

- 초음파 유도 하에, 병변이 있는 인대, 힘줄, 관절 주위에 고농도 포도당 또는 증식제를 정확히 주사

- 조직에 염증 반응을 유도해 섬유아세포(fibroblast)의 활동을 자극하여 콜라겐 생성 및 조직 재생

3) 회복 및 관리

- 가벼운 압통이나 뻐근함은 1~3일 내 소실

- 주사 후 2~4주 간격으로 3~6회 반복 치료 시 효과 극대화

- 치료 기간 중 소염진통제는 금지 (치유 반응 억제됨)


손과 손목의 프롤로치료의 장점

- 비수술적 치료 : 절개 없이 주사로 진행, 일상생활 복귀 빠름

- 조직 강화 : 불안정한 인대, 약해진 힘줄의 기능 회복

- 통증 완화 : 약물이나 물리치료에 반응 없는 만성 통증 완화

- 기능 향상 : 손가락·손목의 움직임 및 사용 능력 회복

- 장기적 효과 : 재생 유도 → 재발률 낮음


위에 말씀드린 가야금 연주자분은 프롤로치료와 정중신경 유착박리술를 받고는 손의 통증이 줄어서 중요한 가야금 연주를 잘 하실 수 있었다고 하며 아주 좋아하셨습니다.


프롤로치료는 생각보다 많이 아프지 않고, 치료후에도 빨리 회복되어 일상생활에 지장을 많이 주지않는 장점이 있습니다.


여러분들로 손목터널증후군이나 손가락의 관절염이 있으시다면, 프롤로치료를 하시는 것이 어떠실까요?

감사합니다.


https://youtu.be/gERhmMdkSqo

*대한민국 프롤로대가 : https://youtu.be/4egDUHKQQ-s

*청담마디 홈페이지 : https://chungdammadi.co.kr

*청담마디 카톡상담 : http://pf.kakao.com/_KVyxad

*문의전화 : 02-547-7533



keyword
작가의 이전글스테로이드를 첨가한 프롤로주사 치료 효과는_심재현원장