80대 무릎 통증(VAS10)과 부종 환자의 프롤로주사

청담마디신경외과 심재현원장

by 심재현

무릎의 퇴행성 관절염의 프롤로치료 효과



안녕하십니까!

청담마디신경외과 심재현 원장입니다.

오늘은 무릎이 붓고 아픈 84세 환자분의 무릎의 프롤로치료(Prolotherapy)에 대해 알아보겠습니다.


84세의 남성 환자분으로 우측 무릎의 통증과 부종을 호소하며 내원하셨습니다. 걸을 때도 아프고 저리고, 자려고 누워도 아프고 저려서 고생을 하셨습니다. 부인되시는 분이 청담마디신경외과에서 허리를 치료하고 좋아지셔서 부인의 소개로 본원에 내원하게 되셨습니다.

우측 무릎이 부었었고, VAS 10 정도로 심한 통증을 호소하셨으며, 내측 무릎이 많이 아프셨습니다.


0516(2).jpg 무릎 엑스레이 사진

무릎의 방사선 검사상 켈그렌-로렌스 Gr2 정도의 퇴행성변화를 보이고 있었습니다.


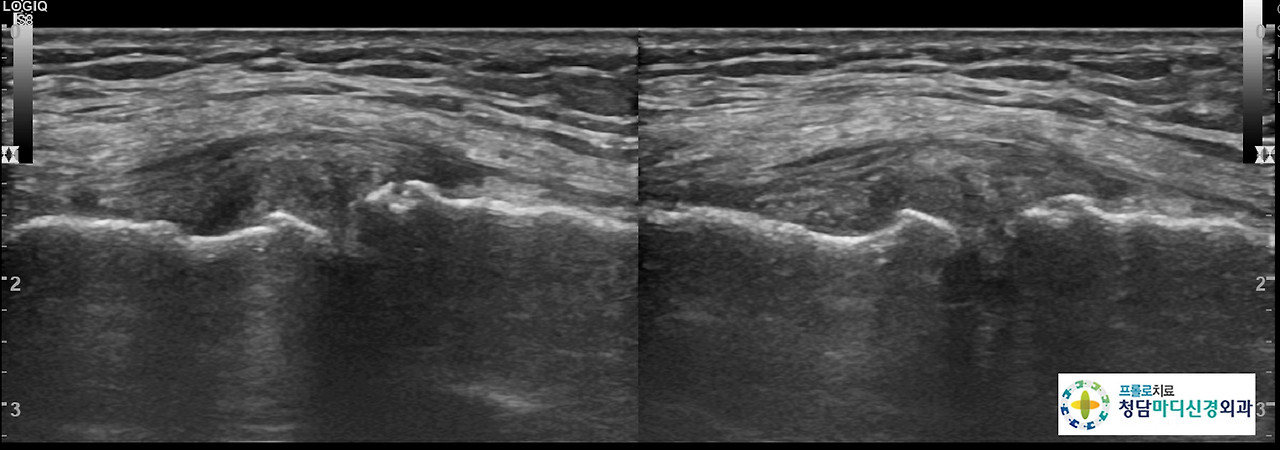
0516(3).jpg 무릎 초음파 사진
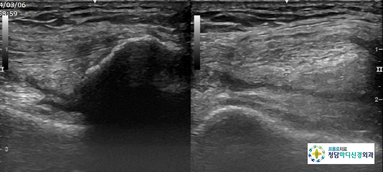
0516(4).jpg 무릎 초음파 사진

초음파 검사상에는 관절낭에 삼출액이 보이고, 대퇴골과 하퇴골의 골극을 보이면서 연골간격이 좁아진 소견을 나타냈습니다.


퇴행성관절염에 대한 프롤로치료의 효과

퇴행성 관절염(osteoarthritis, OA)은 나이가 들거나 반복적인 사용으로 인해 관절의 연골이 닳고, 주변 인대와 관절 구조물까지 약해지면서 통증과 운동 제한이 생기는 질환입니다. 관절 안의 염증 뿐 아니라 불안정성, 인대 약화가 함께 동반되는 경우가 많습니다.

프롤로치료는 고농도의 포도당 용액 또는 증식제를 인대, 힘줄, 관절 주변에 주사하여 인위적인 국소염증 반응을 일으켜서, 이를 통해 조직의 재생과 강화를 유도하는 비수술적 재생 치료입니다.


1. 통증 감소 : 염증 반응을 통해 손상된 조직 주변의 신경 과민도를 낮추고 통증을 줄입니다.

2. 인대 및 연부조직 강화 : 관절을 지지하는 인대와 힘줄이 강화되면서 관절의 안정성이 높아지고 통증이 줄어듭니다.

3. 관절기능 회복 : 통증이 감소하고 움직임이 개선되며, 보행 및 운동 능력이 향상됩니다.

4. 관절 내 구조 재생 자극 : 직접 연골을 재생시키는 것은 아니지만, 관절 주변 조직 회복을 통해 퇴행성 변화의 진행을 억제할 수 있습니다.

5. 수술 대체 또는 보조치료 : 수술이 부담스럽거나, 수술 전에 보존적 치료를 시도해보고 싶은 경우에 매우 유용합니다.


0516(5).jpg 논문 사진

임상 연구 결과에서도 Knee OA 환자 3~6회 프롤로치료 후

- WOMAC 점수(무릎 관절 기능 및 통증 평가 지표)에서 유의미한 개선

- 6개월~1년 이상 효과 지속 보고

- 약물 사용량 감소, 일상활동 기능 향상


주의사항 및 한계

- 치료는 반복적으로 시행해야 하며 (보통 2주~4주간격으로 3~6회정도)

- 완전한 연골 재생은 어렵지만, 통증 감소 및 기능 개선에는 효과적입니다.

- 초음파 유도하 시술로 정확도를 높이는 것이 중요합니다.

- 소염진통제는 치료 효과를 방해할 수 있어 치료 기간 중 피하는 것이 권장됩니다. 대신 소염성분이 없는 진통제는 사용이 가능합니다.


프롤로치료는 이런 분들께 추천됩니다

- 수술은 피하고 싶지만, 약물이나 물리치료로 효과를 못 본 경우

- 무릎, 어깨, 고관절, 손가락 등 관절 통증이 만성적으로 지속되는 경우

- 연골은 많이 닳았지만, 남은 조직을 보존하면서 기능을 유지하고 싶은 경우


프롤로치료는 퇴행성 관절염의 통증을 줄이고, 관절 주변 조직을 강화함으로써 기능을 회복시키는 데 매우 유용한 비수술적 치료법입니다.

특히 초기~중등도 관절염, 또는 수술이 어려운 환자에게 통증 조절과 삶의 질 향상을 위한 대체 치료로 널리 사용되고 있습니다.


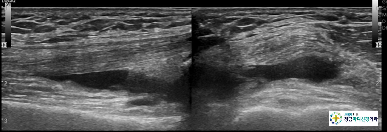
0516(6).jpg 프롤로치료후 초음파 영상: 관절내의 삼출액의 없어짐


앞서 말씀드린 환자분은 4주간격으로 3회의 치료를 받고, 3개월후에 다시 내원하여 증상의 여부를 확인하였습니다. 환자분은 통증이 VAS 10 에서 VAS 1~0 으로 줄어들었고, 무릎의 부기도 없어졌다고 좋아하시면서, 치료후기를 작성하여 주셨습니다. 프롤로치료는 연세가 많으셔도 의외로 좋은 효과를 보는 분들이 많으십니다. 나이와 관계없이 프롤로치료를 해보실 것을 권해드립니다.

감사합니다.


*실제환자 치료후기 : https://shorturl.asia/PFDYe

*대한민국 프롤로대가 : https://youtu.be/4egDUHKQQ-s

*청담마디 홈페이지 : https://chungdammadi.co.kr

*청담마디 카톡상담 : http://pf.kakao.com/_KVyxad

*문의전화 : 02-547-7533


keyword