[프롤로주사]발목을 크게 접질린후 수년간 지속된 통증

청담마디신경외과 실제 환자 치료후기

by 심재현

오늘은 발목을 크게 접질러서 수년간 통증이 심한 분을 프롤로주사로 치료한 것에 대하여 알아보도록 하겠습니다.


31세 여성분으로 프리랜서 일을 하면서 때로는 무거운 짐도 들곤 한다고 하셨습니다. 수년전에 발목을 크게 접질렸습니다. 발목은 낫지를 않고 그냥 방치한 채 몇 년을 지냈습니다. 발목을 돌릴 때마다 뼈가 따로 노는 느낌이 들었고 쑤시는 통증이 있었습니다. 잠을 잘 때도 발목을 일자로 하면 아파서, 옆으로 눕혀서 자곤 했습니다.


이렇게 발목을 삐끗한 후 몇 달이 지나도 통증이 남아 있다면, 단순한 염좌가 아닌 인대 손상으로 인한 만성 통증일 수 있습니다.


발목은 여러 개의 인대가 관절을 잡아주어 안정성을 유지하는 관절입니다. 특히 외측에 있는 전거비 인대(anterior talofubular ligament)와 종비 인대(calcaneofibular ligament)는 운동 중 자주 손상이되며, 걷다가 삐끗할 때 주로 손상이 되는 곳입니다.


한 번 삐면 인대가 늘어나거나 부분 파열이 생길 수 있습니다. 이때 치료를 충분히 받지 않으면 인대가 완전하게 회복되지않고 발목이 불안정해져서 자주 꺾이거나 계속 통증이 남는 만성 불안정성으로 이어질 수 있습니다.

인대에는 해부학적으로 혈관이 부족한 구조이고, 한 번 손상되면 자연 회복이 잘 되지 않습니다. 또한 인대 안에는 통증을 느끼는 신경 말단이 풍부해서 늘어난 상태로 남아 있으면 일상생활에서도 반복적으로 자극을 받아 통증이 지속됩니다.

0613(2)_1.jpg

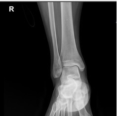
이러한 발목의 방사선 촬영을 해보면 하퇴골, 비골 그리고 거골이 만나는 관절면의 거리가 일정하지 않고, 일부는 좁고 일부는 넓어진 비대칭성을 보입니다. 이러한 소견은 발목의 인대의 파열을 의심하게 하는 방사선 소견입니다.


위에서 말씀드린 31세의 여성분의 방사선 소견에서도 이러한 관절면의 비대칭성이 보였습니다.


0613(2)_2.jpg

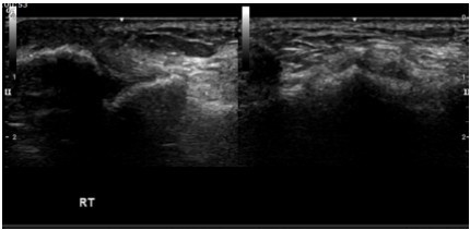
그래서 초음파 검사를 시행하였습니다. 근골격계 초음파 검사는 근육, 힘줄 그리고 인대의 손상 뿐만 아니라 혈관과 신경까지도 눈으로 확인을 할 수 있는 아주 유용한 검사 장비입니다. 이 분은 초음파검사에서 전거비인대와 삼각인대의 부분파열 소견을 보였습니다.


이렇게 오래된 인대의 파열에는 프롤로치료가 아주 효과가 좋습니다. 프롤로치료는 손상된 인대에 고농도의 포도당 용액을 주사해서 염증 반응을 일으키고, 이를 통해 섬유아세포가 활성화되어 인대를 재생하고 증식시키는 치료입니다.


프롤로치료를 할때에는 초음파로 병변 부위를 정확히 확인하고 손상된 인대를 따라 정확히 주사하여 치유 반응을 유도하는 것이 치료의 효과도 높이고 다른 후유증도 없이 안전합니다. 보통 2~4주 간격으로 3~6회정도를 치료하면 불안정해진 인대가 단단해지고, 안정화되어 통증도 눈에 띄게 줄어듭니다.


0613(2)_3.jpg

앞서 말씀드린 31세의 여성분은 첫번째 주사를 맞고나서 뼈가 따로노는 느낌이 확실히 줄었고 통증도 줄었다고 하셨습니다. 4주간격으로 4회의 치료를 받고 통증이 없어졌습니다. 통증 척도인 vas ( 10점이 가장 아픈 통증이고, 0점이 통증이 없는 상태임) 가 치료전에는 8.5 점에서 4회째 치료를 할때는 0 점으로 줄었습니다.

만성 발목 통증이 있다면 단순히 쉬는 것만으로는 해결되지 않을 수 있습니다. 인대 손상은 근본 원인을 치료해야 낫습니다. 수술 없이 회복을 원하신다면, 프롤로치료가 좋은 대안이 될 수 있습니다.

감사합니다.


*발목통증 프롤로치료후기 : https://url.kr/hjn8xd

*프롤로치료대가 심재현원장 : https://youtu.be/Tv83QXqeO5Y

*청담마디 홈페이지 : https://chungdammadi.co.kr

*청담마디 카톡상담 : http://pf.kakao.com/_KVyxad

*문의전화 : 02-547-7533


keyword
작가의 이전글80대 무릎 통증(VAS10)과 부종 환자의 프롤로주사