[치료후기] 경추질환으로 인한 손저림과 통증_프롤로주사

청담마디신경외과 심재현원장

by 심재현

경추질환으로 인한 손저림에 프롤로치료와 신경이완술


안녕하십니까!

청담마디신경외과 심재현 원장입니다.


61세 남성분이 우측 4, 5번 수지부가 저린 증상으로 내원하셨습니다.

10일전부터 증상이 악화되셨는데, 과거력상에 20년전에 뒤로 넘어져서 뒷목을 다친적이 있습니다. 3년전부터 검도를 많이 하셨는데, 우측 견갑골의 내측과 어깨의 통증이 생기고 우측 손의 4,5번 수지부가 상시적으로 저린 증상이 있었습니다.


오늘은 경추 질환으로 인한 손 저림과 통증을 비수술적으로 치료하는 프롤로치료와 신경이완술 (hydrodissection) 에 대하여 소개해 드리겠습니다.


증상의 원인: 경추 디스크 & 협착증

목뼈, 즉 경추(Cervical spine)는 신경이 지나가는 통로 역할을 합니다.

특히 C7-T1 신경근이 눌리게 되면, 제4, 5수지—즉 약지와 새끼손가락에 저림, 감각 저하, 찌릿한 통증이 생길 수 있습니다.


원인은 크게 두 가지입니다:

- 디스크 돌출로 인한 신경 압박

- 경추 후관절 비후, 협착증으로 인한 만성적 자극

이런 경우 단순 약물이나 물리치료로는 좋아지지 않고, 반복적으로 악화되기 쉽습니다.


프롤로치료로 구조를 안정시킨다

**프롤로치료(Prolotherapy)**는 경추의 후관절, 인대, 힘줄 부위에 고농도 포도당 용액을 주사하여 조직을 강화하고 염증을 유발하여 회복반응을 조절하는 재생 치료입니다.


- 신경근 주위 인대를 강화하여

- 신경의 압박 원인을 줄이고,

- 디스크 주변 구조물의 안정성을 회복시켜

- 신경 자극 증상(저림, 통증)을 완화시킵니다.


특히 만성적인 신경 자극에서 프롤로치료를 2주~4주간격으로 3~6회 정도 시행하면 뚜렷한 효과를 기대할 수 있는 비수술적인 치료입니다.


신경이완술(nerve hydrodissection)은 초음파 유도 하에 신경 주위를 감싸고 있는 유착된 조직을 생리식염수 또는 5% 포도당으로 분리해주는 시술입니다. C7, C8 신경근 또는 쇄골 아래를 지나가는 상완신경총, 척골신경(ulnar nerve) 까지도 이완술을 시행하여 신경의 혈류를 회복하고 통증 신호를 차단합니다.


프롤로치료와 병행할 경우 더 빠르고 확실한 회복 효과를 기대할 수 있습니다.


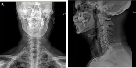
0613(1)_1.jpg 경추 엑스레이 사진

61세의 남성분은 경추부 방사선촬영에서, 측만증과 C5-6-7-T1의 디스크 공간이 좁아지고 C4-5 척추의 불안정성 소견이 보여서 경추부 MRI 검사를 시행하게 되었습니다.


0613(1)_2.jpg 경추 MRI

경추부 MRI 검사상, C5-6-7-T1 협착증과 목디스크 소견을 보였습니다.


치료는 프롤로치료를 시행하였습니다.

증상이 발현되고 얼마 안 되어서 내원하셔서 그런지 치료에는 반응이 좋았습니다. 2회의 프롤로치료와 신경이완술을 시행하고서 손저림과 통증은 약70% 정도 호전되고 약간의 감각둔화만 남아있으면서 더 치료를 시행중입니다.


목디스크나 협착증으로 인한 손저림, 약지·새끼손가락 통증은 정확한 진단과 함께 프롤로치료와 신경이완술을 병행하면 수술 없이도 회복될 수 있습니다.


지금 이 사례처럼,

목 때문에 생긴 손 통증으로 고생하고 계시다면, 오래 참지 마시고 빨리 내원하여 정확한 진단과 비수술 치료를 고려해보시기 바랍니다.

감사합니다!



https://youtu.be/Q88r3GWsTZ8

*프롤로치료대가 심재현원장 : https://youtu.be/Tv83QXqeO5Y

*청담마디 홈페이지 : https://chungdammadi.co.kr

*청담마디 카톡상담 : http://pf.kakao.com/_KVyxad

*문의전화 : 02-547-7533


keyword
작가의 이전글[프롤로주사]발목을 크게 접질린후 수년간 지속된 통증