brunch

[코싸인의 인지과학 이야기] 신경정신질환 (1)

Schizophrenia 조현병

by 코싸인

1. 신경정신질환의 소개


신경정신질환 (Neuropsychiatric Disorders)은 뇌 기능의 명백한 장애 또는 뇌외 질환의 간접적인 영향으로 인해 발생하는 감정, 인지 및 행동의 질환을 의미합니다. 그중 대표적인 신경정신질환으로 조현병 (Schizophrenia), 주요우울장애 (Major Depressive Disorder), 양극성 장애 (Bipolar Disorder), 및 주의력결핍 과다행동장애 (Attention Deficit Hyperactivity Disorder, ADHD)가 있습니다. 이 질환들은 매우 복잡하며 질환의 원인 및 신경생물학적 기전도 명확하게 정의되어 있지 않아 환자와 주변인들에게 다방면으로 영향을 끼치게 됩니다.

이번 시리즈에서는 주요 신경정신질환인 조현병, 주요우울장애, 그리고 주의력결핍 과다행동장애를 신경 생물학적 관점과 인지적인 관점에서 소개해 보고자 합니다.




2. 조현병 소개


과거에는 정신분열증이라고 불려온 Schizophrenia는 phren(정신)과 skhizo(깨짐)이라는 그리스어에서 유래한 단어입니다. 병명에서도 짐작할 수 있듯이 조현병의 대표적인 증상은 망상, 환청과 와해된 언어와 행동이며 조현병 환자들은 현실에 대한 감각을 잃은 모습을 보이며 현실과 현실이 아닌 것을 구분하는 데에 어려움을 느낍니다. 이러한 증상들을 잘 묘사한 영화가 있는데요, 바로 2002년 아카데미 최우수 작품상을 받은 ‘뷰티풀 마인드’입니다. 이 영화는 실존 인물 중 가장 유명한 조현병 환자로 꼽히는 존 내시의 삶을 모티브로 삼아 내시가 조현병을 극복하며 노벨 경제학상을 수상하는 이야기를 그렸습니다.

1.jpg

조현병의 증상은 크게 세 가지 카테고리로 나누어 볼 수 있는데요, 이는 각각 정신병적 증상 (psychotic), 음성 증후(negative), 그리고 인지적 증상 (cognitive)입니다[1]. 정신병적 증상은 우리가 생각하고 행동하고 세상을 경험하는 방식에 변화를 주는 증상들이며 조현병의 경우에는 환각, 망상, 그리고 사고장애를 포함합니다. 음성 증후는 정상적으로 나타나야 할 행동이 나타나지 않는 증상을 의미하며 이 경우에서는 일상생활에서 즐거움과 기대감을 잘 느끼지 못하며 에너지가 낮은 상태로 사회적 상호작용을 피하는 증상들이 있습니다. 마지막으로 인지적 증상은 주로 주의력, 집중력과 기억력의 문제들을 뜻하며 조현병 환자들의 경우, 결정을 내리거나 새로 터득한 정보를 바로 사용하는 데에 어려움을 느낍니다.

그렇다면 조현병의 원인은 무엇이 있을까요? 아직 명확한 원인은 밝혀지지 않았으나 위험인자는 유전적 및 선천적인 요인들과 자라온 환경을 포함한 후천적인 요소로 나뉩니다[1]. 이 외에도 조현병 환자의 뇌와 건강한 사람의 뇌를 비교하였을 때 구조적 차이가 있다고 하는데요, 이와 관련된 내용은 다음 섹션 “조현병의 신경생물학”에서 더 다뤄보도록 하겠습니다.




3. 조현병의 신경생물학


조현병의 정확한 원인은 아직 밝혀지지 않았지만, 이와 관련된 가설은 많습니다. 그중 대표적인 가설 두 가지를 소개하겠습니다. 먼저 도파민 가설(Dopamine hypothesis)은 도파민이라는 흥분성 신경전달물질의 활동이 과잉 상태가 되면 조현병이 발병한다는 가설입니다[2]. 반면에 글루타메이트 가설(Glutamate hypothesis)은 글루타메이트라는 또 다른 흥분성 신경전달물질의 수용체인 NMDA(N-methyl-D-aspartate)의 기능 저하로 인해 조현병이 발병한다는 가설입니다[2].

앞서 조현병 환자의 뇌와 건강한 사람의 뇌가 구조적으로 다르다고 소개를 했는데요, 이런 신경해부학적 차이에 대해서 알아보도록 하겠습니다.

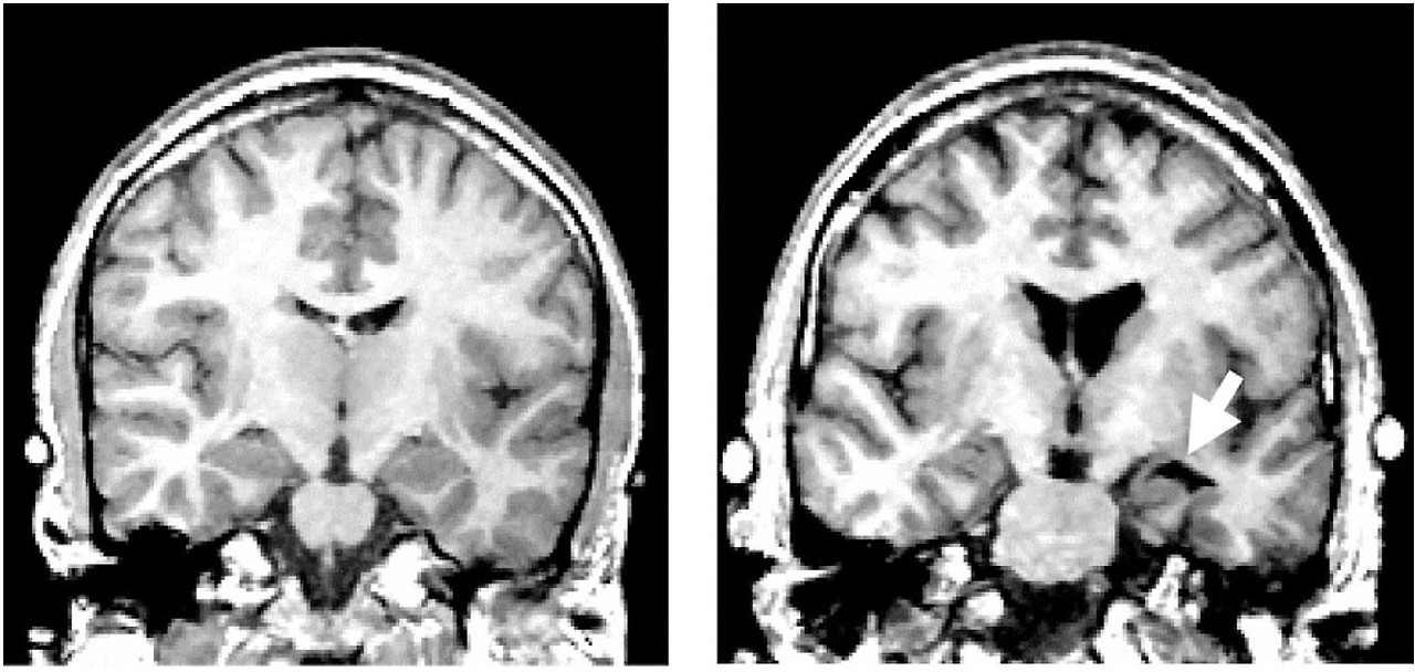
2.jpg [그림1] 대조군(Control) vs 조현병 환자(Schizophrenia patient)의 MRI[3]

[그림1]은 대조군의 뇌 MRI(왼쪽)와 조현병 환자의 뇌 MRI(오른쪽)을 보여주고 있습니다. 조현병 환자의 경우, 대조군에 비해 실비우스열(Sylvian fissure) 부분과 편도체를 감싸고 있는 관자뿔(temporal horn, 흰색 화살표) 부분에 뇌척수액(CSF, black)이 더 많습니다. 또한, 조현병 환자의 MRI 사진 정중앙에 있는 측뇌실(lateral ventricle) 부분에 검은색 부분이 훨씬 더 큰 것을 볼 수 있으며 이는 대조군에 비해 조현병 환자의 측뇌실 부분이 확장되었기 때문입니다[3]. 실제로 여러 연구 결과에 의하면 조현병 환자들은 건강한 대조군에 비해 뇌실이 확장되고 대뇌피질은 위축되며 회백질 부피는 감소되는 해부학적 차이가 있다고 합니다. 이러한 뇌 부위들의 이상도 조현병의 원인과 관련이 있을 거라고 생각되고 있습니다[4].




4. 조현병과 인지


여러 연구 결과에 따르면 건강한 대조군에 비해 조현병 환자들은 모든 인지 영역에서 저하된 인지 능력을 보입니다. 환자들은 주로 정보 처리 속도, 주의, 작업 기억, 언어 및 시각 학습, 문제 해결, 계획, 추론 등의 영역에서 확연한 차이를 보이게 됩니다[5]. 이러한 증상은 왜 나타나는 걸까요? 조현병으로 인한 뇌에 이상과 변화가 많은 만큼 이를 설명할 수 있는 답변도 많을 텐데요, 그중 대표적인 이유 하나를 알아보도록 하겠습니다. 앞서 조현병 환자들은 회백질 부피가 감소된다는 것을 확인하였는데요, 회백질에는 신경세포의 약 67%가 모여 있으며 기억과 집행 기능을 포함한 여러 인지 과정을 담당하고 있습니다. 따라서 회백질의 부피가 감소함으로써 이러한 인지 기능도 같이 저하된다는 것입니다[6].



5. 조현병 치료 및 예방


조현병 치료 방법으로는 크게 항정신병 약물과 심리사회적 치료가 있습니다. 항정신병 약물은 대부분 도파민 대신 도파민 수용체에 결합함으로써 도파민의 활동을 차단시켜 정신병적(psychotic) 증상들의 이들의 빈도와 강도를 줄여줍니다[1]. 심리사회적 치료는 조현병 환자들이 일상생활에서 적응을 잘 할 수 있도록 도와주는 역할을 합니다. 인지 행동 치료 (cognitive behavioral therapy, CBT), 행동 기술 훈련, 및 인지 교정 (cognitive remediation, CR) 개입을 통해 왜곡된 생각 및 행동을 교정해 줍니다[1]. 실제로 인지 교정이 조현병의 인지 증상들에 끼치는 영향에 대한 연구들이 많이 진행되고 있으며 이러한 인지 훈련의 효과도 검증이 되었습니다. 집행 기능, 주의, 기억, 사회 인지와 메타 인지의 능력을 강화해 주며 신경 가소성(neuroplasticity)도 증진 시켜준다는 근거도 나왔습니다[5].

이렇게 다각적인 치료법들이 있지만 조현병은 완치가 어려운 중증 정신질환이기에 조기 진단하는 것이 무엇보다 중요합니다.


다음 신경정신질환 이야기에서는 주요우울장애에 대해 다뤄보겠습니다.



<참고문헌>

[1] U.S. Department of Health and Human Services. (n.d.). Schizophrenia. National Institute of Mental Health. Retrieved November 12, 2022, from https://www.nimh.nih.gov/health/topics/schizophrenia

[2] Howes, O., McCutcheon, R., & Stone, J. (2015). Glutamate and dopamine in schizophrenia: an update for the 21st century. Journal of psychopharmacology (Oxford, England), 29(2), 97–115. https://doi.org/10.1177/0269881114563634

[3] Shenton, M.E., Dickey, C.C., Frumin, M., & McCarley, R.W. (2001). A review of MRI findings in schizophrenia. Schizophrenia Research, 49, 1-52.

[4] Alkan, E., Davies, G., & Evans, S. L. (2021). Cognitive impairment in schizophrenia: relationships with cortical thickness in fronto-temporal regions, and dissociability from symptom severity. NPJ schizophrenia, 7(1), 20. https://doi.org/10.1038/s41537-021-00149-0

[5] Tripathi, A., Kar, S. K., & Shukla, R. (2018). Cognitive Deficits in Schizophrenia: Understanding the Biological Correlates and Remediation Strategies. Clinical psychopharmacology and neuroscience : the official scientific journal of the Korean College of Neuropsychopharmacology, 16(1), 7–17. https://doi.org/10.9758/cpn.2018.16.1.7

[6] Luvsannyam, E., Jain, M. S., Pormento, M. K. L., Siddiqui, H., Balagtas, A. R. A., Emuze, B. O., & Poprawski, T. (2022). Neurobiology of Schizophrenia: A Comprehensive Review. Cureus, 14(4), e23959. https://doi.org/10.7759/cureus.23959

keyword
작가의 이전글[코싸인의 인지과학 이야기] 퇴행성 신경질환 (1)