brunch

자신감 떨어뜨리는 앞니, 올세라믹크라운으로 자신감 UP

by 김정란


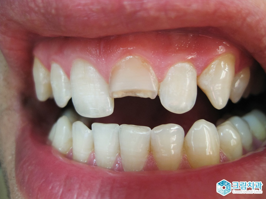
딱딱한 음식을 드시다가 혹은 예기치 않은 사고로 앞니가 파절되어 내원하시는 분들이 종종 있습니다.


또, 앞니에 심한 충치가 생겨 치료가 필요한 경우도 있죠. 드물게는 예전에 치료한 앞니가 까맣게 착색되어 심미치료를 진행해야 하는 경우도 있습니다.



1.jpg



이런 경우 올세라믹크라운 치료를 진행할 수 있는데요.

오늘은 자신감 떨어뜨리는 앞니를 커버할 수 있는 올세라믹크라운 치료에 대해 알아보겠습니다.



2.jpg



보통 배열 문제로 인한 앞니 고민은 치아교정을 우선적으로 진행하게 됩니다.


3.jpg


하지만 충치나 파절로 인해 치아 일부가 떨어져 나간 경우나 변색으로 인한 앞니 문제는 라미네이트와 올세라믹크라운 치료를 많이 진행합니다.



라미네이트 vs 올세라믹크라운


라미네이트와 올세라믹크라운은 모두 빠른 시간 내에 가지런한 치아를 되찾을 수 있는 치아 심미치료입니다.



4.jpg



라미네이트가 치아 표면을 최소한으로 다듬은 후 그 위에 얇은 도재판을 덧씌우는 치료라면 올세라믹크라운은 라미네이트와 달리 치아 전면을 감싸주는(크라운) 치료입니다.



5.jpg



치아가 많이 삐뚤어진 경우나 많이 튀어나온 경우 치아 전면을 삭제해 치아 전면을 감싸줄 수도 있고요. 이미 치아의 일부분이 손상되었거나 충치 치료로 치아 일부를 삭제한 경우 치아 전체의 전반적인 커버가 가능합니다.


올세라믹크라운 어떤 경우에 적합?


올세라믹은 치아 심미치료의 하나로 라미네이트에 비해 치료 범위가 넓은 것이 강점 중 하나입니다.


-빠른 시간 내에 치아 배열을 바꾸고 싶은 경우


-신경치료 후 치아가 변색된 경우


-치아가 부러지거나 빠진 경우


-치아의 크기가 너무 크거나 혹은 너무 작은 경우


-기존 금속 보철물 사용 후 치아가 변색된 경우


-덧니의 불규칙한 치열을 개선하고 싶은 경우



올세라믹크라운, 이것만은 꼭!


올세라믹크라운치료를 ‘치아성형’이라 부르기도 하는데요. 그만큼 심미적인 부분이 강조되는 치료이기 때문입니다.


그래서 올세라믹크라운 치료를 받기 전 꼼꼼히 따져봐야 할 것들이 있는데요.



원장진료1 (1).JPG



먼저 의료진들의 기술과 오랜 임상 경험이 중요합니다. 올세라믹크라운은 개인의 치아 모양이나 색상도 중요하지만 인근 치아와의 조화가 잘 이뤄져야 할 뿐 아니라 잇몸 라인과의 밀착과 마무리도 매우 중요합니다.


때문에 심미치료에 오랜 노하우와 경험, 그리고 높은 실력까지 갖춘 의료진을 찾는 것이 우선입니다. 치과 내 ‘심미전담 의료진’이 구성된 경우라면 더욱 좋겠지요.


더불어 디지털 첨단장비가 잘 구축되어 있는지도 확인해야 합니다. 3D 스캐너를 통한 시뮬레이션으로 치료 전 시술 치아의 모양과 크기, 주변 치아와의 조화까지 미리 확인할 수 있고요.


또, 전용 밀링머신인 세렉(CEREC)으로 정확한 분석과 빠른 크라운 제작이 가능하기 때문입니다.



기공실 (8).JPG



또한, 치과 내 자체 기공실이 마련되어 있다면 더욱 빠르고 섬세한 개인 맞춤식 치료가 가능하겠지요. 의료진과 기공사 간 빠른 소통이 가능해 환자분의 만족도가 더욱 높습니다.



기공실 (11).JPG



앞니가 삐뚤삐뚤하거나 예기치 않은 사고로 앞니가 손상되고, 혹은 앞니 충치·변색으로 이상이 생기게 되면 음식을 먹을 때는 물론 일상생활에서 큰 불편을 겪게 됩니다.


앞니치료를 위한 치료는 여러 가지가 있습니다. 조금이라도 불편이 있으면 지체하지 말고 빨리 치과를 찾아 상담을 받아보는 것이 가장 중요하고요.


정밀 검사와 상담을 통해 개인에게 가장 적합한 앞니 치료를 선택하는 것이 좋습니다.



pixta_70616618_M.jpg



특히 올세라믹크라운은 치료 범위가 넓고 빠른 시일 내에 치료가 완료되어 환자분들의 만족도가 높은 치료인데요.


앞니의 다양한 고민, 올세라믹크라운으로 해결하고 밝고 당당한 미소 되찾으실 바랍니다.






크림치과 대표원장 김정란이었습니다.



keyword
작가의 이전글집에서 간단하게 할 수 있는 치아화이트닝