brunch

뇌에 생기는 작지만 위험한 구멍의 비밀

[건방진 닥터스 쇼츠 0273]

image.png?type=w1



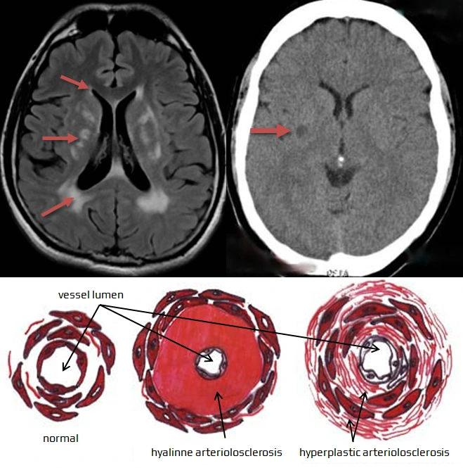
혈관성 치매는


우리 뇌의 작은 혈관들이 막혀서


열공성 뇌경색이라는 게 생기거든요.



그러면 뇌의 반쪽이 손상돼서


반대쪽 팔다리가 마비되는


이런 큰 뇌경색이 아니라,


훨씬 더 작은 혈관들이 막혀서


뇌 안에 구멍이 뚫린 것처럼


CT에서도 보입니다.



왜냐하면,


이것은 시간이 지난 뇌경색이기 때문에


CT 상에서도


뽕뽕뽕뽕 구멍이 뚫린 것처럼


혈관 상태가 보일 수 있습니다.



https://youtube.com/shorts/DxKxvZyDOao



혈관성 치매는 뇌의 작은 혈관들이 막혀 발생하는 열공성 뇌경색으로 인해 생깁니다. 이는 일반적인 뇌졸중과는 다른 특징을 가지고 있습니다:



## 열공성 뇌경색의 특징



- 뇌의 아주 작은 혈관들이 막힘


- 큰 뇌졸중과 달리 한쪽 마비 등의 뚜렷한 증상이 없을 수 있음


- CT 촬영 시 뇌에 작은 구멍들이 뚫린 것처럼 보임



## 혈관성 치매의 진행



1. 미세 혈관 폐색: 뇌의 작은 혈관들이 서서히 막힘


2. 뇌 조직 손상: 혈류 공급 부족으로 뇌 조직이 손상됨


3. 인지 기능 저하: 누적된 손상으로 전반적인 뇌 기능이 저하됨



## 진단 방법



- CT나 MRI 촬영: 뇌 내부에 작은 구멍들이 관찰됨


- 이는 시간이 지난 뇌경색의 흔적을 나타냄



혈관성 치매는 서서히 진행되며, 초기에는 증상이 뚜렷하지 않을 수 있습니다. 따라서 정기적인 건강검진과 혈관 건강 관리가 중요합니다.



ns_v29_n39_9425_0003.png?type=w1



Subkortical-Ischemic-Vascular-Dementia.png?type=w1



뇌에 생기는 작은 구멍, 즉 열공성 뇌경색은 겉으로 보기에는 작지만 매우 위험할 수 있는 뇌 손상입니다.



## 열공성 뇌경색의 특징



- 뇌의 아주 작은 혈관들이 막혀서 발생


- 직경 1-15mm 정도의 작은 구멍 형태로 나타남


- CT나 MRI 촬영 시 뇌에 구멍이 뚫린 것처럼 보임


- 주로 기저핵, 뇌간, 대뇌 백질 등 뇌 깊은 부위에서 발생



## 위험성



- 증상이 없어 '침묵성 뇌경색'이라고도 불리지만 실제로는 매우 위험


- 인지 기능 저하와 운동 기능 장애 위험 증가


- 향후 뇌졸중과 치매 발병 위험 상승


- 65세 이상 노인의 25-30%에서 발견될 정도로 흔함



## 원인과 예방



- 고혈압이 가장 중요한 위험 요인


- 혈압 관리, 금연, 규칙적인 운동 등 혈관 건강 관리가 중요


- 항혈소판제 치료가 도움될 수 있으나 출혈 위험도 고려 필요



열공성 뇌경색은 작지만 뇌 건강에 큰 위협이 될 수 있습니다. 정기적인 건강검진과 혈관 건강 관리를 통해 예방하는 것이 중요합니다.



Citations:


[1] https://www.alzheimers.org.uk/about-dementia/symptoms-and-diagnosis/how-dementia-progresses/symptoms-brain


[2] https://www.braininjury-explanation.com/types-of-brain-injury-brain-disorders/stroke-cva/cerebral-infarction/lacunar-stroke


[3] https://pmc.ncbi.nlm.nih.gov/articles/PMC10025731/


[4] https://pmc.ncbi.nlm.nih.gov/articles/PMC4460330/


[5] https://pmc.ncbi.nlm.nih.gov/articles/PMC7456600/


[6] https://radiopaedia.org/articles/lacunar-infarct


[7] https://pmc.ncbi.nlm.nih.gov/articles/PMC2854938/


[8] https://pubmed.ncbi.nlm.nih.gov/37916306/


[9] https://www.ahajournals.org/doi/10.1161/STROKEAHA.122.040444


[10] https://www.ahajournals.org/doi/pdf/10.1161/strokeaha.108.523795


[11] https://nyulangone.org/news/white-matter-lesion-mapping-tool-identifies-early-signs-dementia


[12] https://www.hopkinsmedicine.org/health/conditions-and-diseases/dementia/vascular-dementia


[13] https://diversevcid.ucdavis.edu


[14] https://pubmed.ncbi.nlm.nih.gov/18644908/


[15] https://radiopaedia.org/articles/vascular-dementia


[16] https://pubmed.ncbi.nlm.nih.gov/10818512/


[17] https://pn.bmj.com/content/practneurol/8/4/222.full.pdf


[18] https://www.alzheimersresearchuk.org/news/all-you-need-to-know-about-brain-scans-and-dementia/


[19] https://www.nhs.uk/conditions/vascular-dementia/causes/


[20] https://www.medicalnewstoday.com/articles/thalamic-stroke


[21] https://www.msdmanuals.com/home/brain-spinal-cord-and-nerve-disorders/delirium-and-dementia/vascular-dementia


[22] https://svn.bmj.com/content/9/4/344


[23] https://portal.research.lu.se/en/publications/lacunar-infarcts-no-black-holes-in-the-brain-are-benign


[24] https://www.msdmanuals.com/home/brain-spinal-cord-and-nerve-disorders/brain-dysfunction/overview-of-brain-dysfunction


[25] https://my.clevelandclinic.org/health/symptoms/17839-brain-lesions


[26] https://www.physio-pedia.com/Lacuna_Infarcts_(_Small_Vessel_Disease)


[27] https://www.webmd.com/brain/brain-damage-symptoms-causes-treatments


[28] https://www.radiologyinfo.org/en/info/headct


[29] https://jnnp.bmj.com/content/92/8/823


[30] https://www.mayoclinic.org/diseases-conditions/traumatic-brain-injury/symptoms-causes/syc-20378557


[31] https://www.urmc.rochester.edu/encyclopedia/content?contenttypeid=135&contentid=318


[32] https://my.clevelandclinic.org/health/diseases/lacunar-stroke


[33] https://www.healthline.com/health/brain-disorders


[34] https://www.healthline.com/health/lacunar-stroke-symptoms


[35] https://www.hopkinsmedicine.org/health/treatment-tests-and-therapies/burr-holes


[36] https://www.medicalnewstoday.com/articles/lacunar-stroke


[37] https://www.radiologyinfo.org/en/info/intracranialvasc


[38] https://www.drugs.com/health-guide/lacunar-stroke.html


[39] https://www.bbc.com/future/article/20200702-the-helmets-that-can-keep-your-brain-safe


[40] https://www.aans.org/patients/conditions-treatments/cerebrovascular-disease/


[41] https://www.ninds.nih.gov/health-information/disorders/hydrocephalus


[42] https://www.aurorahealthcare.org/services/neuroscience/brain-skull-base-care/intracranial-atherosclerosis


[43] https://www.ncbi.nlm.nih.gov/books/NBK563216/


[44] https://pmc.ncbi.nlm.nih.gov/articles/PMC2265182/


[45] https://www.ahajournals.org/doi/10.1161/strokeaha.116.013186


[46] https://pubmed.ncbi.nlm.nih.gov/12849212/


[47] https://pubmed.ncbi.nlm.nih.gov/2089922/


[48] https://www.health.harvard.edu/a_to_z/lacunar-stroke-a-to-z


[49] https://www.mayoclinic.org/diseases-conditions/brain-aneurysm/symptoms-causes/syc-20361483


[50] https://www.webmd.com/stroke/what-to-know-about-a-lacunar-stroke


[51] https://odphp.health.gov/myhealthfinder/health-conditions/heart-health/lower-your-risk-stroke


[52] https://www.uchealth.com/wp-content/uploads/2013/01/PE-CerebralBypass_UCNI.pdf


[53] https://www.hopkinsmedicine.org/health/wellness-and-prevention/memory-5-ways-to-protect-your-brain-health



hyp.2024.81.issue-1.largecover.png?type=w1



닥터스 참여하기 : https://han.gl/gt1SJ



#혈관성치매 #뇌경색 #열공성뇌경색 #뇌혈관질환 #뇌손상 #CT검사 #뇌영상 #혈관건강 #치매원인 #신경퇴행질환 #작은혈관질환 #뇌손상징후 #뇌졸중 #뇌질환예방 #뇌구조변화 #인지기능저하 #뇌건강관리 #혈관손상 #뇌세포손상 #치매예방 #혈관막힘 #신경과학 #뇌경색증상 #뇌영상진단 #뇌질환연구 #혈관질환관리 #뇌건강정보 #치매연구 #뇌혈류저하 #뇌건강회복



혈관성 치매는 우리 뇌의 작은 혈관들이 막혀서 열공성 뇌경색이라는 게 생기거든요 그러면 뇌의 반쪽이 손상이 와서 반대쪽 팔다리가 마비되는 이런 뇌의 경색이 아니라 그것보다 훨씬 작은 혈관들이 막혀서 뇌 안에 구멍이 뚫린 것처럼 CT에서도 나와요 왜냐하면 시간이 지난 뇌경색이기 때문에 좀 뽕뽕뽕뽕 구멍이 뚫린 것처럼 혈관 상태가 보일 수가 있습니다


keyword
매거진의 이전글치매 예방 위한 계란 선택 방법!