brunch
매거진 건강

삐뚤어진 내 치아, 이유를 알아보자

삐뚤삐뚤 엉망진창이 된 내 치아, 그 이유는?

by 데일리
(브런치)700x150-데일리191105.png


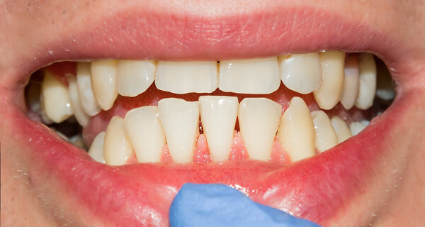
사진을 찍을 때 이를 다 드러내어 찍지 못하고 웃을 때마다 습관적으로 손이 먼저 올라오는 이유는? 바로 고르지 못한 치열 때문일 것이다. 남들은 신경 쓰지 않을 수도 있겠지만 본인이 받는 스트레스는 상당할 수 있다. 고르지 못한 치열은 미관상 좋지 않을 뿐만 아니라 부정확한 발음이나 음식을 씹을 때도 불편함을 느낄 수 있고 치아 사이사이에 세균이 번식하기 쉽기 때문에 충치와 잇몸 질환에 쉽게 노출된다. 각종 불편함을 유발할 수 있는 삐뚤어진 치아가 생기게 된 이유는 무엇일까? 근본적인 이유를 알고 치열이 더 이상 망가지지 않도록 노력해보자.

중간선 확정.png

유전


유전은 타고나는 것이기 때문에 내 의지와 상관없이 영향을 받는다. 흔히 주걱턱이라고 불리는 경우, 그 유전성이 더욱 강한데 주걱턱을 가진 부모 사이에서 태어난 자녀 3명 중 1명은 닮을 정도다. 그리고 유전으로 인해 얼굴 비대칭이나 치열 등도 충분히 갖고 태어날 수 있다. 이럴 경우 윗니와 아랫니가 맞지 않는 부정교합이 생기면서 치열이 흐트러지는 경우가 많다. 유전으로 인해 치열이 고르지 못할 경우에는 어렸을 때부터 교정을 해주는 것이 비교적 나은 해결 방법이다.

중간선 확정.png

빠진 치아


빠진 치아 때문에 전체적인 치열이 흔들릴 수 있다. 치아는 서로에게 기대며 자기만의 위치를 잡는데 비어있는 공간 때문에 양쪽에 있는 치아가 비틀어지기 시작한다. 그대로 방치할 경우 인접 치아뿐만 아니라 나머지 이들도 도미노 효과처럼 다 같이 틀어질 수 있다. 젖니가 빠지고 영구치가 나올 것이라면 상관없지만 충치나 잇몸 염증 혹은 부상으로 인해 치아가 빠지고 그 공간을 그대로 두게 되면 교합이 어긋나고 씹는 기능이 약해지면서 제대로 된 음식 섭취가 어려울 수 있는 등 일상 속 불편함을 느낄 수 있으니 임플란트와 같은 시술로 치료를 받아야 한다.

중간선 확정.png

빠는 습관

1f8466980aafae3ec6af7973b0dcf0e8.jpg


아기 때 우유병이나 공갈젖꼭지 등을 빨던 습관이 남아 손가락을 빠는 어린이들을 볼 수 있는데 이런 습관은 반드시 고쳐주어야 한다. 위생상 문제도 있지만 유치에서도 부정교합이 생기 수 있다. 그리고 그 기간이 길어질수록 교합 이상이 생길 위험성이 더욱 커지게 된다. 이 습관을 계속 고치지 않고 그대로 두게 된다면 영구치가 나서도 부정교합이 생길 수 있으며 교정 치료까지 받아야 할 수도 있다. 부정교합뿐만 아니라 빠는 습관으로 인해 치아 사이가 벌어지며 공간이 생기게 되고 이는 성인이 된 후에 윗니와 아랫니가 벌어지면서 발음이 새거나 치아가 뒤틀릴 수 있다.

중간선 확정.png

가공식품과 정크푸드



치아 건강에 좋은 음식을 잘 챙겨 먹으면 좋겠지만 사실 건강보다 ‘맛’에 더 비중을 두는 가공식품이나 정크푸드를 더 많이 먹게 된다. 나트륨이나 설탕, 화학첨가물의 비율이 높기 때문에 건강 전반적으로 안 좋은 영향을 끼치게 된다. 특히 성장기 때 꼭 필요한 영양소 결핍으로 인해 턱이나 잇몸 등이 제대로 성장하지 않거나 약해질 수 있다. 비타민 A나 D, K, 철분, 엽산 등이 풍부하게 함유된 음식을 먹게 되면 턱과 잇몸을 튼튼하게 해줄 수 있고 치아를 보호해주는 영양을 공급할 수 있다. 탄산음료도 자주 마실 경우 매끄러운 치아 표면을 울퉁불퉁하게 만들 수 있다.

중간선 확정.png

선천적 기형 문제

ed6e03f55db9c47cb4bfb98238323b46.jpg


태어나면서 선천적으로 기형을 갖는다면 치열이 틀어질 수 있다. 하악왜소증의 경우에는 아래턱 자체가 작아 부정교합 증상을 동반한다. 외관상으로 봤을 때는 살이 찌지 않아도 이중 턱처럼 보이는 경우도 많은데 턱관절에 자주 통증을 느끼거나 소리가 나면 이를 의심해보는 것이 좋다. 아래턱이 작다 보니 치아가 차지할 공간이 많지 않아서 성장하는 과정 중에 뒤틀리는 경우가 많다. 또한 사랑니가 나는 경우에 바로 옆 치아를 밀면서 치열을 흐트러트릴 수도 있다.

중간선 확정.png

입안의 종양과 염증

4f488fb18f1e0f6b6b7ea417d5bb465e.jpg


입안에서는 다양한 형태의 질환이 생길 수 있다. 의식하지 못하지만 늘 세균이 존재할 수 있고 이런 세균이나 바이러스 혹은 면역체계 이상으로 구내염이 발생하기도 한다. 구내염은 남녀노소 가리지 않고 나타나며 잇몸이 붓고 출혈이 생기는 것이 일반적인 증상이다. 일상생활에서 받는 스트레스나 누적된 피로감 역시 입안에 염증을 일으킬 수 있다. 염증은 구강암으로 발전할 수 있으니 꾸준한 관리가 필요하다. 이처럼 입안에서 생기는 다양한 질환 때문에 치태가 생기 수 있고 잇몸을 약하게 해서 치아 전체를 틀어지게 할 수 있다.

중간선 확정.png

부상, 사고

d8b987b12154f8d46e4a0d7c7232e3e5.jpg


심하게 부딪혀서 치아가 깨지거나 발치된 경우 그대로 방치하면 치아 사이가 벌어지거나 뒤틀릴 수 있으니 수일 내 치과에 방문해 상담을 받고 적절한 치료를 받는 것이 좋다. 자동차 사고나 복싱, 권투, 격투기 등 큰 충격에 의해 턱관절에 부상이 생겼을 때도 마찬가지다. 특별하게 깨지거나 흔들리는 듯한 이가 없어 보여도 치아가 전체적으로 밀리거나 뒤틀릴 수 있기 때문에 치과에서 확인해야 한다. 평소 얼굴이나 턱에 위험이 갈 수 있는 운동을 할 경우에는 마우스피스를 사용해 보호하는 것을 잊지 말자.

중간선 확정.png

약한 잇몸

8ed138cb781bfbdc046ff7052cf828c6.jpg


약한 잇몸은 선천적으로 타고나는 것도 있지만 평소 생활 습관 때문에 약해질 수도 있다. 특히 담배를 오랫동안 피웠거나 술을 자주 마시는 경우에는 잇몸 관리에 더욱 신경을 써야 한다. 당장 눈에 보이는 증상이 없더라도 천천히 약해지고 약해진 잇몸으로 인해 잇몸 통증이나 붓기가 지속되고 치아가 비뚤어질 수 있으며 정도가 심해지면 치은염으로도 발전할 수 있다. 평소 비타민 C를 충분히 섭취해주고 양치 시 잇몸 마사지도 해주면 좋다. 또한 건강한 잇몸과 치아 관리를 위해 정기적으로 치과에서 검진과 스케일링을 받는 것이 바람직하다.

중간선 확정.png

비염

96da52266447c4c13b410381e697350f.jpg


비염은 코점막에 염증이 발생한 것인데 알레르기 비염의 코 호흡을 통해 들어온 물질이 점막에 과민반응을 일으켜 재채기, 맑은 콧물, 코막힘 등을 유발한다. 이렇게 비염을 오래 앓을 경우에는 무의식적으로 입을 벌리는 습관을 갖게 된다. 특히 어렸을 때부터 비염을 앓은 경우에는 청소년 시기에 구강이 돌출된 경우를 발견할 수 있다. 입으로 호흡을 하면서 혀가 치아를 누르며 턱이 뒤로 들어가는 형태로 얼굴이 굳어지고 결국 안면 비대칭이나 턱관절 이상, 부정교합으로 이어질 수 있고 결국 치아까지 틀어질 수 있다.

중간선 확정.png

치아 교정 후 틀어지는 현상

248fa94e8932028205289c45b24baeb3.jpg


교정이 완료된 후 다시 이가 틀어지는 경우가 자주 발생한다. 교정이 끝났다고 해서 치아가 완전하게 자리 잡은 것은 아니기 때문이다. 잇몸 주변의 다양한 조직 형성이 활발해지는 시기에 원래 위치로 돌아가려는 조직 기억력 때문에 6개월에서 1년 사이에 치아는 이동하려는 힘이 매우 강하다. 때문에 교정 장치를 뺀 후에 유지 장치를 해주는 것인데 이 유지 장치를 제대로 하지 않으면 치아 배열이 다시 움직이는 경우가 많다. 또한 교정 이후에 성장하거나 입으로 숨 쉬는 습관, 잇몸 질환 등 다양한 생활 습관에 의해 서서히 걸쳐 나타날 수도 있다.


저작권자 ⓒ 데일리. 무단전재 및 재배포 금지.

중간선 확정.png
더욱 다양한 이야기가 궁금하시다면?
keyword
매거진의 이전글턱에 통증이? 턱관절 장애 원인과 예방법